Epidemiology
Rare benign bone tumour
Usually present childhood / adolescence
Males 4 x more common
Location
Spine posterior elements 30%
Long bones 35%
Clinical
Back or limb pain
- pain less severe than osteoid osteoma
- minimal night pain
- not dramatically relieved by aspirin / NSAIDS
Limp
Scoliosis
Natural history
Can be locally aggressive
Mesfin et al World Neurosurg 2020
- 2 cases of recurrence of osteoblastoma after treatment
- transformation to osteosarcoma
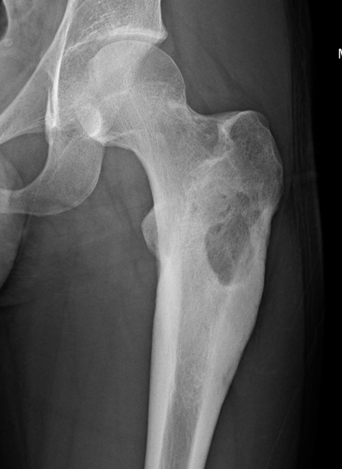
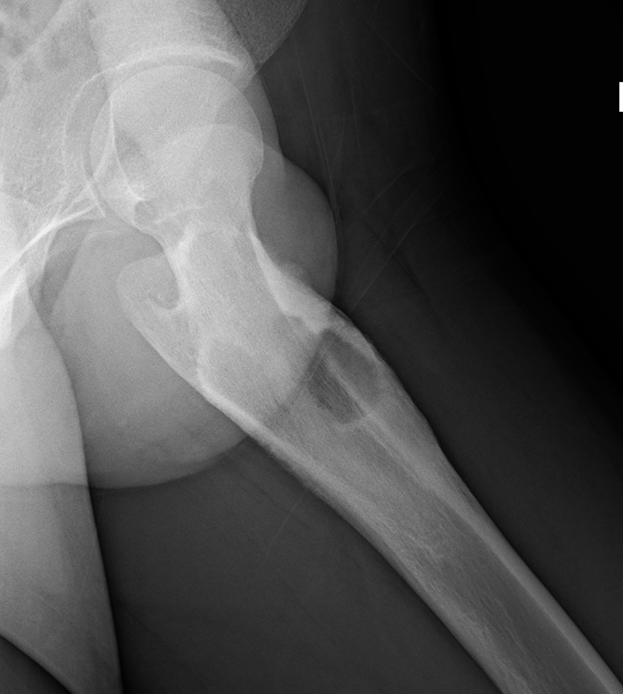
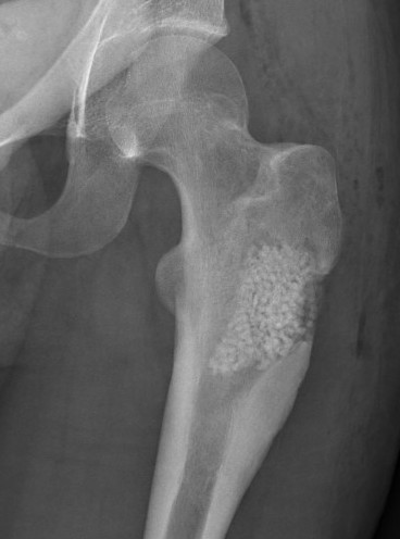
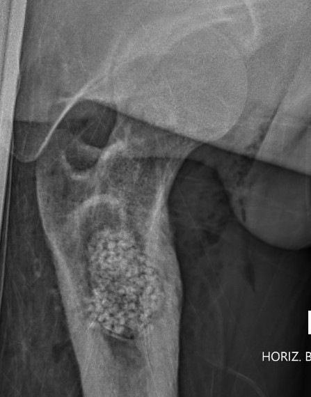
X-ray
Long bone
- more common meta-diaphyseal
- large faintly radiolucent lesion
- thin reactive rim
- may be expansile


Spine
- difficult to see
- irregular cortex
- sclerotic or loss of pedicle
- enlargement of spinous process
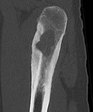
CT
Lucent lesion with nidus or calcification



Spinal lesion
- bone expansion
- intralesional stippled ossification


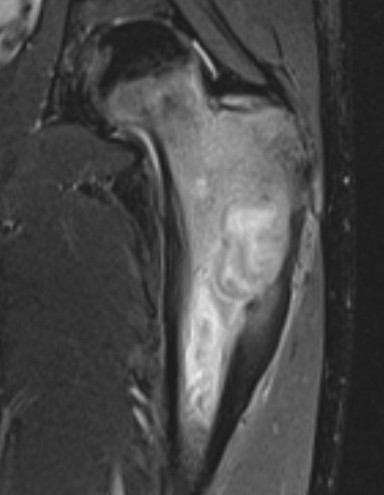
MRI



Pathology
Differential diagnosis osteoid osteoma
Gross
- > 1.5 cm nidus
- less sclerotic border
Histology
Management
Options
Radiofrequency ablation
Surgery
- intralesional excision
- wide excision
+/- radiotherapy
Radiofrequency ablation
- clinical success rate 90 - 95%
Surgery




Spine
Radiofrequency ablation
Arrigoni et al Int J Hyperthermia 2018
- 11 patients with spinal OB treated with RF ablation
- complete pain relief in all patients
- no additional treatment required
Surgical treatment
Boriani et al Eur Spine J 2012
- 51 patients with osteoblastoma spine
- 10 Enneking stage 2 treated with intralesional excision - no recurrences
- 27 Enneking stage 3 treated with intralesional excision - 18% recurrence (none with radiation)
- 13 Enneking stage 3 treated with en bloc resection - 15% recurrence
Recurrence
Versteeg et al J Neurosurg Spine 2017
- 73 patients treated for osteoblastoma spine
- 18% recurrence
- recurrence associated with mortality