


Etiology
Varus malunion of supracondylar humeral fractures
Lateral condyle fracture with AVN trochlea or lateral condyle overgrowth
Distal humerus physeal separation
Growth arrest of medial aspect physis - rare / post traumatic
Clinical
Mainly cosmetic problem
- ulna nerve symptoms
- PLRI
Does not correct with time


- 86 patients with cubitus varus after supracondylar fractures
- sagittal plane remodelling occured
- no change in coronal or axial plane deformities
Xray



CT
Frequently a triplanar deformity
- coronal plane: varus
- sagittal plane: extension
- transverse plane: rotation


Operative management
Options
Corrective osteotomy
- lateral closing wedge
- step cut / triangular
- dome
- multiplanar osteotomy


Guided growth / hemi-epiphysiodesis
Results
Outcomes
Solfelt et al. Bone Joint J 2014
- systematic review of 894 children treated for cubitus varus
- mean correction 27o
- 88% good or excellent results
- nerve palsy in 2.5%, although the majority were transient
Age
Okpara et al J Paediatr Soc North Am 2024
- 17 patients with cubitus varus treated with osteotomy
- patients <10 year old versus >10 years old
- pin fixation <10 year old, plate fixation > 10 years old
- better outcomes with treatment <10
Osteotomy type
Hoffman et al J Paediatr Orthop B 2024
- systematic review of 900 osteotomies for cubitus varus
- lateral closing wedge: revision rate 3%
- dome osteotomy: 5% loss of motion
- 3D osteotomy: 2% poor outcomes
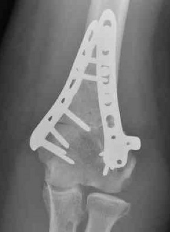
Lateral closing wedge osteotomy

Technique
JBJS Essential Surgical Techniques lateral closing wedge osteotomy
Lateral approach
- metaphyseal not diaphyseal
- preserve medial cortex
- beware abnormal position of radial nerve
- 1mm of wedge for each degree
- fixation with plate
Step cut / triangular osteotomy
Vumedi step cut osteotomy video
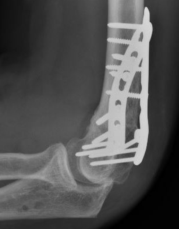
Complex osteotomies
Technique
3D printed cutting guide multiplanar osteotomy technique PDF
Posterior approach
- patient in lateral decubitus with arm over bolster
- triplanar osteotomy
- bilateral plates



Guided growth / hemi-epiphysiodesis
Technique
Guided growth / application lateral 8 plate
Results
Martinez-Alvarez et al J Clin Med 2023
- 15 patients skeletally immature treated with 8 plates
- 87% satisfied
- 5 cases of screw loosening