



Epidemiology
Boys > girls
Bimodal distribution
- age 2-3 from falls
- 16-19 years from traffic accidents
Non accidental injury - suspect in non walker
Birth injuries
OI / Pathological fracture through cysts / Metabolic disease / Spina bifida / cerebral palsy
Traction
Options
AO surgery reference femur fracture skin traction options
| Overhead skin traction / Gallows | Longitudinal traction | 90 - 90 traction / Hamilton-Russell |
|---|---|---|
| < 2 years & under 12 kg | > 2 years and over 12 kg | > 2 years and over 12 kg |
![]() |
Algorithm
| 0 - 6 months | 6 months - 5 years | 5 - 11 years | > 12 years | 15 and old |
|---|---|---|---|---|
|
Pavlik harness / newborns
Hip spica
|
Hip spica Flexible nails |
Flexible nails Plate |
Flexible nails < 50 kg Lateral entry nail Plate |
Lateral entry nail |
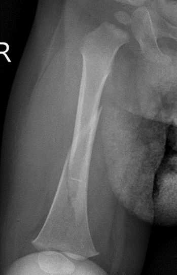
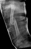
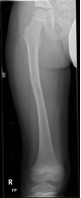
Definition
Length stable - transverse / short oblique
Length unstable - spiral / comminuted
Management 0 - 6 months
Etiology
Difficult delivery
Osteogenesis imperfecta
Non accidental injury
Options
Pavlik harness
Hip spica
Podeszwa et al. J Pediatr Orthop 2004
- < 1 year child
- 24 in Pavlik compared with 16 in spica
- spica patients tended to be older and heavier
- no difference in outcomes
- 1/3 spica patients had a skin problem
Management 6 months - 5 years



Options
Hip spica
TENS
Results
Single versus double leg hip spica
- RCT of 52 pediatric femoral shaft fractures aged 1 -3
- single v double leg
- all healed satisfactorily at 4 weeks
- single leg more likely to fit into car seats / chairs
Walking hip spica
- walking hip spica v traditional hip spica
- walking spica patients more likely to need wedge correction of malalignment
Hip spica v flexible nails
Duan et al J Pediatr Orthop B 2023
- systematic review of hip spica v flexible nails in 2 - 5 year olds
- 8 studies and 5000 patients
- flexible nails reduced time to normal activities and reduced malunion
- flexible nails longer hospital stay and increased second surgery to remove nails
- 260 patients with femur fracture aged 4 - 5
- hip spica v TENS
- no difference in outcome
- increased secondary procedure to remove implants in TENS
Hip spica technique

AO surgery foundation hip spica technique
Vumedi hip spica technique video


Technique
GA, on spica table (posterior thorax on post)
- apply stocking net over body and legs
- pressure pads over ASIS
- wool applied
- must have roll of wool over abdomen to give space to breath
- 45 / 45 sitting spica (knees 45o, hip 45o), hips 30o abduction, 15o ER
- single-leg spica cast: to ankle on ipsilateral side, no inclusion of contralateral thigh
Check position under fluoroscopy
- accept <2 cm shortening
- 15o varus / valgus / flexion / extension / rotation
Remodelling





Management 5 - 11 years



Options
Hip spica
Titanium elastic nails - length stable fractures
Plate - length unstable fractures / proximal or distal fractures / heavy children > 50 kg
Results
Hip spica v TENS
Iman et al Arch Bone Jt Surg 2018
- systematic review of 12 studies and 1012 patients
- patients 2 to 16 years
- hip spica v TENS
- reduced malalignment and faster independent walking with TENS
Flexible nail v Plate
- plate v flexible nails in 122 length unstable fractures
- aged 5 - 11
- longer operative times and blood loss with submuscular plating
- addition brace / spica needed with flexible nails
- no difference outcomes
Singh et al J Child Orthop 2023
- systematic review of flexible nail v plate
- 13 papers and 800 cases
- lower soft tissue infection with nails
- no other difference in outcome
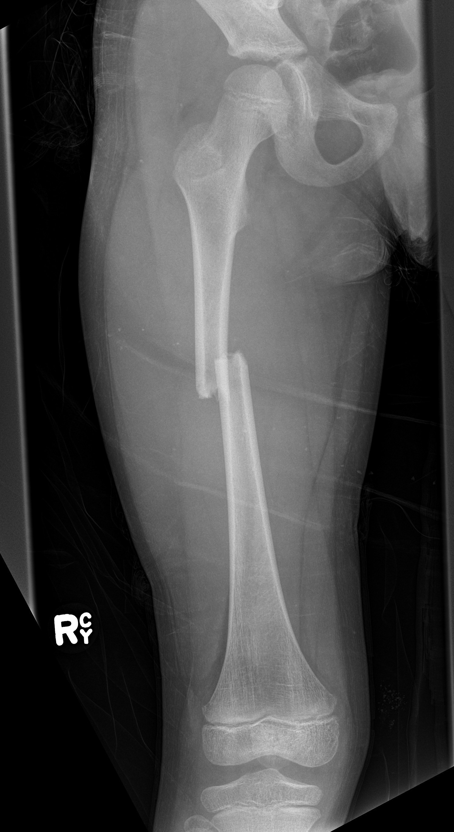
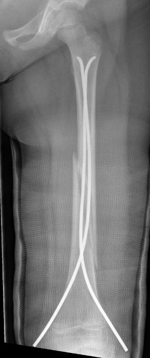
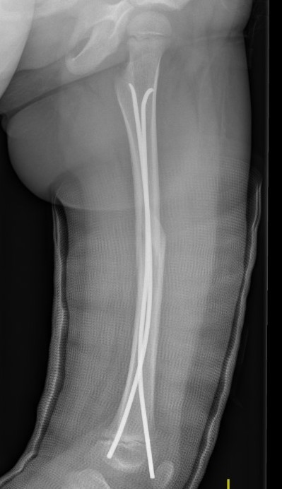
Flexible nails / Titantium Elastic Nails



Indications
Length stable fractures i.e simple transverse, short oblique
Midshaft fractures
Maximum weight up to 50 kg / 12 years old
Flexible nail technique



Synthes surgical technique TENS nails PDF
JBJS Essential surgical techniques flexible nail PDF
AO foundation ESIN retrograde technique
Wires
- available 1. 5 mm - 4.0 mm
- 30 - 40% of diameter of diaphyseal medullary canal
- i.e. if canal 10 mm wide, use 2 x 4 mm
- recommend using 2 wires same diameter to avoid rotational instability
Entry points
- medial and lateral insertion
- 1 - 2 cm proximal to distal femoral physis
- oblique entry with awl in direction of nail insertion
- can open with drill bit
- beware proximity of the femoral artery medially
- entry points should be symmetrical
Wire passage
- bend wire for 3 point fixation with bend at fracture site
- also bend the tip of the wire
- can use F Tool to reduce fracture / sheet in groin
- may need small incision and open reduction
- medial entry wire will pass into femoral neck
- lateral wire will pass into greater trochanter / medial wire into femoral neck
- use designated TEN wire cutter to cut wires
- cut off, tap in slightly further, leave 1.5 cm out so can retrieve
- wires that are too prominent can cause bursa / limit flexion / pain / protrude through skin
Acceptable alignment
- 10o varus / valgus
- 15o flexion / extension
- 15 mm shortening
Complications
- 234 femur fractures treated with flexible nails
- age > 11 and weight > 50 associated with poorer outcomes
- age < 11 good outcome 72%, age > 11 good outcome 55%
- leg length discrepancy and angulation associated with poorer outcomes
Narayanan et a. J Paediatr Orthop 2004
- reported on 79 patients treated with flexible nails
- pain and irritation at insertion site common
- malunion / loss of reduction associated with nails of differing diameters and increased comminution
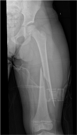
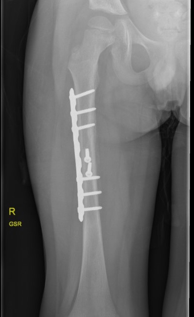
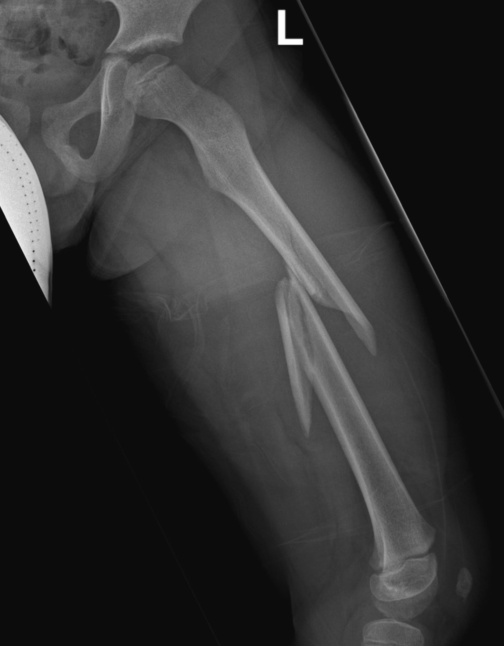
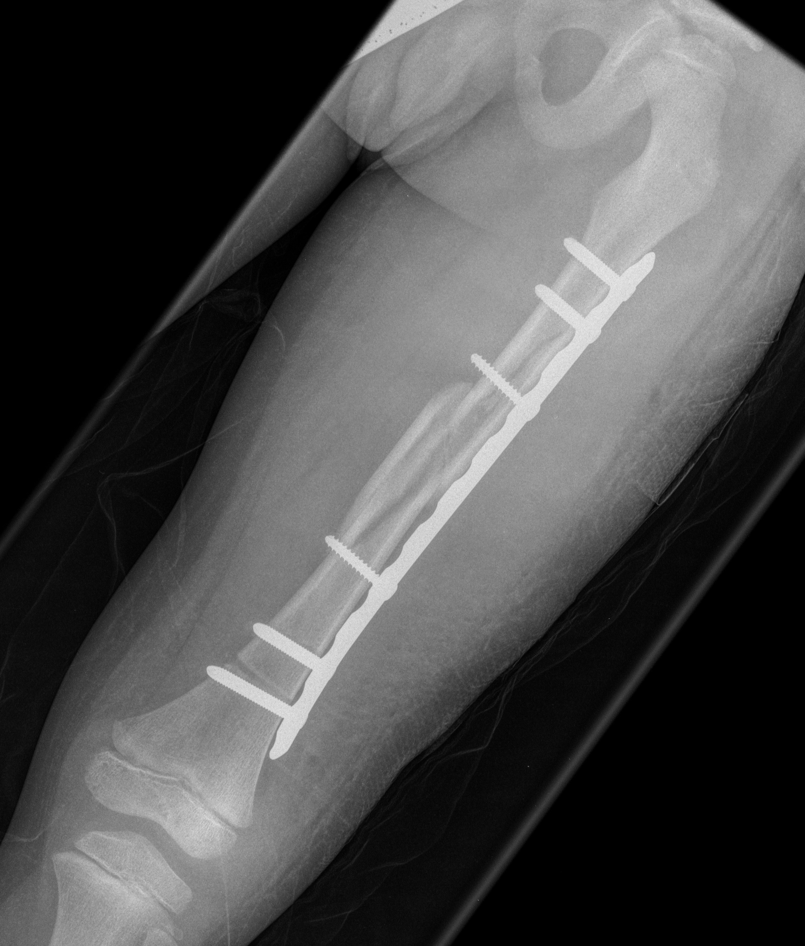
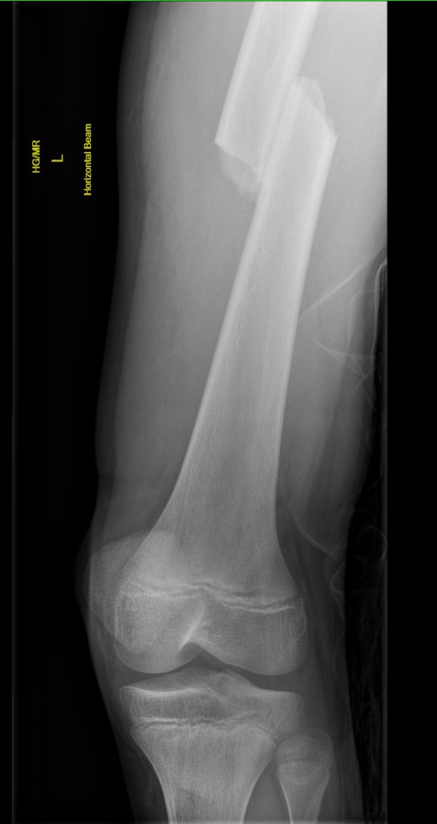
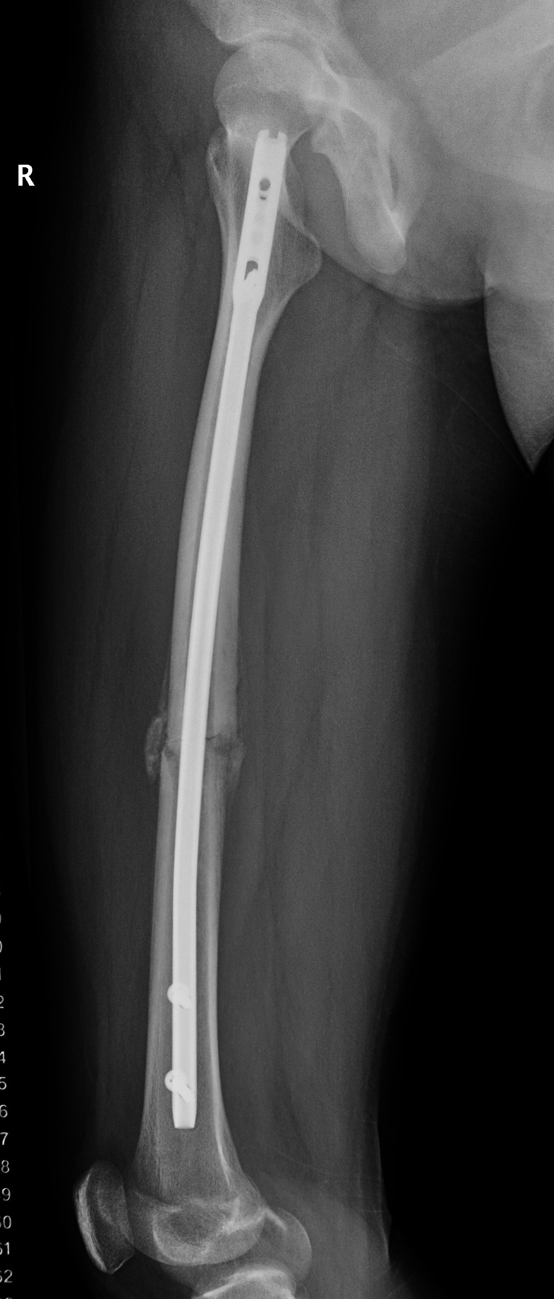
Femur plates



Indication
- length unstable fractures (spiral / comminuted)
- distal or proximal fractures
Options
Open plating
Submuscular bridge plating
Abott et al. J Paediatr Orthop 2013
- comparison of open v submuscular bridge plating in 79 patients
- increased blood loss in open plating
- increased rotational asymmetry in bridge plating
- no other difference between two groups
Submuscular bridge plating





POSNA submuscular plating technique video
Technique
- supine on radiolucent table or traction table
- proximal and distal incisions
- blunt dissection to periosteal layer
- run bristow or cobb elevator submuscularly
- 3.5 or 4.5mm LCP plate submuscularly
- indirect reduction techniques
- if inadequate reduction need to open
Management 12 years and over



Issues
Limited remodelling potential
Usually too heavy for flexible nails > 50 kg
Risk of AVN with standard pirformis entry nails
Options
Plate - incidence of refracture with plate removal
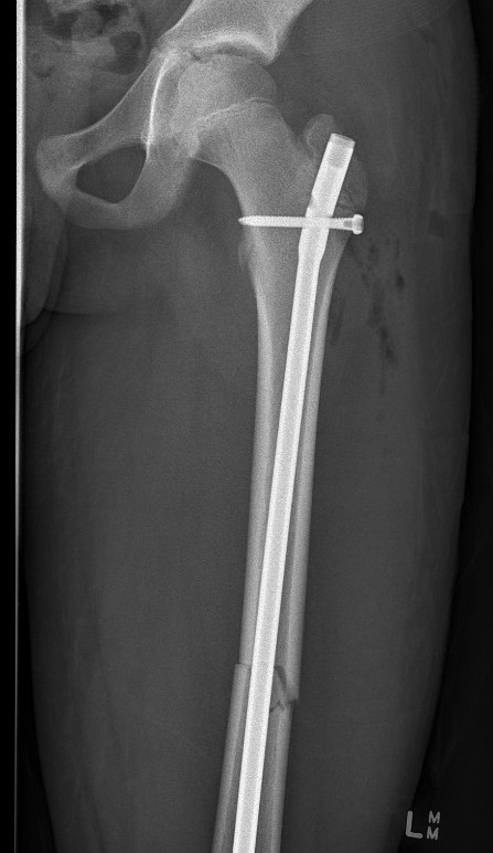
Lateral entry trans-trochanteric adolescent femoral nail
Adolescent Lateral entry Femoral Nail (ALFN)



AVN
Keeler et al. J Paediatr Orthop 2009
- 80 femoral fractures treated with lateral entry femoral nails
- no AVN
- no malunion or nonunion
MacNeil et al. J Paediatr Orthop 2011
- systematic review of risk of AVN after used of rigid locking nails
- piriformis fossa AVN rate 2%
- tip greater trochanter AVN rate 1.4%
- lateral entry / trans-trochanter AVN rate 0%
Coxa valga
Greater trochanter apophysis contributes to growth until age 8 - 9
- lateral entry nail risk coxa valga
- 93 patients with 2 year follow up
- 2% incidence of asymptomatic coxa valga
Technique
Synthes lateral entry adolescent femoral nail surgical technique PDF
AO foundation lateral entry adolescent femoral nail (ALFN)
Vumedi lateral entry femoral nail video
Management > 15 years old
Standard antegrade nail
Subtrochanteric fractures
Issues
Non operative treatment rarely indicated in older children as acceptable alignment hard to maintain
Options
Plate v TENS
- no difference in outcome between plate and TENS
- plate patients tended to be older and heavier
Li et al J Pediatr Orthop B 2013
- 54 children aged 5 - 12 with subtrochanteric fractures
- better outcomes and lower complication rate with plate compared to TENS
