Epidemiology
Most common pediatric fracture - 20 - 30% of all fractures
Anatomy
Distal radius physis
- closes age 16 for women
- closes age 17 for men
70 - 80% of longitudinal growth of forearm comes from distal physis
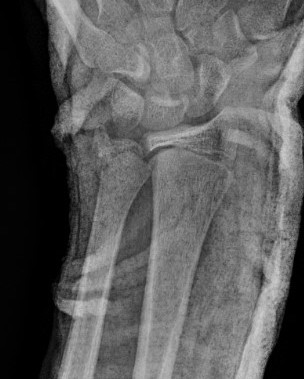
Types
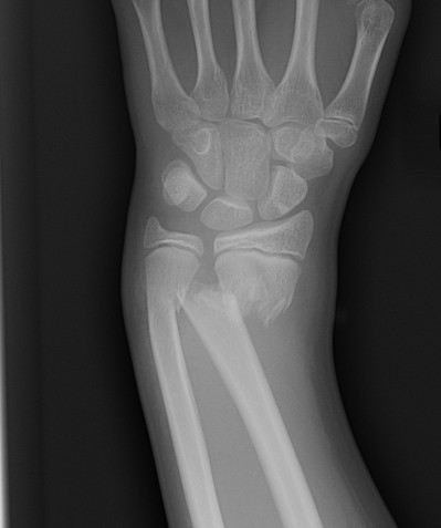
Location
- metaphyseal 80%
- physeal / Salter Harris II 20%
Types
- torus / buckle fractures: compression and unicortical bend / buckle of one cortex with no clear break
- greeenstick fractures: unicortical fracture
- complete bicortical fractures


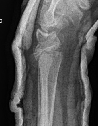
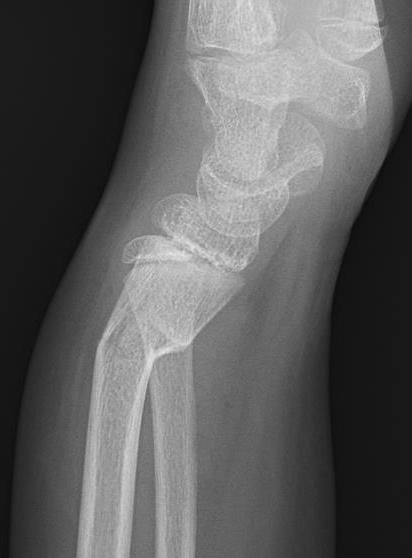
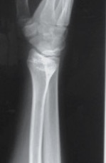
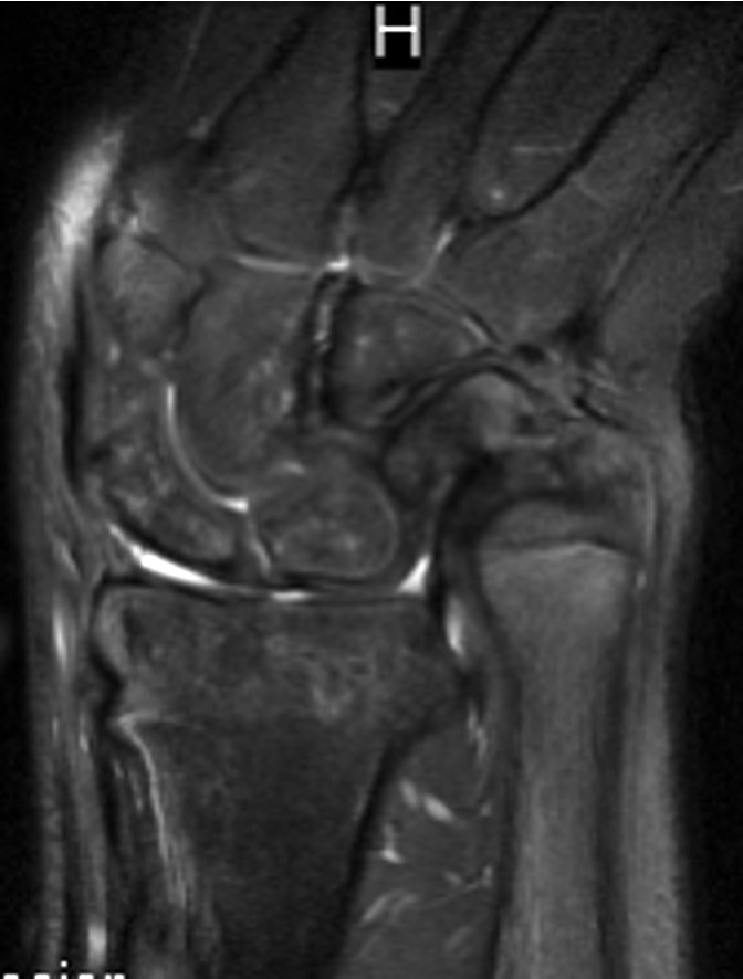
Physeal distal radius fracture


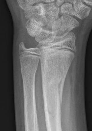
Distal radius buckle fracture


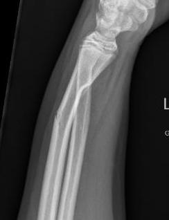
Greenstick fracture
Acceptable alignment
Angulation (all numbers debatable)
- < 8: 25-30°
- > 2 years of growth remaining: 15 - 20°
- < 2 years of growth remaining: < 15°
Physeal injuries
- risk growth plate arrest
- consider leaving < 50% displacement
- single reduction attempt only
Operative management
Indications
Visible deformity
> 20o angulation
Options
Closed reduction and casting
K wire stabilization
Results
- 128 patient RCT with 5 year follow up long arm cast v K wire for both bone metaphyseal fracture
- no difference in supination / pronation overall
- increased malunion with cast 19% versus K wires 7%
- significant malunion after casting associated with significant loss of rotation
Sengab et al Eur J Trauma Emerg Surg 2019
- systematic review of cast v cast + K wire in 400 patients
- redisplacement: cast 46%, K wire 4%
- complications: cast 4%, K wire 16%
Closed reduction and casting
Technique
Conscious sedation
- longitudinal traction 3 minutes
- increase deformity
- check adequate reduction with fluoroscopy
- well moulded cast +/- long arm
- +/- bivalve
Results
Loss of reduction
Bae et al J Pediatr Orthop 2017
- 202 patients with displaced fractures treated with reduction and long arm casts
- loss of reduction 34%
- 23% required remanipulation or surgical fixation
Short versus long arm casts
- RCT of 113 patients short v long arm cast
- no difference in outcome
Hendrickx et al Arch Orthop Trauma Surg 2011
- systematic review of 300 distal third forearm fractures
- short v long arm cast
- short arm cast not inferior
Bivalving casts
Bae et al J Pediatr Orthop 2017
- RCT of 202 long cast casts +/- bivalve
- no difference in outcome
- no compartment syndromes
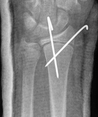
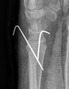
Percutaneous pinning with K wires
Indications
Unstable fractures - both bone fractures
Inadequate reduction
Loss of reduction
Ipsilateral supracondylar fractures / floating elbow
Open fractures
Sengab et al Eur J Trauma Surg 2020
- systematic review of 1200 cases
- risk factors for loss of reduction after closed reduction
- risks: both bone fractures / completely displaced fractures / incomplete reduction
Technique
Youtube pediatric distal radius K wire video
Radial styloid K wire
- small incision, dissect down to protect sensory radial nerve
- avoid physis if able in metaphyseal fracture
- can cross physis
Dorsal Kapaji technique K wire





Complications
Infection

Growth arrest



Incidence
Cannata et al J Orthop Trauma 2003
- 167 pediatric distal physeal injuries of forearm
- average follow up 25 years
- growth arrest > 1 cm in 7/157 (4%) distal radius physeal fractures
- growth arrest > 1 cm in 3/6 (50%) distal ulna physeal fractures
Types
Central growth arrest - ulna sided overgrowth
One sided growth arrest - angular deformity of the distal radius
Issue
Ulna sided overgrowth
Wrist deformity / dysfunction / ulna sided pain
Xray


CT



MRI


Options
Non operative management - little growth remaining, predict < 2 mm radial shortening
Bar resection + fat pad interposition - young patients with substantial growth remaining
Ulna epiphysiodeses of the ulna +/- radial epiphysiodesis
- prevent ulna overgrowing
- radial epiphysiodesis if partial growth arrest causing angular deformity
Ulnar shortening osteotomy
- no growth remaining, ulnocarpal abutment, normal anatomy distal radius
Radius osteotomy - angular deformity of the distal raidus
Radius distraction osteogenesis



