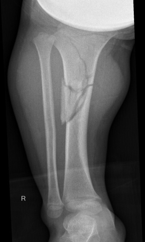
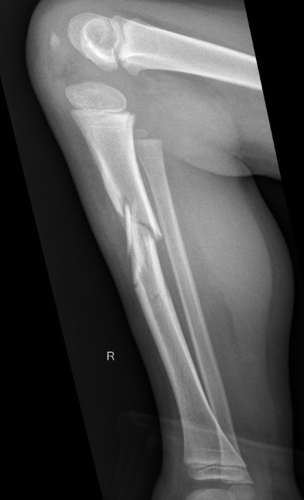
Displaced Tibial Shaft Fractures
Acceptable reduction
- varus / valgus < 5o
- anterior / posterior < 5o
- rotation 5o
- shortening 10 mm
Poor remodelling potential
- valgus
- apex posterior angulation / recurvatum
- rotational alignment does not remodel
- shortening / in 2-10 year old average overgrowth is only 5mm
Technique
GA / II
- leg hanging over edge of bed
- gravity assists reduction
- apply short leg cast
- check II
Apply long leg cast in 45° knee flexion
- helps control unstable fractures
- prevents early weight bearing
Plantar flexion ankle
- mild plantar flexion for first 2-3 weeks to prevent posterior angulation
- 20° plantar flexion for middle & distal third
- 10° plantar flexion for proximal third
Need to observe position for first 3 weeks
Time in cast
- neonates 2-3 weeks
- juveniles 4-6 weeks
- adolescents 8-12 weeks
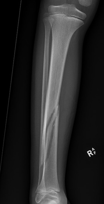
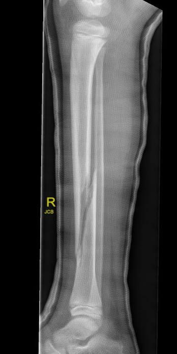
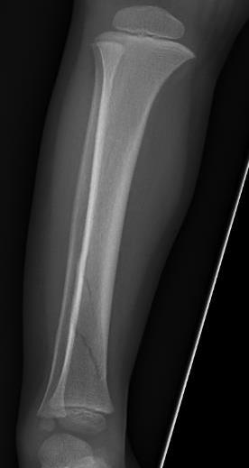
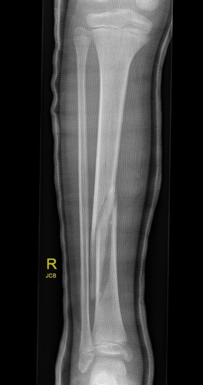
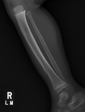
Toddler's Fracture

Definition
Undisplaced oblique fracture of distal tibia
- usually innocuous injury
DDx
Infection
- diagnosis aided by bone scan
- shows diffuse uptake throughout the tibia in fracture
- infection will tend to produce focal increased uptake
Management
Heal rapidly
- can be treated in short leg weight bearing cast for 4 weeks
Open Fractures
Treated along the same principles as adult compound fractures
Buckley et al (1994)
- 42 cases
- average time to union 5 months (range 2-21)
- 4 patients had > 1 cm overgrowth
- 3 infections (7%) all resolved
Antibiotics
- first generation cephalosporin for Grade I & II
- add Gentamicin for Grade III injuries
- add Penicillin for farm yard & lawn mower injuries
Compartment Syndrome
- as for adults
- measure compartment pressures in ventilated or severely head injured children
Fixation
- Grade I - reduced +/- percutaneous pinning, long leg cast once wound closed
- Grade II & III - external fixation
Amputation
- indications for primary amputations not clear in children
- accepted indication for primary amputation is open tibia
- + avascular leg with posterior tibial nerve injury and insensate foot
- MESS Score useful predictor of amputation
Proximal Metaphyseal Tibial Fracture / Cozen's Fracture

Issue
- may develop long term valgus alignment
- due to medial epiphyseal overgrowth / periosteum medially
Management
Any displacement
- MUA
- extension long leg cast with varus mould
Management of valgus
A. < 10 years with < 15o
- will usually remodel
B. > 10 years with > 15o
- consider operative intervention
- guided growth plates