Epidemiology
Aged 7 - 12 with FOOSH / valgus injury
Rarely get radial head fracture as is mostly cartilaginous
40% associated injury - olecranon fracture / medial epicondyle fracture
Anatomy
Radial neck
- 15 degrees valgus relative to shaft
- 10 degrees apex posterior
Associated injuries
Langenberg et al Children 2025
- systematic review
- 33% associated injuries
- 50% olecranon fractures
- medial epicondyle fractures
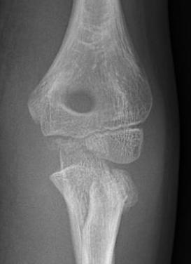
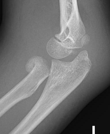
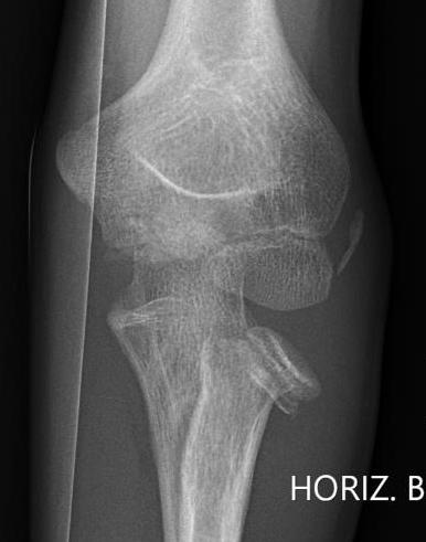
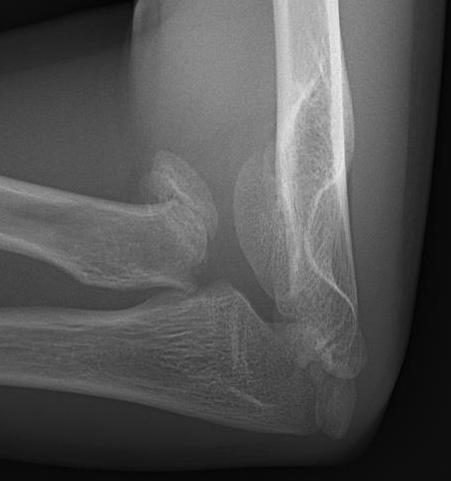
Xray


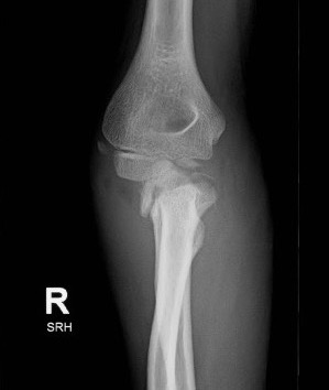
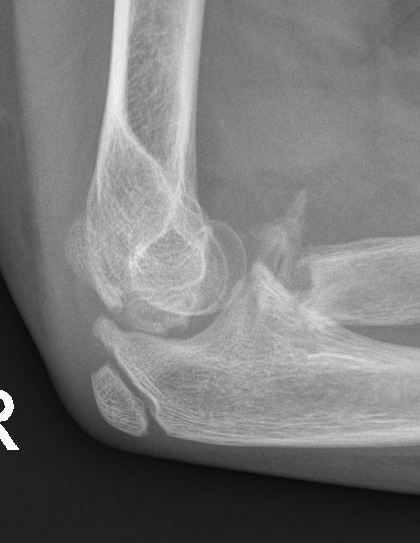
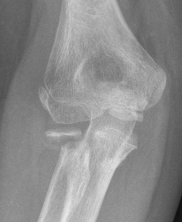
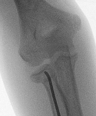
Displaced and angulated radial neck fracture



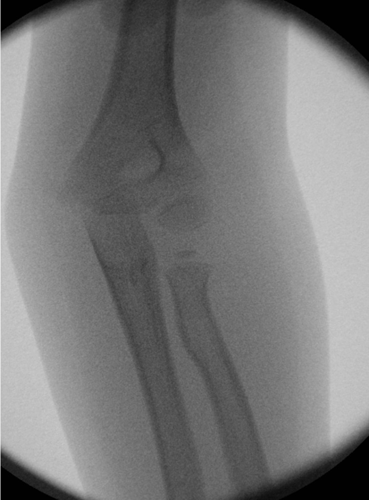
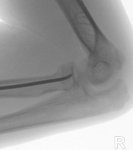
Displaced and angulated radial neck fracture


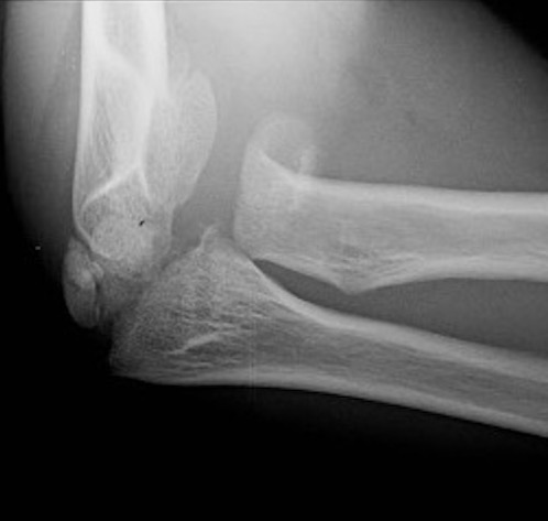
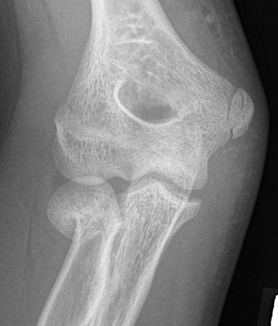
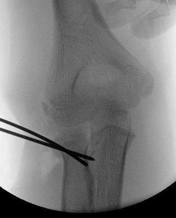
Radial neck fracture and olecranon fracture
Judet classification
Nonoperative management
Indications
< 30o angulation acceptable / will remodel
< 50% displacement
Operative management
Options
Closed reduction
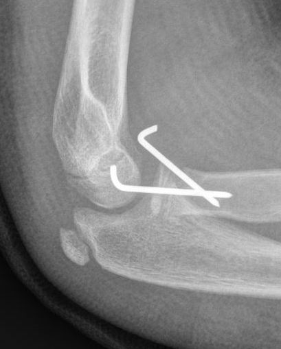
Percutaneous K wire
Retrograde flexible nail
Open reduction - risks AVN
Results
Langenberg et al Children 2022
- systematic review of pediatric radial neck fractures
- angulation > 30 degrees: better ROM with K wire than intramedullary fixation
Tian et al J Child Orthop 2024
- 37 K wires versus 25 flexible nail
- no difference in outcome
- faster time to union in K wire
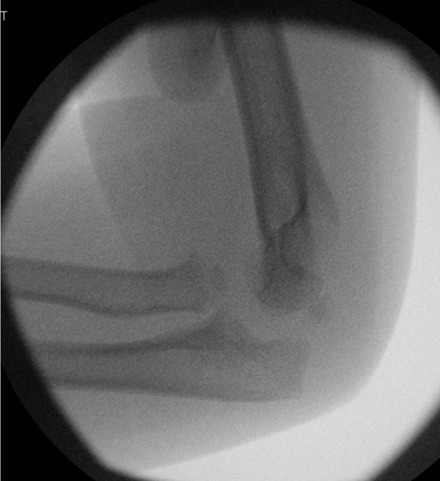
Closed reduction



JBJS essential surgical techniques closed reduction PDF
Youtube closed reduction technique video
Technique
Conscious sedation
- arm in extension and valgus
- rotate arm to maximum displacement
- use thumb to reduce
- hold in pronation to keep fracture reduced
Results
Langenberg et al Children 2022
- systematic review of pediatric radial neck fractures
- closed reduction effective with angulation < 30 degrees
Percutaneous K wire
Technique
Youtube percutaneous K wire technique video
Pronate arm to protect PIN
- insert into fracture site
- lever fracture into reduced position
- then drive into opposite cortex
Retrograde flexible nail



Surgical technique retrograde nail PDF
JSES essential surgical technique retrograde nail
Technique
Entry point through radial styloid
- closed reduction +/- percutaneous K wire reduction
- engage tip into radial neck
- Metaizeau technique - rotate nail to reduce radial fracture
Radial neck + olecranon fracture


Chen et al Acta Orthop Traumatol Turc 2023
- 31 cases displaced radial neck + olecranon
- treated with open Boyd approach / flexible nail radial neck / K wire olecranon
- 4/31 poor results
Complications
Malunion
Surgical technique radial neck osteotomy for paediatric malunionn PDF
AVN
Associated with open reduction and disruption of blood supply