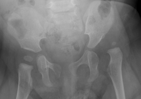
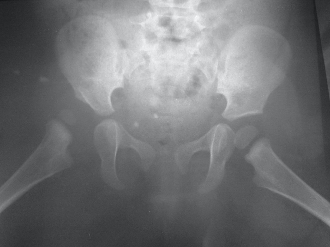
Two groups of dislocated hips
1. Late presenters
2. Failures of splint in those < age 6/12
Options
1. Adductor tenotomy + closed reduction
- most surgeons will attempt this initially
- risk of AVN wilth forceful reduction / excessive abduction
2. Open Reduction
- for failure of closed reduction
Timing
When safe for anaesthetic
- generally 6 - 12 months of age
Adductor Tenotomy / Closed Reduction
Timing
> 6 months
Issue
If irreducible or unstable / outside of safe zone need to proceed to open reduction
Technique
GA
Percutaneous adductor tenotomy
- assess range of maximum abduction
Closed reduction
- hip abducted / flexed
Ramsey's Safe Zone
- position between re-dislocation & maximum abduction
- has to be at least 20°
- i.e. if have to position hip within 20o of maximum abduction to obtain reduction
- high risk of AVN
MUA / Arthrogram
- confirm reduction
- inject contrast
- nil medial pooling in abduction
- head reduced
Apply hip spica
Post operative
Hip Spica for 3/12
- change at 6/ 52 as child grows
- keep in safe zone / Abduction < 60o / Flexion 90o
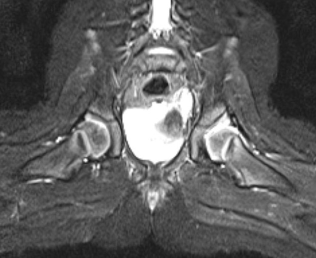
Confirm reduction CT / MRI
- assess medial joint space
- < 5 mm = Good outcome
- > 7 mm = Poor outcome
Open Reduction
Concept
Rely on reduction of the head stimulating the acetabulum
Indications
1. Unstable hip
- have to abduct > safe zone to maintain reduction
2. Irreducible hip
3. Unacceptable widening of medial joint space
5 Blocks to reduction
1. Capsule with hourglass constriction from psoas
2. Labrum
3. Thickened ligamentum teres
4. Inverted inferior transverse ligament
5. Pulvinar / thickened fat
Surgical Options
Medial Approach
Anterior Approach
Issues
> 1 year old
- consider adding osteotomy
- pelvic or femoral
Medial / Ludloff Approach
Advantage
- direct and simple access to blocks to reduction
- adductors / iliopsoas / inferior capsule / inferior transverse ligament
Disadvantage
- risk of AVN / injury to medial circumflex femoral
- can't perform capsulorraphy
- not suitable > 1 year as cannot combine with pelvic osteotomy
Approach
- superficial interval between longus and gracilis
- deep interval between brevis and magnus
- anterior and posterior branches obturator nerve on brevis
- divide psoas (MCFA is medial to tendon)
- take circumflex vessels off capsule
Smith Petersen approach + / - FDRO
Advantage
- can perform capsulorraphy
- reduced risk AVN
- can perform pelvic ostetomy (Salter / Dega)
Disadvantage
- more difficult to access blocks to reduction
Approach
- vertical incision not very cosmetic
- use horizontal / bikini incision to reduce hip
- between sartorius and TFL to access blocks to reduction
- split apophysis if performing pelvic osteotomy
- separate lateral approach if adding FDRO