Definition
Rare cartilage tumour in epiphysis / apophysis
Benign but locally aggressive
Epidemiology
1% of bone tumours
Most patients < 20 years
Location
Epiphysis of long bones
Ebeid et al J Paediatr Orthop 2019
- 91 cases
- 26% proximal tibia
- 22% distal femur
- 19% proximal humerus
- 17% proximal femur
Apophysis of talus / calcaneus
Patella / scapula / posterior elements vertebrae
Natural history
Usually benign
Rare reports of locally aggressive lesions / metastasis
Clinical
Present with pain
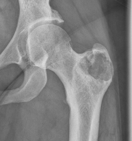
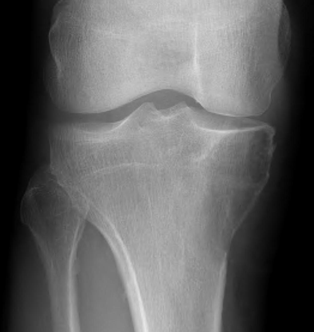
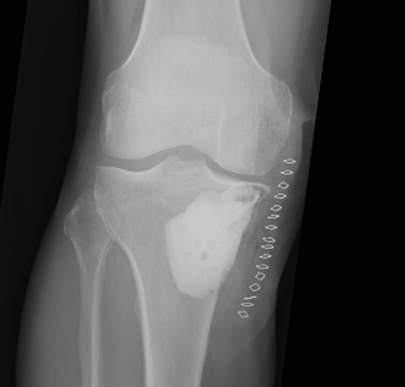
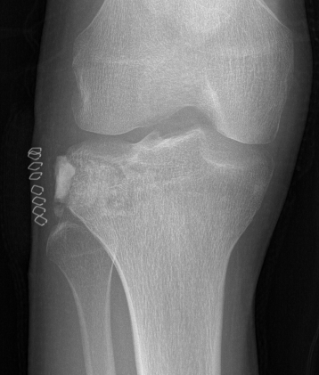
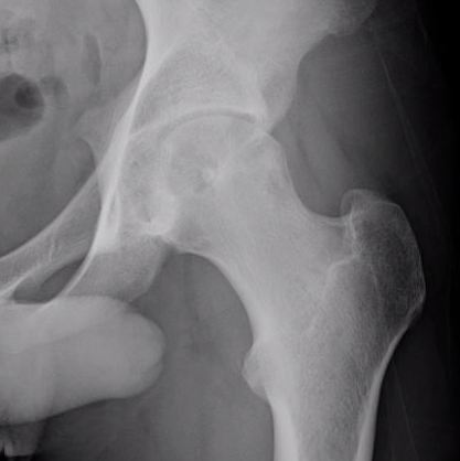
X-ray
Well defined eccentrically located epiphyseal lesion
- thin sclerotic reactive rim
- may have calcification


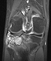
MRI
Rarely diagnostic
- high signal intensity on T2





CT
Evaluate articular surface integrity / compromise
Identify chondroid matrix


Differential diagnosis
Epiphyseal lesion in adults
- chondroblastoma
- GCT
- ABC / UBC
- clear cell chondrosarcoma
- infection / Brodie abscess
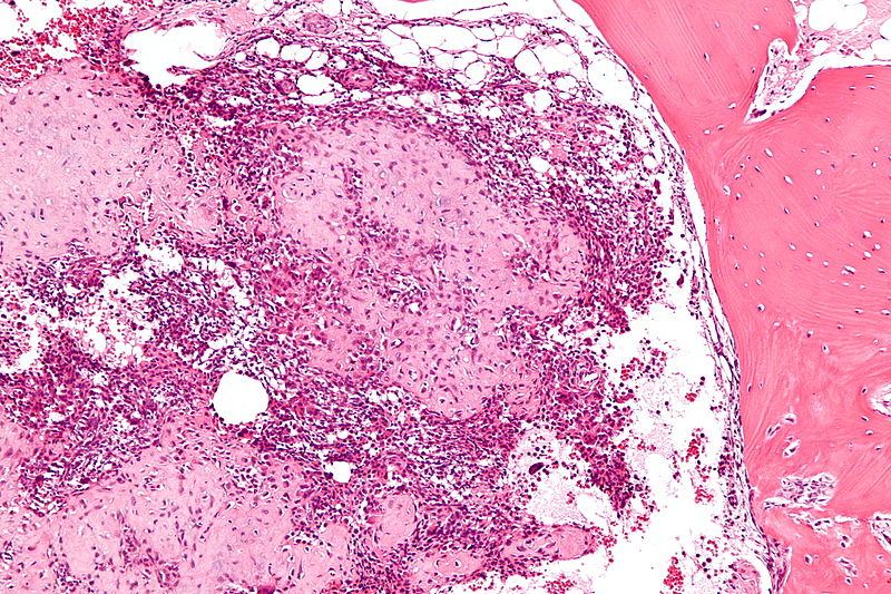
Histology

Sheets of chondroblasts
- chondroid matrix
- dystrophic calcification
Can be secondary ABC
Management
Options
1. Intra-lesional excision and bone graft
2. Radiofrequency ablation
3. Wide excision
Intra - Lesional Curettage + Bone Graft


Cementing Bone graft and cement
Technique
- cortical window
- care with growth plate
- meticulous debridement with burr
- fill defect with bone graft / cement
- stabilize if necessary



Results curettage + bone graft
- 199 patients with chondroblastoma
- curettage and bone graft
- recurrence rate 5%
Ebeid et al J Paediatr Orthop 2019
- 91 cases treated with curettage / bone graft / cement
- recurrence rate 3% (3/91)
Results curettage + bone substitute
Outani et al World J Surg Oncol 2020
- 40 cases chondroblastoma
- curettage and bone substitute
- recurrent rate 10% (8/40)
Femoral head osteoblastoma
- 14 cases
- open dislocation and modified trapdoor approach
- no local recurrence
- one case AVN requiring joint replacement
Radiofrequency ablation
Indication
- small
- joint surface not at risk
Results
- 25 cases treated with RF ablation
- 88% of patients became asymptomatic
Kulkarni et al J Vasc Interv Radiol 2021
- 27 cases treated with RF ablation
- 93% complete pain relief at 6 weeks
- 2 cases developed osteonecrosis and joint space collapse
Wide Resection / Allograft / Prosthesis
Indication
- articular surface compromised
- joint collapse
- recurrence after previous surgery