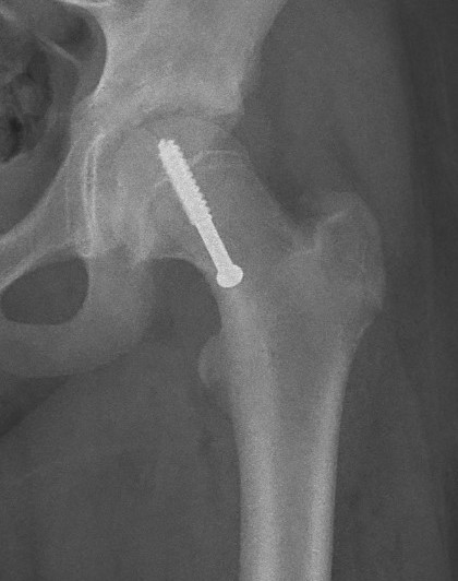
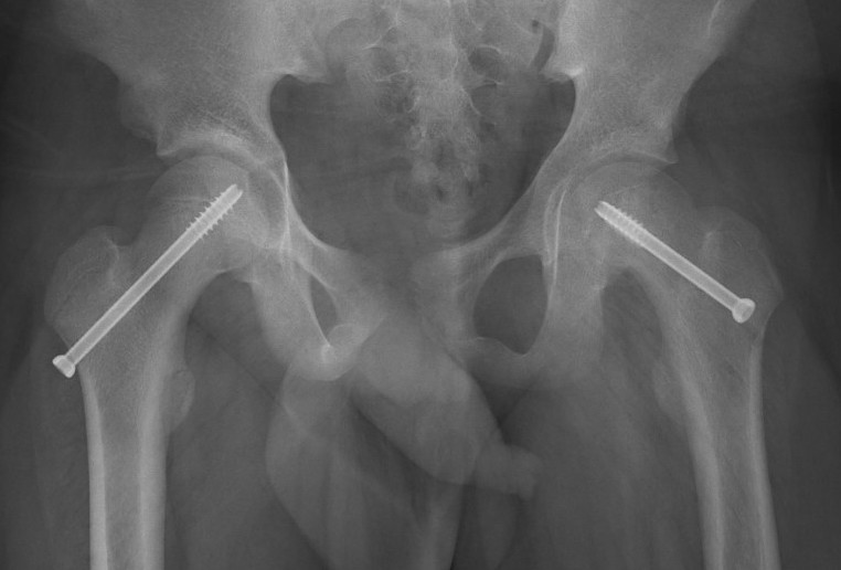
Osteotomy

Deformity

 

Varus / extension / external rotation

 

Options

 

Intertrochanteric

Base of Neck

Subcapital

 

Osteotomy

 

Valgus / flexion / internal rotation

 

Intertrochanteric / Southwick 

 

Technique

- biplanar

- valgising / flexion / internal rotation 

- removal anterolateral bone wedge below LT

 

Advantage

- no AVN / safest

- improves hip motion

 

Disadvantage

- worsens LLD

- difficult THR

 

Base of neck / Kramer

 

Technique

- closing wedge anterior and superior

 

Disadvantage

- risk AVN

- shortens neck further - worsens LLD

 

Intra-capsular / Subcapital

 

Types

 

Dunn 

- trapezoid osteotomy

 

Fish 

- cuneiform

 

Advantage

- anatomical correction

 

Disadvantage

- risk AVN