CRITOE Ossification
| Center | Simple |
|---|---|
| Capitellum | 1 |
| Radial head | 3 |
| Internal epicondyle | 5 |
| Trochlea | 7 |
| Olecranon | 9 |
| External epicondyle | 11 |
Apophysis appears around 5 - 7 years
Last to fuse - aged 15 - 20 years
Epidemiology / Etiology
Aged 9 - 14 years
4 times more common in boys
Fall onto outstretched hand
- elbow dislocation in 50%
- incarcerated medial epicondyle in 20%
- ulna nerve dysfunction in 15%
Pitching / throwing: www.boneschool.com/pediatrics/little-league-elbow
Incarcerated medial epicondyle
- typically elbow dislocation with spontaneous reduction
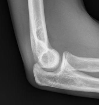
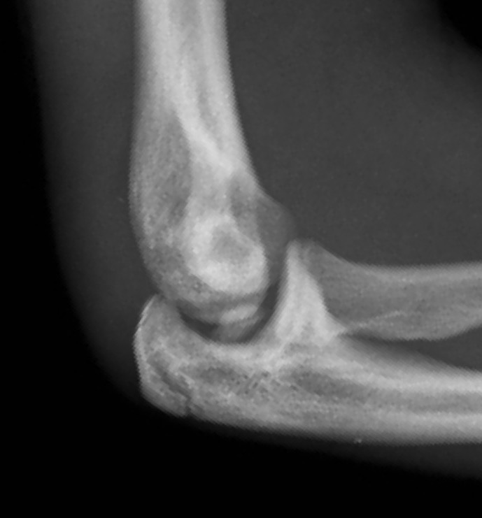
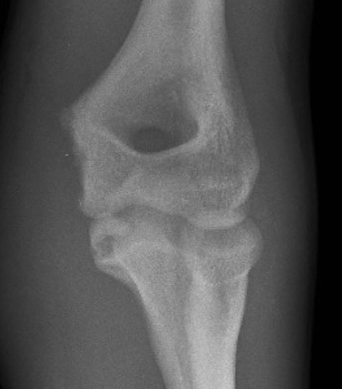
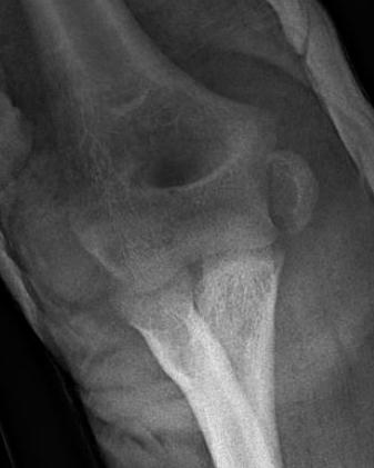
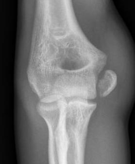
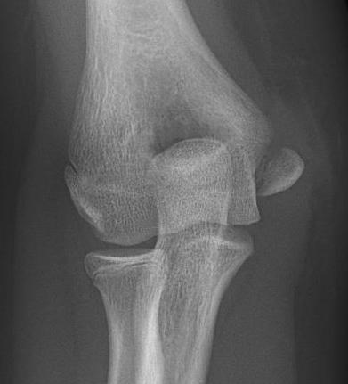
Xray


Displaced medial epicondyle fracture


Incarcerated medial epicondyle fracture



Incarcerated medial epicondyle fracture
Non operative management


Operative v nonoperative
Union rates
Pezzutti et al J Pediatric Orthop 2020
- systematic review of operative v nonoperative management
- 37 studies and 1000 patients
- union rates: operative 96%, nonoperative 28%
- surgical management led to resolution of ulna nerve symptoms
- non operative management occasionally led to development of ulna nerve symptoms
> 2 mm displacement
Grahn et al JAMA Netw Open 2025
- RCT of 72 patients with > 2 mm displacement medial epicondyle
- ORIF + cast for 4 weeks versus cast for 4 weeks
- union rates: surgery 97%, nonoperative 31%
- no difference in outcome
> 5 mm displacement
- 77 patients with > 5 mm displacement
- operative versus nonoperative care
- no difference in outcome
Throwing athletes
Zheng et al Orthop J Sports Med 2025
- 50 adolescent throwing athletes with acute medial epicondyle fracture
- 46% ORIF, 54% nonoperative care
- no difference in return to sport
www.boneschool.com/pediatrics/little-league-elbow
Operative management
Indications
Incarcerated medial epicondyle fragment
Elbow dislocation
Ulna nerve symptoms
? Displaced fragment > 5 or 10 mm
![]()

![]()
Open reduction internal fixation



Technique
AO foundation medial approach to elbow
Youtube open fixation medial epicondyle video
Vumedi percutaneous fixation medial epicondyle video
Supine with arm table / consider patient prone to aid reduction
- medial incision
- find and protect ulna nerve
- reduce fragment anatomically
- ORIF with K wires or screw
- avoid olecranon fossa
Incarcerated medial epicondyle fragment
Etiology
Elbow dislocation which has self reduced / been reduced
Clinical / Xray
If patient < 5 years may not be ossified
- significant pain
- ulna nerve symptoms
- limited ROM
- absent medial epicondyle on xray / compare to contralateral side
- non congruent joint reduction
- consider CT / MRI / arthrogram / open exploration
Management
Youtube incarcerated medial epicondyle fixation video
Vumedi incarcerated medial epicondyle fixation video
Open reduction
- medial approach
- identify and protect ulna nerve
- retrieve medial epicondyle
Results
Dodds et al J Hand Surg Am 2014
- 11 cases of elbow dislocation with incarcerated medial epicondyle fracture
- open reduction and fixation
- no recurrent instability
- 4 patients with residual ulna nerve symptoms
- 1 patient with a flexion contracture requiring a heterotopic ossification resection