Transient synovitis / Septic arthritis

 

Septic arthritisHip ultrasoundHip OM

 

Transient synovitis

 

Definition

 

Transient synovitis of unknown etiology with complete resolution

 

Epidemiology

 

Most common cause of hip pain

- age 3 - 10 age

- peak 6 years of age 

- more common boys 

 

Etiology

 

Infectious - associated with viral URTi

Trauma - history of injury

 

Clinical

 

Acute onset of unilateral hip pain

Limp

Hip held in flexion and external rotation

Restricted ROM

May be low-grade fever < 38°

 

Differential diagnosis

 

Septic Arthritis

Osteomyelitis

Perthes / SCFE

Juvenile rheumatoid arthritis

Lyme arthritis - serology

 

Kocher Criteria for Septic arthritis

 

Kocher et al JBJS Am 1999

- 4 criteria for risk of septic arthritis

- ESR > 40

- WCC > 12,000

- fever >38.5

- inability to weight-bear

- Risk: 0/4 (.2%) 1/4 (3%), 2/4 (40%), 3/4 (93%), 4/4 (99%)

 

Caird criteria

 

Caird et al JBJS 2006

- Kocher criteria + CRP > 2

- all 5 positive: septic arthritis 98%

 

Singhal et al JBJB Br 2011

- 311 children with acute hip pain and effusion on ultrasound

- 9% culture proven septic arthritis

- non weight bearing and CRP > 20 strongest predictors

 

False negatives

 

Kingella kingae

- child < 4

- can have normal blood parameters

- need hip aspiration and blood culture 

 

Yagupsky et al J Pediatr 2014

- 34 culture proven cases of Kingella hip septic arthritis

- Kocher criteria diagnosis < 40%

 

Xray

 

Normal with transient synovitis

 

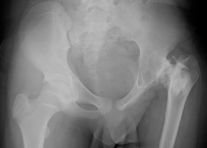
Hip subluxation with septic arthritis

 

Septic arthritis

 

SCFE / Perthes

 

southwickPerthes

 

Ultrasound

 

Effusion

 

Hip ultrasoundHip ultrasound

 

Joint aspiration

 

Findings

- WBC >50,000 cells / uL

> 50% polymorphonuclear leukocytes (PMNs)

 

 
 
 

MRI

 

Adam et al Eur J Radiol Open 2022

- meta-analysis of MRI distinguishing between transient and septic arthitis

- bone marrow changes - 99% specific for septic arthritis

 

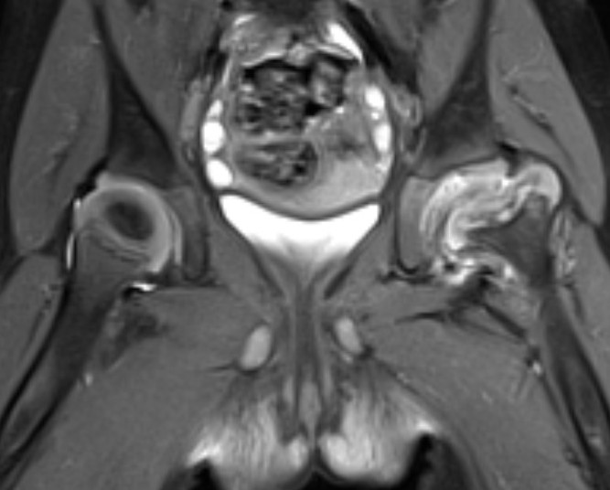
Septic arthritisSeptic arthritis

Fluid in hip joint

 

Hip OMHip OM

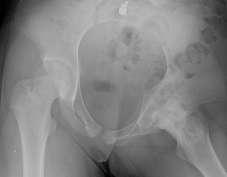
Subluxation of the hip joint with effusion and bone marrow changes

 

Proximal femoral osteomyelitis

 

Hip OMHip OM

Bone marrow edema and osteomyelitis in the femoral head

 

Management transient synovitis

 

Options

 

Rest

NSAIDS

 

Symptoms generally improve after 24 - 48 hours

Symptoms generally resolve in 1 - 2 weeks

 

Recurrence

- can occur

- may be Perthes

 

Perthes

 

Xinling et al J Orthop Surg Res 2024

- systematic review of incidence of Perthes after transient synovitis hip

- overall incidence Perthes 2.7%

- recurrent transient synovitis Perthes 36%

 

Management Septic arthritis

 

Bacteria

 

Staph aureus most common

- MRSA increasingly common

- Group B Streptococcus

- Kingella Kingae (fastidious organism; increasingly common in < 4 years)  

- Gonococcus (Sexually active adolescents)

 

Options

 

Arthrocentesis - hip aspiration and lavage

Hip arthroscopy

Arthrotomy and washout

 

Results

 

Barik et al Hip Pelvis 2023

- systematic review of good clinical outcomes of treatments in septic arthritis

- arthrocentesis: 98%

- arthroscopy: 95%

- arthrotomy: 90%

 

Donders et al Hip Int 2022

- systematic review of repeat surgery after treatment in hip septic arthritis

- arthrocentesis: 15%

- arthroscopy: 14%

- arthrotomy: 3%

- inferior long term outcomes with arthrotomy

 

Hip arthrotomy technique

 

AO foundation Smith Peterson approach to pediatric hip PDF

 

POSNA open hip arthrotomy for septic arthritis video

 

No antibiotics unless positive blood culture

 

Smith Peterson approach

- bikini incision over AIIS

- interval between sartorius and TFL

- interval between rectus femoris and gluteus medius

- capsulotomy

 

Drill proximal femoral metaphysis / femoral neck

- diagnose / decompress osteomyelitis

 

Ensure hip is stable

- may require posteroperative spica if unstable

 

Hip arthroscopy technique

 

Arthroscopy technique tractionless pediatric hip arthroscopy for septic arthritis

 

Antibiotics

 

Broad spectrum initially

Targeted antibiotics with positive culture

 

Complications

 

AVN

Chondrolysis

Physeal arrest

Subluxation / dislocation

 

 

Septic arthritisSeptic arthritis

Advanced AVN and collapse after hip septic arthritis

 

Paed Hip OMPaed OM

Advanced AVN and collapse after hip septic arthritis