


Definition
Rare
Total loss of contact between the distal radius and the carpus
Dorsal > Volar
Dumontier classification
Type 1: Purely ligamentous (20%)
Volar - radioscaphocapitate ligament, long radiolunate ligament + volar capsule
Dorsal - dorsal radiocarpal ligament + dorsal capsule
DRUJ
Intra-carpal - scapholunate ligament tears, perilunate and other intra-carpal ligament injury
Type 2: Associated fractures (80%)
Radial styloid
Dorsal rim fractures of distal radius (dorsal dislocation)
Volar rim fractures (volar dislocation)
Dorsal + volar rim of distal radius
Ulna styloid fractures with DRUJ instability
Scaphoid / lunate fracturess
Associated midcarpal injury (10%)
- scapholunate / perilunate / lunotriquetral / TFCC
DRUJ instability (10%)
Injury patterns
Bargemon et al Orthop Traumatol Surg Res 2023
- literature review of 62 studies and 220 patients
- 83% dorsal dislocation, 17% volar
- 16% purely ligamentous, 84% associated fractures
- 24% intra-carpal ligament injuries (perilunate 8%, DRUJ injury 10%, TFCC, scaphoid fractures)
Biondi et al J Hand Surg Eur 2020
- 63 dorsal radiocarpal fracture dislocations
- 4 main patterns of fractures
- dorsal wall impaction and radial styloid avulsion
- + intra-articular die punch
- volar and dorsal marginal fragments
- larger volar and dorsal fragments.
Clinical
Beware compartment syndrome
Median nerve injury
- 14 radiocarpal fracture dislocations
- 3 patients with forearm compartment syndrome
- 2 patients with acute carpal tunnel syndrome
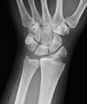
Xray


Dorsal radiocarpal dislocation with dorsal rim fracture


Dorsal radiocarpal dislocation with radial styloid fracture
CT






Radial styloid + dorsal rim fractures
Management
Reduction under conscious sedation



Ligamentous radiocarpal dislocations
Instability
- 7 cases of purely ligamentous
- highly unstable
Injury patterns
Volar - radioscaphocapitate ligament, long radiolunate ligament + volar capsule (typically off radius)
Dorsal - dorsal radiocarpal ligament + dorsal capsule (typically off radius)
DRUJ - ulna styloid / TFCC
Intra-carpal - scapholunate ligament, perilunate injury, scaphoid fractures, lunate fractures



Displaced ulna styloid with asymmetric radio-scaphoid joint



MRI demonstrating significant radiocarpal ligament disruption with radiocarpal instability under stress test
Options
Volar + dorsal ligament repair
Temporary stabilization - Bridging plate / external fixator
+/- manage DRUJ
Results
- 13 patients with RC dislocation treated with spanning plate
- 2 year follow up
- 1 patient ulna translocation of carpus
- 85% developed posttraumatic OA at 2 years
Technique
Vumedi open volar capsule repair + bridge plate video
Volar approach
- carpal tunnel and FCR approach
- release transverse carpal ligament and volar forearm fascia
- retract median nerve ulna / flexor tendons radially
- anchor repair of the volar capsule to the distal capsule
Bridge plate
- distal to index / middle metacarpal
- slide under 2nd extensor compartment (ECRL / ECRB)
- proximal to radius between brachioradialis and ECRL / ECRB
- leave for 10 - 12 weeks
Fracture dislocations
Options
Fragment specific fixation of fractures
External fixation
Bridging plates
+/- ligament repair
Results
- 22 radiocarpal fracture dislocations
- fracture fixation with no ligament repair
- ulna translocation in 4/22 (18%) patients
- postraumatic OA in 60% at 3 years
- 14 radiocarpal fracture dislocations
- treated with volar ligament repair with suture anchors and radial styloid fixation
- no recurrent subluxation
Technique
Vumedi bridge plate + radial styloid fixation + volar capsule repair video
Bridge plate
- distal to index / middle metacarpal
- slide under 2nd extensor compartment (ECRL / ECRB)
- proximal to radius between brachioradialis and ECRL / ECRB
- leave for 10 - 12 weeks
Volar capsule repair
- FCR / carpal tunnel incision
- anchor repair of capsule to distal radius
Radial styloid
- percutaneus screws +/- radial styloid plate







