Complications
Types
Chondrolysis
AVN
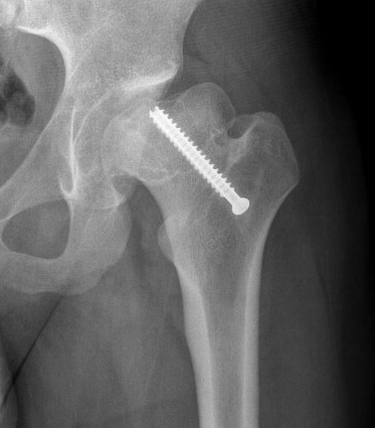
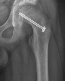
Subtrochanteric fracture
Fixation failure
FAI
Osteoarthritis
Chondrolysis

Causes
Head penetration with screw
Infection
? immune reaction


Avascular necrosis
Risk factors
- systematic review of risk factors for AVN in 688 hips
- overall incidence 23%
- risk factors: male / acute slips / severe slips / closed reduction
- systematic review of AVN in treatment of unstable hips
- pinning in situ 19%
- pinning following intentional closed reduction 23%
- pinning following unintentional closed reduction 28%
- open reduction via the Parsch method 19%
- subcapital osteotomy 19%
- modified Dunn procedure 20%




Subtrochanteric fracture



Subtrochanteric fracture likely causes by multiple drill holes / attempts
Cause
Too low screw entry
Multiple drill holes to get correct entry
Management
Intramedullary nail


Fixation failure


Cam FAI


Mechanism
Epiphysis heals in a posterior and inferior position with moderate - severe slips
Abnormal contact of relatively anterior neck on the acetabulum
Options
Arthroscopic osteochondroplasty
Open surgical dislocation and osteochondroplasty
Osteotomy
Osteoarthritis


Femoral osteotomy


Indications
Severe chronic deformity that will cause FAI / OA / functional deficits
Options
| Subcapital | Base of neck | Inter-trochanteric |
|---|---|---|
|
Subcapital realignment osteotomy Modified Dunn
|
Kramer | Southwick |
|
Surgical hip dislocation Risk of AVN
|
Risk of AVN May worsen leg length discrepancy |
May compromise future hip arthroplasty May worsen leg length discrepancy No risk of AVN
|
![]() |
|
|
Subcapital Realignment Osteotomy (SCRO)


www.boneschool.com/pediatrics/SCFE-management
Intertrochanteric / Southwick



Technique
Removal anterolateral bone wedge below lesser trochanter
Valgising / flexion / internal rotation


Base of neck / Kramer
Technique
Closing wedge anterior and superior


