


Definition
Extensor mechanism injury to inferior pole of the patella in an adolescent
Average age 12
Pathology
Very small bony piece but associated with large cartilaginous piece not seen on xray
Mechanism
Jumping / landing with flexed knee
Clinical
Very swollen and tender inferior pole patella
Unable to straight leg raise
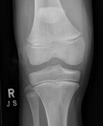
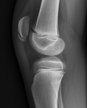
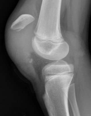
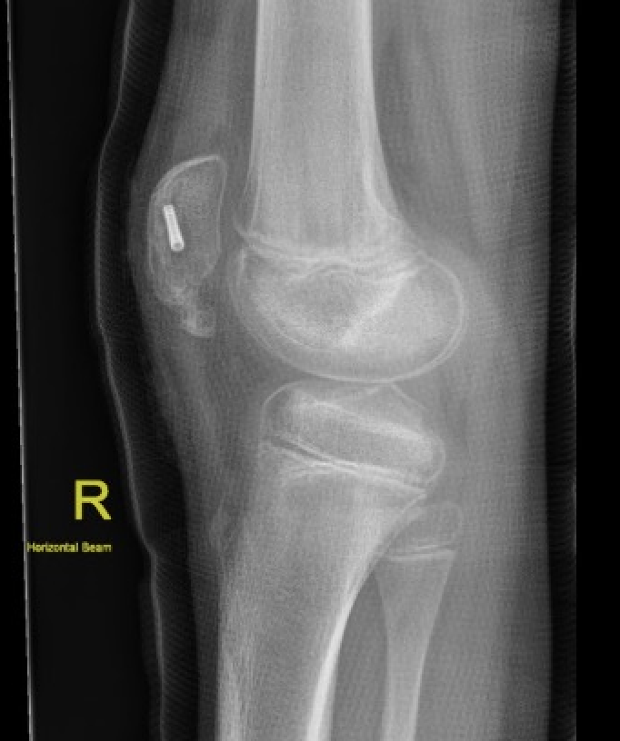
Xray
Patella alta / high riding patella
Very small bony fragment


Minimally displaced patella sleeve fracture


Displaced patella sleeve fracture
Management
Minimally displaced
Cast in extension

Displaced > 2 mm
ORIF
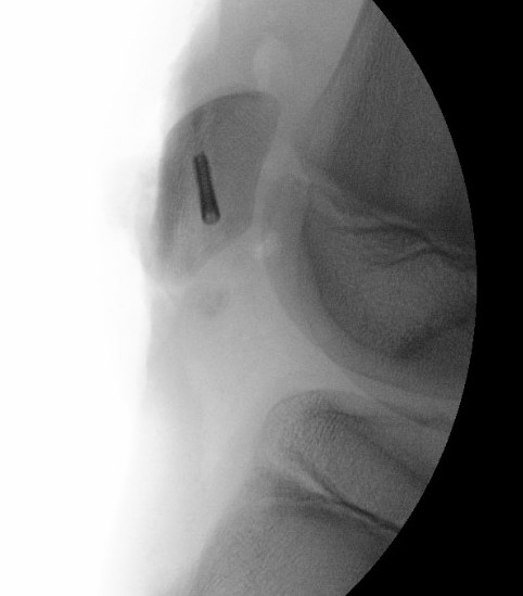
Technique
Arthroscopy Techniques suture anchor repair
POSN Academy patella sleeve trans-ossous suture repair video
Depends on size of fragment
- intra-osseous sutures
- tension band wires
- suture anchors



Fixation of osteochondral fragment with headless compression screws, and sleeve fixation with sutures anchors



Patella sleeve ORIF with tension band wires
Outcomes
Perkins et al J Knee Surg 2022
- 20 patients average age 12 with displaced patella sleeve fractures
- treated with intra-osseous sutures
- no construct failure or lag
- 30% < 130 degrees of flexion
- all patients who began ROM exercises before 21 days achieved full ROM