Distal femur fractures

 

SH2SH1Distal Femur SH2 ORIF

 

Anatomy

 

Distal femur physis

- fuses 14 in girls / 16 in boys

- 70% of growth of femur

- 40% of growth of lower limb

- 1 cm per year

 

Physis has three main undulatations

 

Epidemiology

 

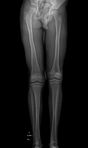
Average age 10 - 11 years

Falls / MVA

NAI - distal femur fractures prior to walking

 

Associated injuries

 

Growth arrest

 

Basener et al J Orthop Trauma 2009

- systematic review of 564 distal femur growth plate fractures

- growth disturbance:  65% displaced fractures / 31% non displaced fractures

- growth disturbance: 36% SHI, 58% in SHII, 49% SHIII, and 64% SHIV

 

Vascular injury

Common peroneal nerve injury

ACL injury

 

Types

 

Distal femur fractures not involving physis

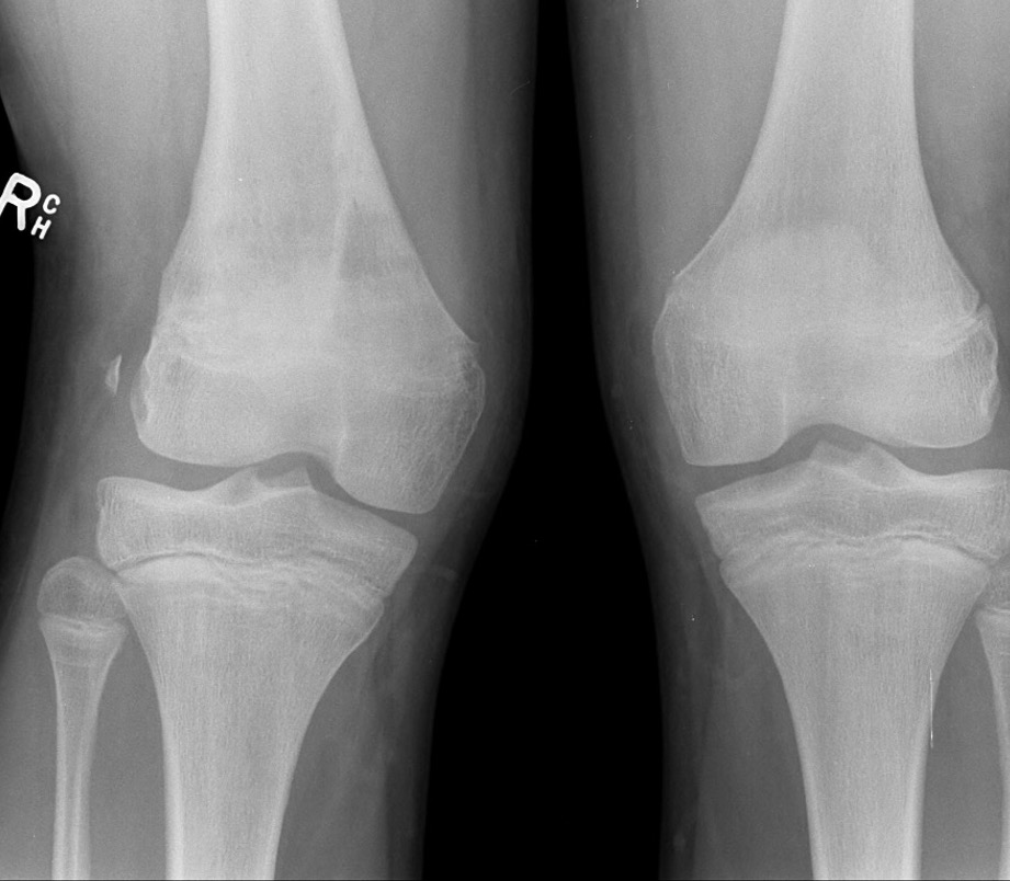
Growth plate fractures - Salter Harris Type II most common 60%

 

Distal Femoral Fracture SH2 APDistal Femoral Fracture SH2 Lateral

Salter Harris Type I

 

SH2SH2

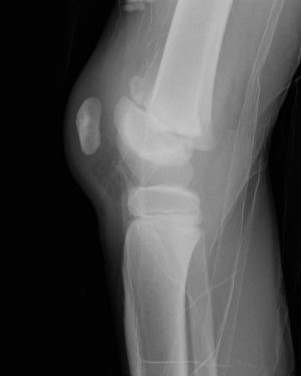
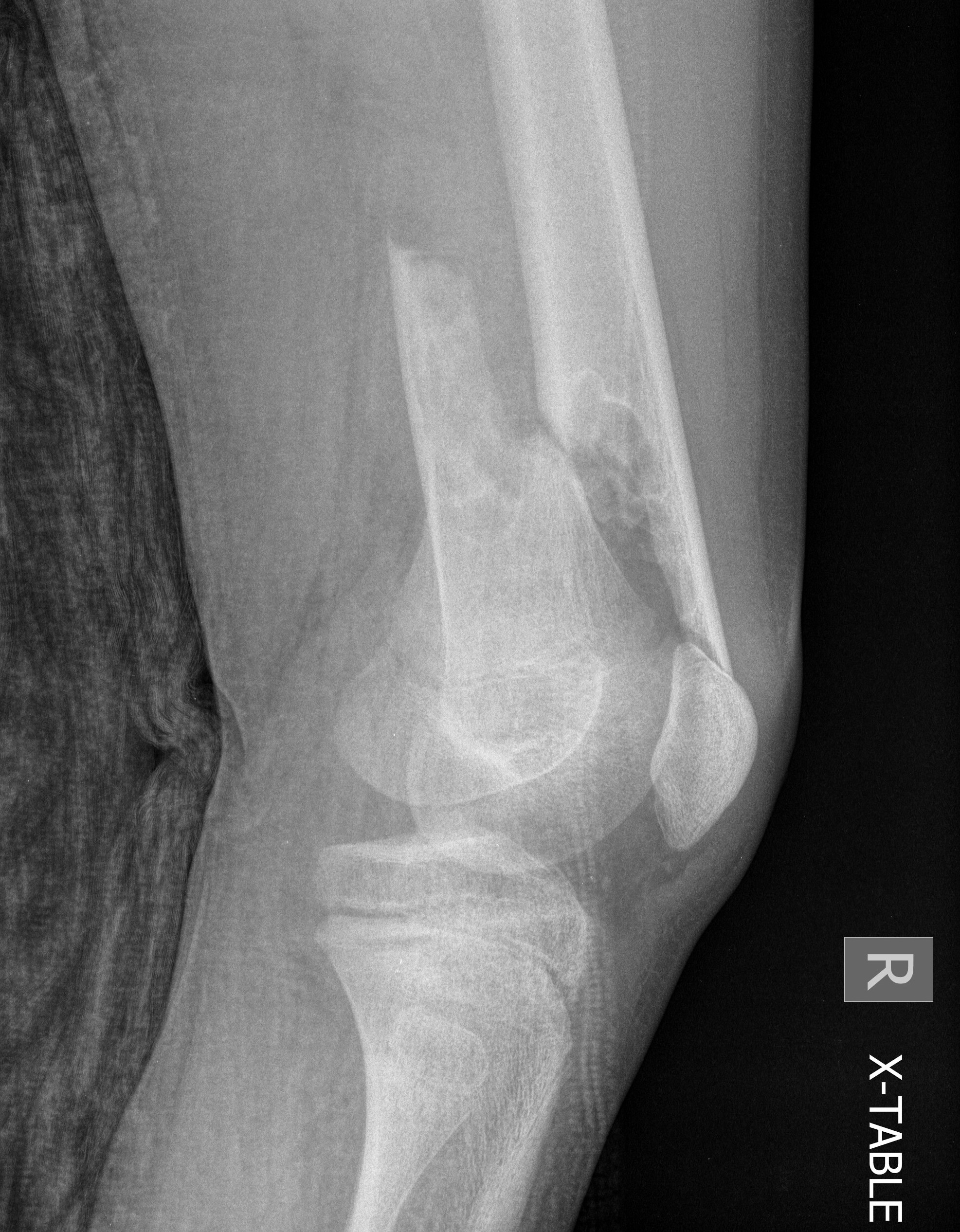
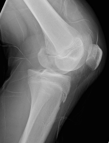
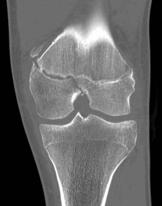
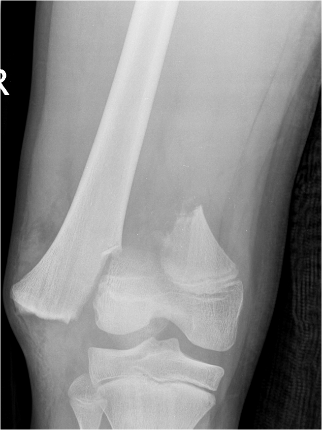
Salter Harris Type II

 

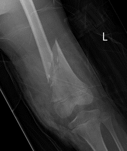
Type IIIType IIIType 3

Salter Harris Type III

 

Dis femurDis femur

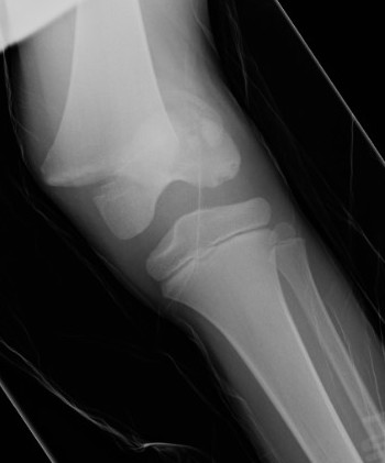
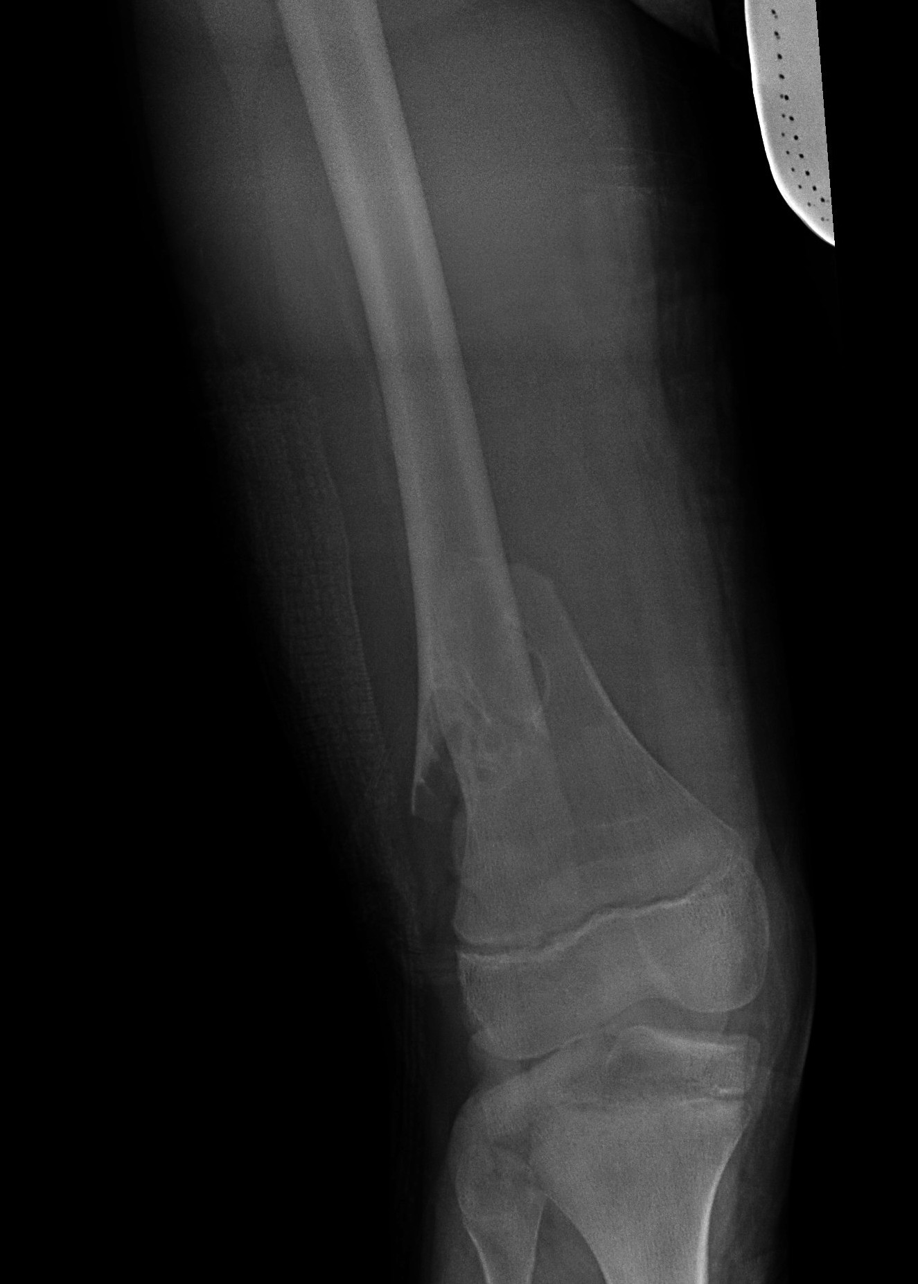
Supracondylar distal femur fracture

 

dis femurdis femur

Supracondylar distal femur fracture through cyst

 

HoffaHoffa

Pediatric Hoffa fracture

 

Management

 

Undisplaced

 

Extension plaster 6 weeks

 

Salter Harris Type I / Type II with minimal metaphyseal bone

 

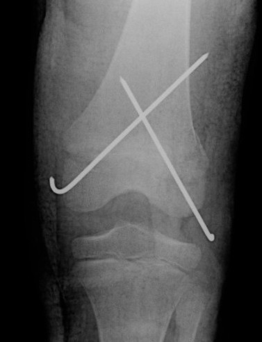
SH1SH1

 

Technique

 

AO foundation K wire fixation distal femur Salter-Harris Type I

 

AO foundation medial approach to pediatric knee

 

AO foundation lateral approach to pediatric knee

 

Closed reduction

- periosteum can cause block to reduction

- may require medial or lateral approach

 

Cross K wires

- can be unstable and lose position

- in children 4 and less the femoral artery can be in danger with medial K wire

 

SH1SH1SH1

 

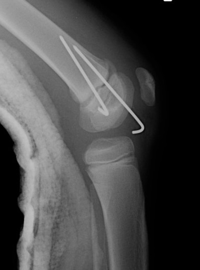
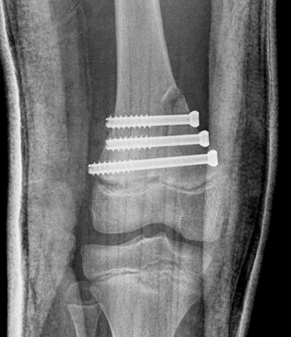
Salter Harris Type II with large Thurston Holland fragement

 

Distal Femur Salter Harris 2Distal Femur Salter Harris 2

 

Technique

 

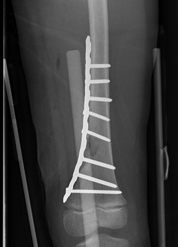
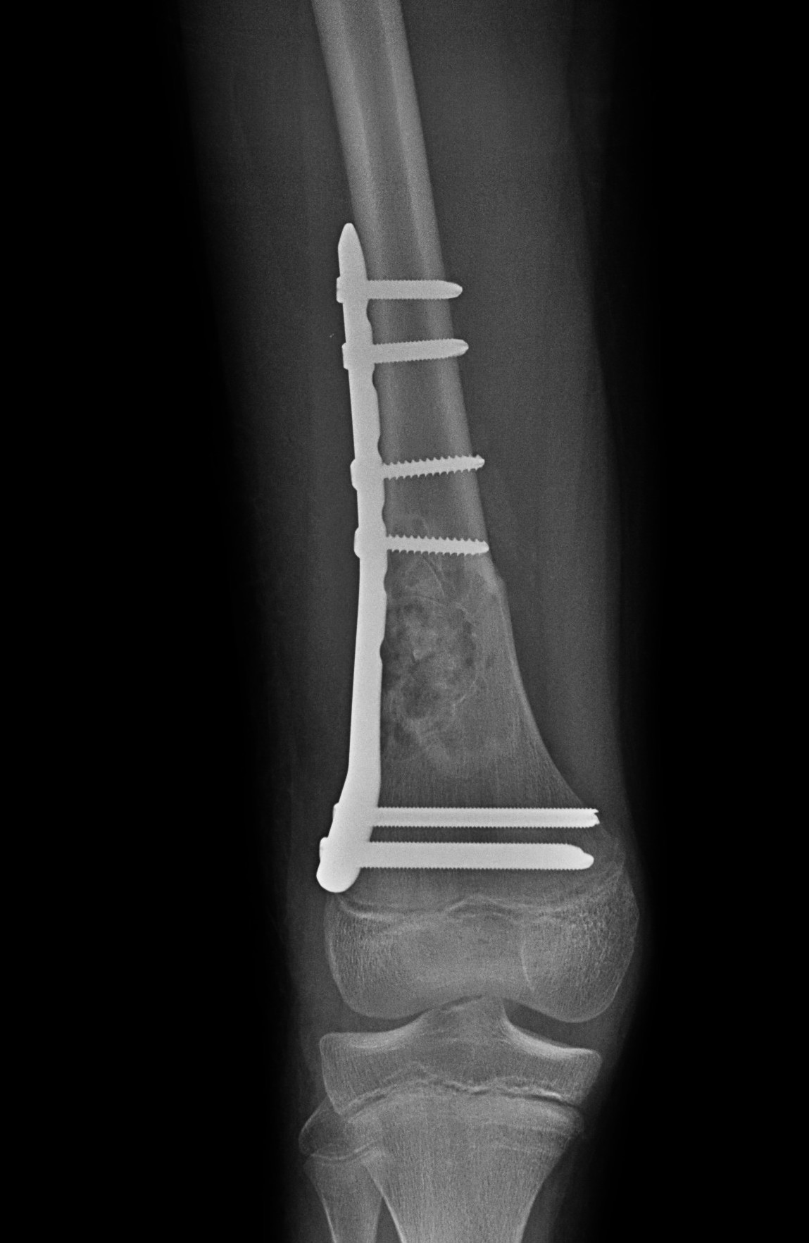
AO foundation screw fixation Salter Harris Type II

 

AO foundation medial approach to pediatric knee

 

AO foundation lateral approach to pediatric knee

 

Reduction

- attempt closed

- may be periosteum blocked on tension / medial side

 

Medial subvastus approach to knee

- identify Thurston-Holland fragment

- physeal sparing metaphyseal screws

 

Distal Femur SH2 ORIFDistal Femur SH2 ORIFDistal Femur SH2 Lateral

 

SH2dis femurdis femur

 

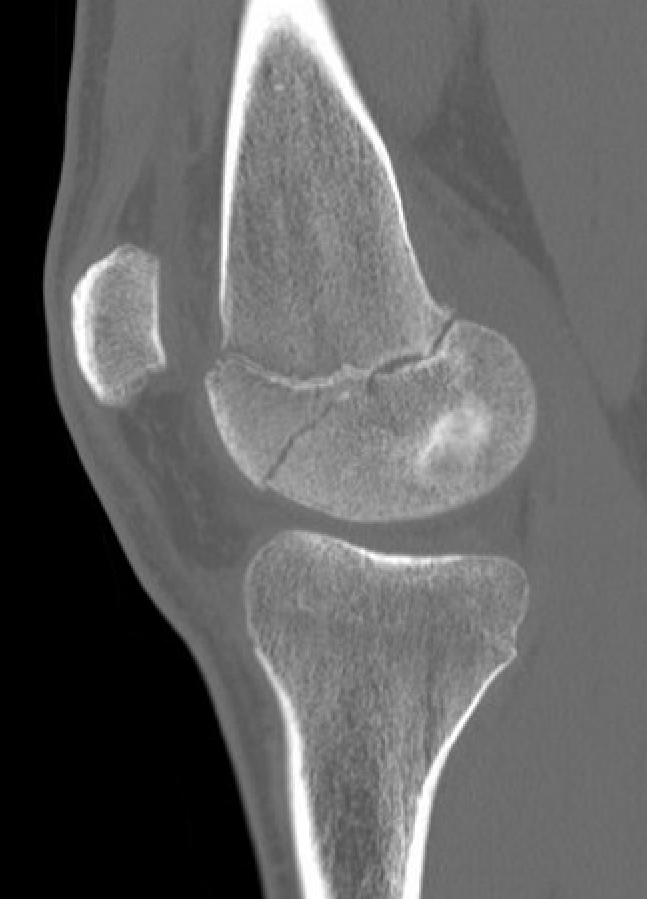
Salter Harris Type III

 

Type IIIType IIISHIIISHIII

 

Supracondylar without physeal involvement

 

dis femurdis femurDis femur

Plate fixation and currettage / bone grafting of cyst

 

Options

 

Plate

Antegrade flexible nails

 

dis femurDis femurdis femur

 

Complications

 

Complete growth arrest / Leg length discrepancy

 

SH1SH1LLD

 

Monitor 6 monthly

- plot short and long leg lengths on Mosely chart

- distal femur contributes 9 mm / year

 

LLDLLD

 

Manage LLD as per predicted difference

- contralateral femoral epiphysiodesis +/- femoral lengthening

 

www.boneschool.com/pediatrics/leg-length-discrepancy

 

Partial growth arrest / angular deformity

 

SH2Dis femurDis femur

 

Management

 

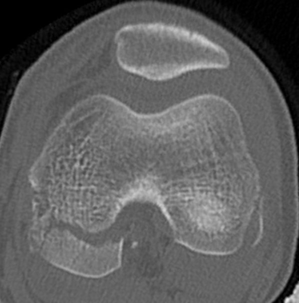
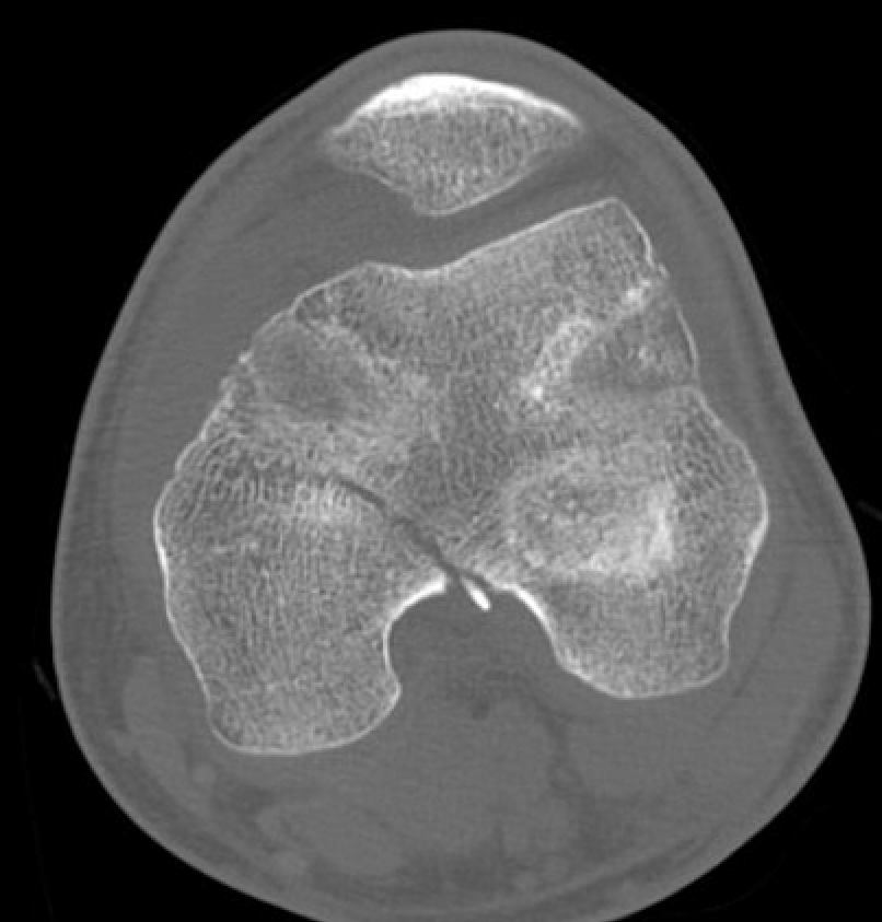
CT / MRI - assess percentage of bony bridge

 

Bony bridge < 50%

- excision and fat graft

- manage angular deformity with 8 plates / osteotomy

 

Bony bridge > 50%

- hemi-epiphysiodesis

- may need later correction of LLD and angular deformity

 

Angulardis femurdis femur