


Definition
Displacement of proximal femoral epiphysis in the immature hip
- superior capital epiphysis remains in acetabulum due to ligamentum teres
- femoral neck displaces anterosuperior
Epidemiology
Adolescents 10 - 16
Males 2X more likely
1/10,000
Bilateral 10% - endocrine disorders / kidney disease
Risk Factors
| Demographics | Hip Mechanical Factors | Endocrine |
|---|---|---|
|
Increased weight / high BMI
Black / Polynesian / Hispanic
Males
Family History |
Growth plate - increased slope - increased retroversion
Coxa vara |
Hypothyroidism
Hypopituitary
Acromegaly / growth hormone therapy
Kidney disease
Radiotherapy |
Pathology
Weakening of the growth plate
- chondrocyte hypertrophy
- disruption of collagen integrity
Clinical
Overweight teenager with hip or knee pain
Limp - walk with external rotation
Reduced hip ROM
- limited internal rotation and abduction
- obligate external rotation with flexion
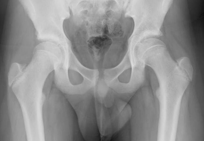
AP Xray
Widened eipiphysis
Klein's Line
- line along superior neck should transect part of epiphysis


Mild slip with failure of Klein's line to transect epiphysis


Lateral xray


Mild and moderate SCFE on left hips
Classification
| Chronological | Morphology | Stability |
|---|---|---|
|
Acute < 3 weeks symptoms
Chronic > 3 weeks symptoms
Acute on chronic |
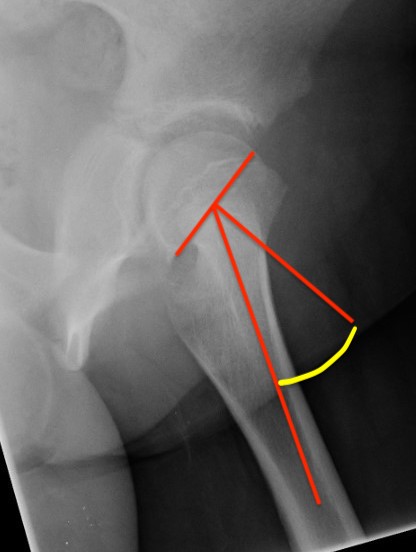
Southwick slip angle
Mild <30°
Moderate 30- 50°
Severe >50° |
Loder classification
Stable - able to weight bear - low risk of AVN
Unstable - unable to weight bear - high risk of AVN
|
Southwick classification
Southwick Angle / Slip Angle
- epiphyseal-diaphyseal angle on frog leg lateral
- mild <30°
- moderate 30- 50°
- severe >50°





Mild Moderate Severe



Mild Moderate Severe
CT Scan


