



Ossification
| Distal tibia | Distal fibula | Medial malleolus |
|---|---|---|
| Appears by age 2 | Appears by age 2 | Appears age 7 |
|
Closes at maturity |
Closes 2 years after distal tibia | Closes age 10 |
|
Asymmetric closure Causes Tillaux / Triplanar fracture
|
Types of Fractures
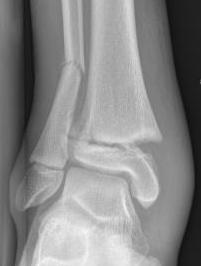
| SH I distal tibia / fibula | SH II distal tibia | SH III medial malleolus |
|---|---|---|
![]() |
![]() |
![]() |
| Low risk growth arrest | 40% risk growth arrest | 30% risk physeal bar |
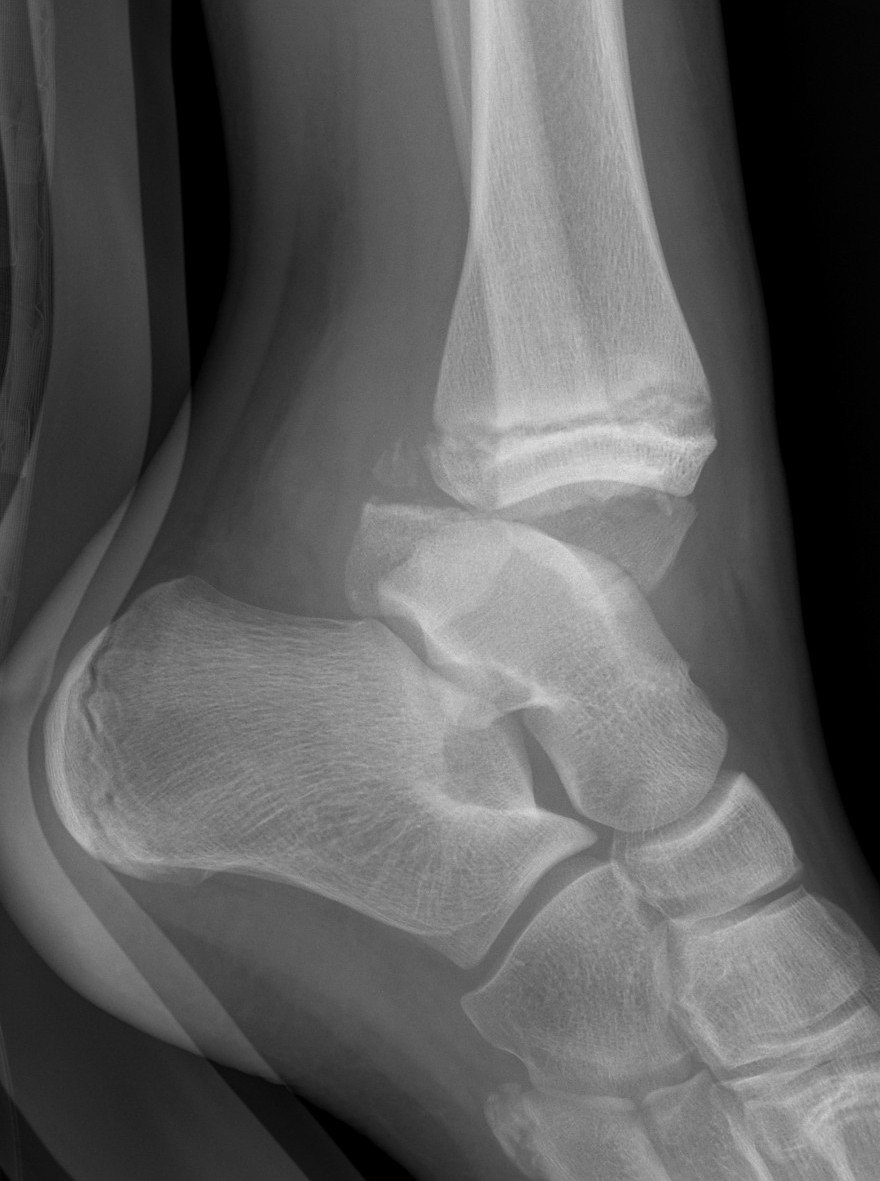
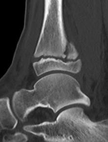
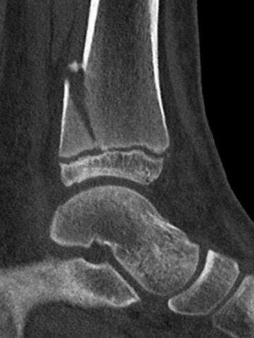
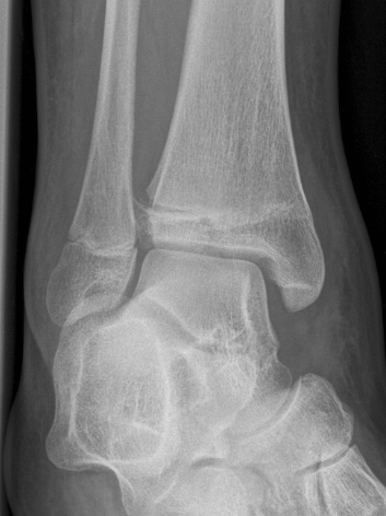
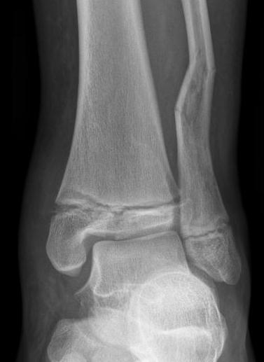
| SH III distal tibia / Tillaux | Triplanar fracture |
|---|---|
![]() |
![]() |
| Low risk growth arrest / physeal bar | 1% growth arrest as adolescent patients |
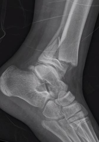
Salter-Harris Type I
Types
Distal fibular most common +/- medial malleolus
Distal tibia






Management
Reduction and percutaneous fixation if displaced
Results
Jiang et al J Orthop Surg Res 2019
- 36 cases of bimalleolor displaced epiphyseal fractures
- treated with closed reduction and percutaneous K wires / cannulated screws
- no premature growth arrest
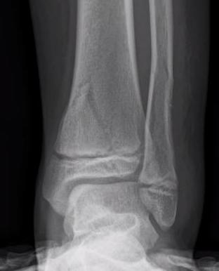
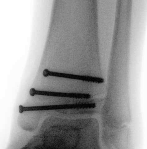
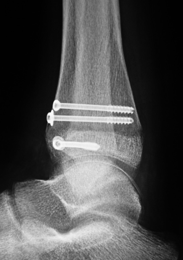
Salter-Harris Type II Distal Tibia Fractures


Definition
Thurston-Holland fragment / metaphyseal component



Salter-Harris Type II with small Thurston-Holland fragment



Salter-Harris Type II with large Thurston-Holland fragment
Operative management
Indications
Displacement / malalignment
Options
Closed reduction +/- open reduction
- anterior periosteum can block reduction
- anterior approach (between EHL and EDL) if needed
Fixation
- screws if large Thurston-Holland fragment
- K wires through medial malleolus






Results
Russo et al J Pediatr Orthop 2013
- 96 patients with displaced Salter-Harris Type II distal tibial physeal fracture
- 43% incidence of premature growth plate arrest
- increasing incidence with increased displacement
- > 4 mm displacement, 55% incidence of growth plate arrest
Salter-Harris Type III Medial Malleolus
Definition
Fracture disrupts both articular surface and growth plate


Management
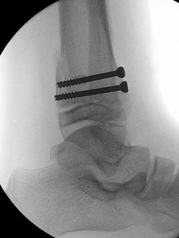
ORIF any > 2mm step with physeal cannulated screws





Results
Roth et al J Pediatr Orthop 2025
- 56 patients with Type III / Type IV medial malleolus fractures
- 30% developed physeal bar
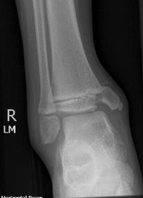
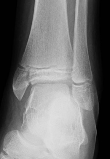
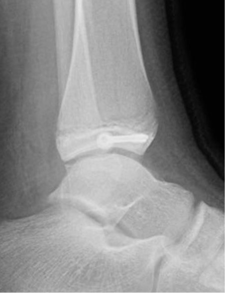
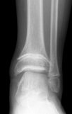
Salter-Harris Type III Distal tibia / Tillaux fracture


Definition
Salter-Harris Type III of anterolateral distal tibia
- transitional fracture
- near skeletal maturity (12 - 15 years)
- distal tibial physis is closing
- anterolateral fragment is last to close





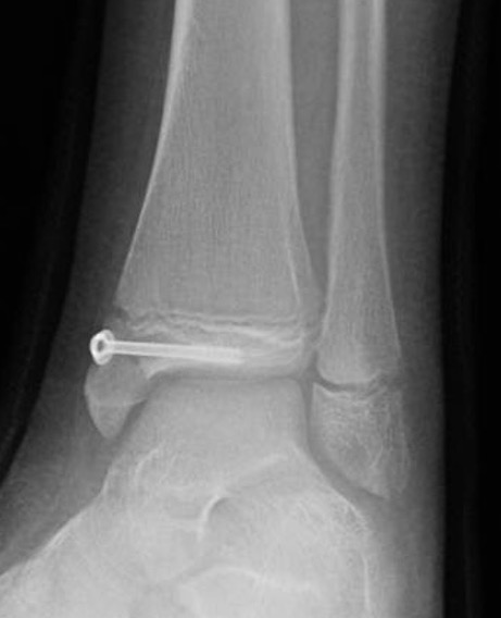
Operative management
Indication
Articular step > 2 mm
Gap > 2 mm
Technique
Anterolateral incision
- reduce fracture / articular surface
- epiphyseal screw lateral to medial / medial to lateral
- preserve physis

Results
- systematic review of adolescent 114 Tillaux fractures
- 57% treated operatively with excellent outcomes
- no premature physeal closure
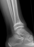
Triplanar Fracture



Definition


Fracture in coronal, sagittal and transverse planes
- crosses epiphysis
- passes through growth plate
- extends into metaphysis
Transitional fracture
- occurs near skeletal maturity
- age 12 - 15
- medial physis is closed
- lateral physis remains open
Parts
| Two part | Three part | Four part |
|---|---|---|
|
Anterolateral epiphysis Attached to lateral posterior metaphysis |
Additional Tillaux fragment | Additional separate metaphyseal fragment |
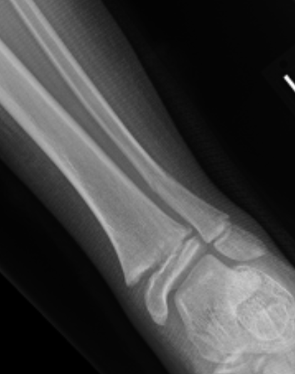
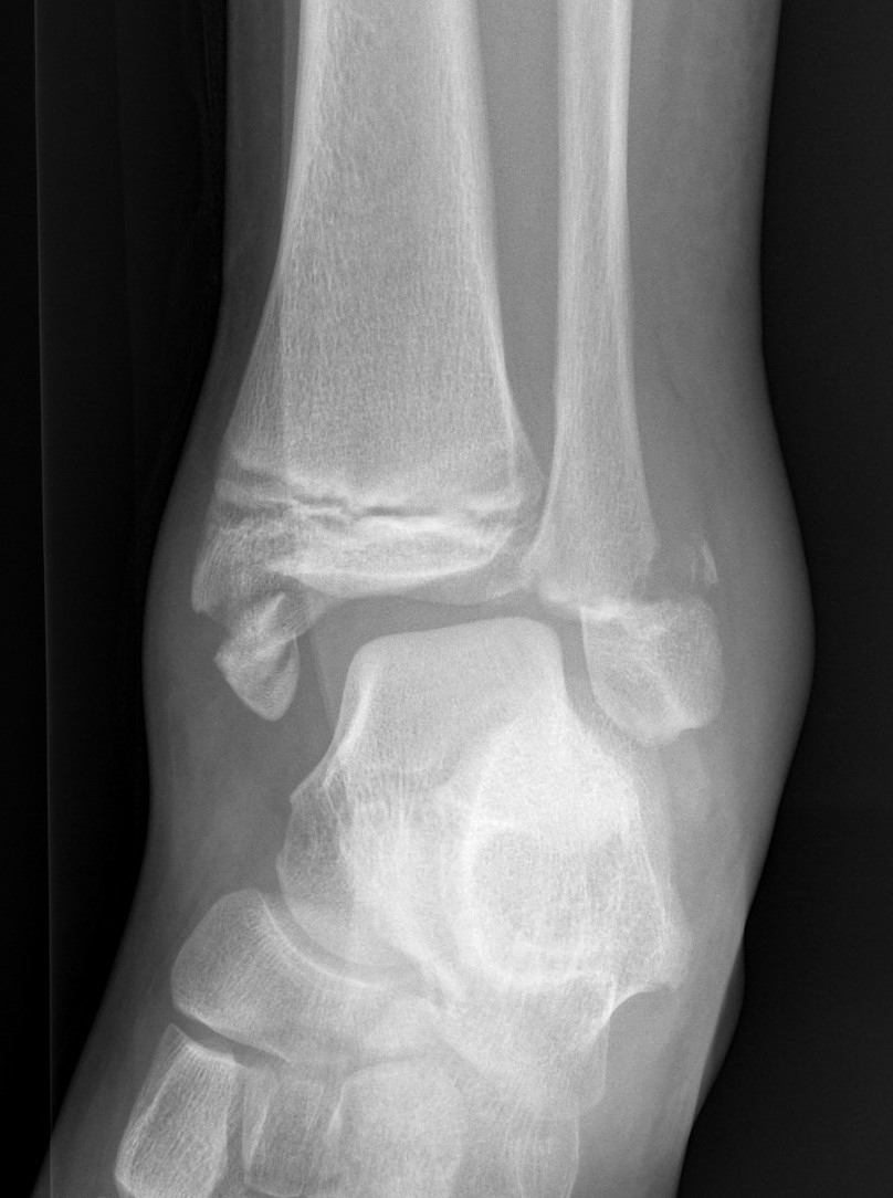
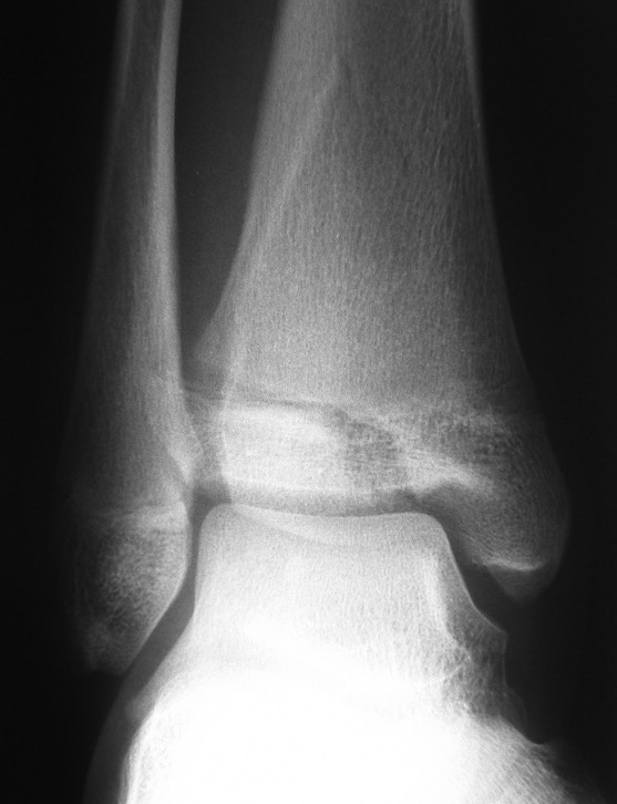
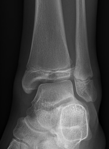
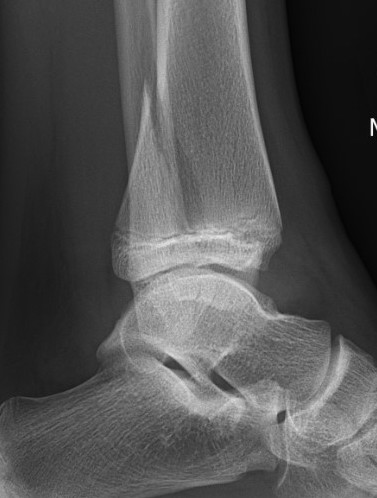
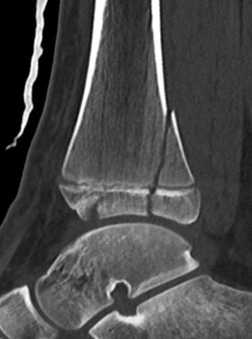
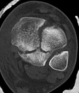
Xray
AP xray: Salter-Harris type III / Tillaux
Lateral xray: Salter-Harris Type II




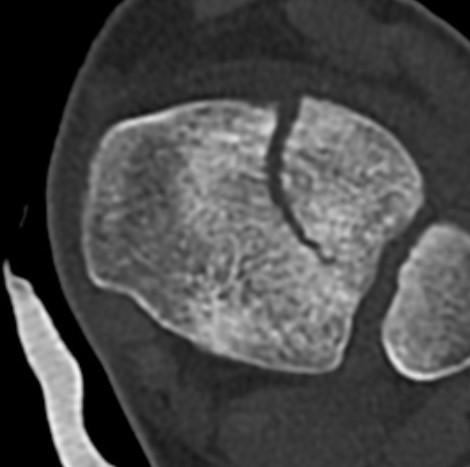
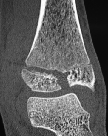
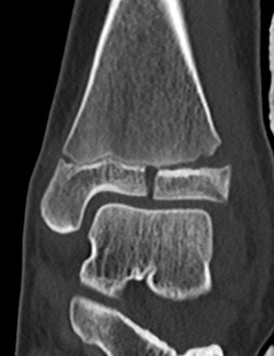
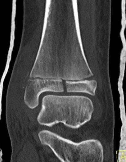
CT
Coronal images: Salter-Harris type III
Sagittal images: Salter-Harris type II
Axial images: 3 point star









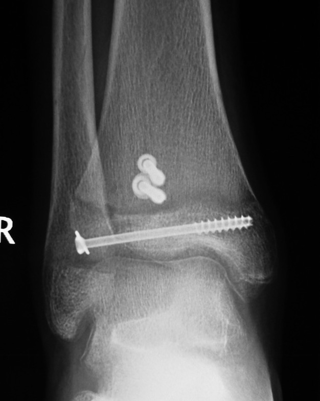
Operative management
Indication
Displaced articular fracture > 2 mm
Technique
AO surgery reference triplanar fixation
JBJS Essential surgical technique triplanar fixation video
Anterior approach between EHL and EDL
- reduce fracture with large reduction forceps
- epiphyseal screw from lateral to medial / medial to lateral
- metaphyseal AP screw into Thurston-Holland fragment






Results
- systematic review of 830 adolescent triplanar fractures
- average age 13
- 17% associated fibular fractures
- premature growth closure / leg length discrepancy 1%
Complications
Growth arrest
Complete growth arrest - leg length discrepancy
Angular deformity - partial growth arrest


