Ossification
Primary
- 8 / 52 gestation radius & ulna
Secondary
- distal radius age 1
- proximal radius 4
- distal ulna age 5
Growth
Majority from distal physis
- 75% radius
- 80% ulna
Types
Complete
Greenstick
Buckle / torus
Single or both bone
Galeazzi / Monteggia
Non Operative Management


Acceptable Position
< 10 years old: < 15 degrees malalignment
> 10 years old: < 10 degrees malalignment
< 1 - 2 years of growth remaining: Anatomic alignment required
Operative Management
Indications
Outside parameters for non-operative treatment (see above)
Loss of reduction
Options for displaced fractures
1. MUA
Indications
- young patients < 10
- greenstick fractures
2. Compression Plating
Advantage
- rigid, anatomical fixation
Disadvantage
- increased scarring
- risk of complications with plate removal including refracture
- increased risk of infection and nerve injury
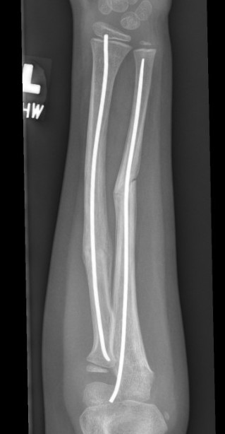
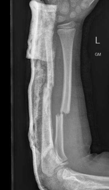
3. Intramedullary elastic nail
Advantage
- smaller scars with insertion
- easier to remove than plates
Disadvantage
- generally immobilized
- must be removed
- non anatomical reduction compared with plates with theoretical risk of loss supination / pronation
- risk of extensor tendon rupture due to prominence of nails at insertion sites
Results
Intramedullary nail v plate
- meta-analysis of 13 RCTS
- IM nailing reduced operative time and complications compared to plate
- no difference in time to union, union rate, or loss of forearm rotation
Shah et al J Orthop Trauma 2010
- comparison of plate (46) v nail (15) for 61 adolescents average age 14
- 83% in both groups obtained full rotation
- no major complications in nail group
- 5 major complications in plate group
Manipulation under anaesthesia
Post reduction Positioning / Rule of Thirds
1. Fracture proximal to the insertion of Pronator Teres
Proximal fragment supinated by biceps
- supinate the forearm
- match proximal fragment




2. Fracture in the middle third
Midposition / neutral
- biceps / pronator teres balanced




3. Fracture in the distal third
Proximal fragment pronated by pronator teres
- pronation is the position of choice


TENS technique


Synthes titanium elastic nail techique PDF
Technique
Radius (typically first as more difficult to reduce)
Entry point with awl 2 cm proximal to distal physis
1. Radial styloid / distal lateral entry
- ensure radial nerve / cephalic vein, 1st extensor compartment protected
2. Listers tubercle / dorsal entry



Elastic Nail size
60 - 70% of the intramedullary canal
Typically 1.5 - 2.5 mm
Fracture reduction
Avoid passing nails incorrectly multiple times as may cause compartment syndrome
Bend tip of elastic nail
May need small open reduction
Cut nail
Withdraw 1 cm, cut with endcutter, then advance
Ulna (usually reduced after radius fixation)
Entry point 2 cm distal to apophyseal plate
1. Proximal lateral
- avoids ulna nerve
3. Distal medial

Postoperative
Cast in supination to tighten interosseous membrane
Cast 6 weeks
Removal of TENS at 4 - 6 months once osseous union established
Single v Double Elastic Nail
Dietz et al. J Pediatr Orthop 2010
- retrospective review of 38 children with both bone forearm fractures
- treated only with ulna elastic nail
- all patients had union with restoration of rotation
- two patients had angulation of the radius > 20 degrees that underwent surgical intervention
ORIF with plates




AO surgery Henry approach to radius
AO surgery compression plating technique
Single versus Double plate
- RCT of 100 patients with both bone forearm fractures
- ulna plating versus ulna & radius plating
- no difference in outcome, range of motion or union rates
- some loss of position in radius when not plated
Complications
Compartment syndrome
Martus et al J Paediatr Orthop 2013
- 205 fractures treated with elastic nail
- 3/205 (1.5%) compartment syndrome
Nonunion


Fernandez et al J Paediatr Orthop 2009
- 592 patients treated with elastic nail
- 6/592 (1%) nonunion / pseudoarthrosis
- all in ulna, 5/6 opened in surgery to facilitate nail passage
Refracture
Makki et al J Paediatr Orthop B 2014
- plate removal refracture rate 8.5% if removed within 12 months of implantation
- nail removal refracture rate 17% if nail removed within 6 months of implantation
- 82 children with retained forearm plates followed for 8 years
- 7% incidence of implant related fractures
Extensor tendon injuries with elastic nails
- 202 elastic nails
- 3/202 (1.5%) EPL ruptures
Murphy et al J Pediatr Orthop 2019
- systematic review of 33 EPL ruptures post elastic nail
- all with dorsal approach to the radius
- average 10 weeks post surgery
- treated with repair, EIP to EPL transfer, or graft reconstruction with palmeris longus

