Epidemiology
FOOSH / sports
Boys aged 10 - 14
Differential diagnosis
Pathological fracture through unicameral bone cyst
Little leaguer's shoulder - overuse with widening or calcification of proximal humerus
Types
Metaphyseal 70%
Physeal 30% - SHII > SHI
Issues
Great remodelling potential
Shoulder ROM compensatory
Physis
- 80% of longitudinal growth of the humerus
- closure: females 16, males 18
Neer-Horwitz Classification
| Type I: < 5 mm displaced | Type II - displacement < 1/3rd shaft width |
|---|---|
![]() |
| Type III - displacement 1/3 - 2/3rd shaft width | Type IV - displacement > 2/3rd shaft width |
|---|---|
![]() |
![]() |
Management
Nonoperative versus operative management
Hosseinzadeh et al J Pediatr Orthop 2024
- RCT of operative v non operative management
- 78 patients aged 10 - 16% with > 50% displacement or 30 degrees angulation
- no difference in outcomes
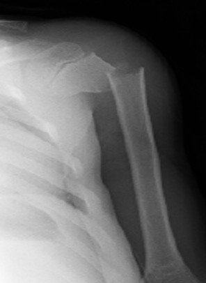
Case: 16 year old boy


Initial injury 18 months post injury
Case: 18 year old boy


Initial xray 18 month xray
Nonoperative management
Nonoperative versus operative management
Hosseinzadeh et al J Pediatr Orthop 2024
- RCT of operative v non operative management
- 78 patients aged 10 - 16% with > 50% displacement or 30 degrees angulation
- no difference in outcomes
- systematic review
- subgroup Neer III / IV
- good excellent outcomes: nonoperative 82%, K wire 95%, flexible nails 98%
Indications for nonoperative management
< 12 years - high remodelling potential
< 50% displacement / < 40° angulation
Case: 16 year old boy


Initial injury 18 months post injury
Case: 18 year old boy


Initial xray 18 month xray
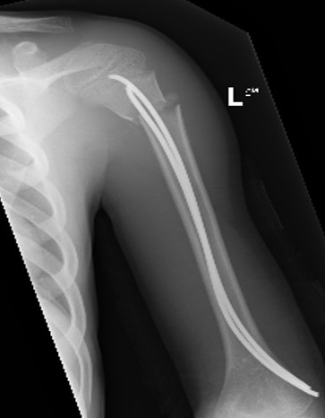
Operative Management
Indications for operative management
> 12 - 13 years - limited remodelling
< 2 years growth remaining
> 50% displacement
> 40° angulation
Options
Manipulation under anaesthesia (MUA)
K wire / percutaneous pinning - crosses growth plate
Retrograde flexible nails - spares growth plate
Results


Percutaneous pinning v retrograde flexible nails
Hutchinson et al J Pediatr Orthop 2011
- comparison of percutaneous pinning and IM nailing in 50 patients
- longer surgery and more blood loss in IM nailing
- increased complication rates in percutaneous pinning
- systematic review of displaced Neer III / IV
- increased stability with flexible nails if two nails used
- good / excellent results: flexible nails 98%, K wires 95%
- arm length discrepancy: flexible nails 4%, K wires 19%
Manipulation under anesthesia
Issues
- failed reduction - blocked by long head biceps / periosteum / bone fragments / deltoid
- risk loss of reduction and second surgery


Open reduction + percutaneous pinning


JSJS Essential surgical technique percutaneous K wire PDF
POSNA percutaneous K wire video
Technique
Beach chair
Attempt closed reduction
Open reduction if failed closed reduction
- deltopectoral approach
- protect blood supply / ascending branch medial circumflex humeral
- remove blocks to reduction
- biceps (90%), periosteum (90%), deltoid (70%), bone fragments (10%)
K wires from metaphysis into head
- +/- K wire from GT down into metaphysis
- axillary nerve at risk
- dissect down to bone before inserting K wire
- K wire cross growth plate - risk growth arrest
Retrograde flexible nails



Surgical technique TENS proximal humerus PDF
Youtube surgical technique TENS proximal humerus video
Technique
2 x drill holes in lateral supracondylar ridge
- 1 cm proximal to lateral epicondyle
- pass 2 x TENS
- standard 0.4 of diameter of bone
- usually 2.5 mm
Results
Marengo et al. J Paediatr Orthop 2015
- 14 patients average age 10 years treated with retrograde flexible nails
- no loss of position, no growth arrest



