

Definition
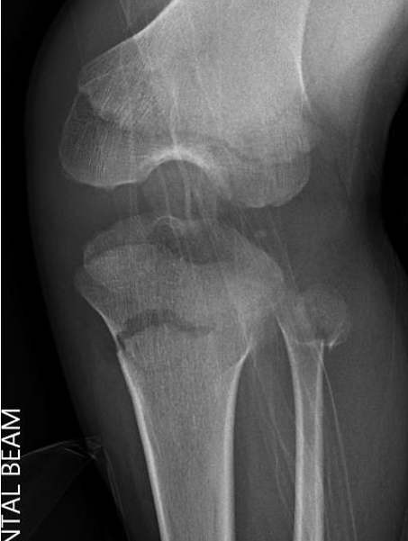
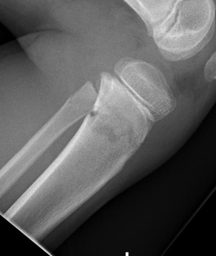
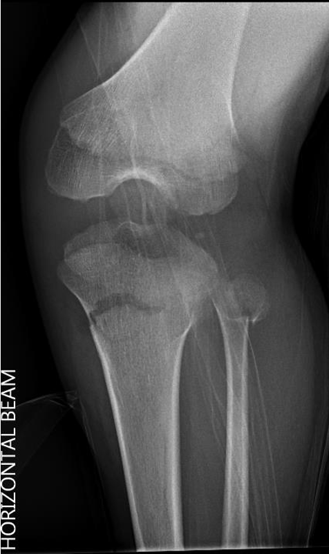
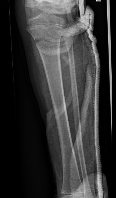
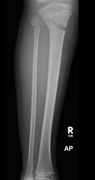
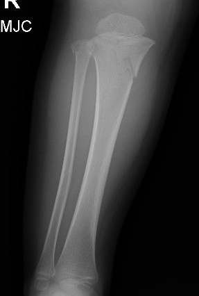
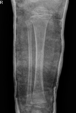
Proximal metaphyseal tibial fracture
Risk of delayed valgus deformity
Cozen phenomenon
Delayed valgus deformity secondary to medial tibial elongation
Theories
Medial epiphyseal overgrowth secondary to increased vascularity
Medial periosteum interposition
Initial valgus malalignment
Incidence
Can occur without initial valgus malalignment
Yang et al J Pediatr Orthop 2019
- 140 Cozen fractures with < 4 degrees initial valgus
- mean age 4 years old
- 14% developed valgus
- 3% had persistent valgus > 5 degrees
Natural history
Papamerkouriou et al J Child Orthop 2020
- 33 patients with Cozen fracture
- 73% developed medial elongation over a mean of a year
- cases then tended to resolved over time to initial post treatment angles
Management
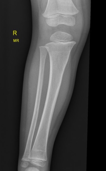
Correct valgus malalignment
- manipulate under anesthesia
- extension long leg cast with varus mould



Manipulation and casting of malaligned Cozen fracture under anesthesia


Manipulation and casting of malaligned Cozen fracture under anesthesia
Valgus malalignment



Management
1. Observation
- may spontaneously resolve
2. Guided growth
- temporary hemi-epiphysiodesis with 8 plates
Morin et al Strategies Trauma Limb Recon 2018
- 19 children with valgus deformity post proximal tibia metaphysis fracture
- treated with 8 plates and guided growth
- 5/19 recurrent valgus treated with repeat surgery