

Definition
Rare benign chondrogenic tumour
Epidemiology
Young adults 10-30
Location
Metaphysis of long bones
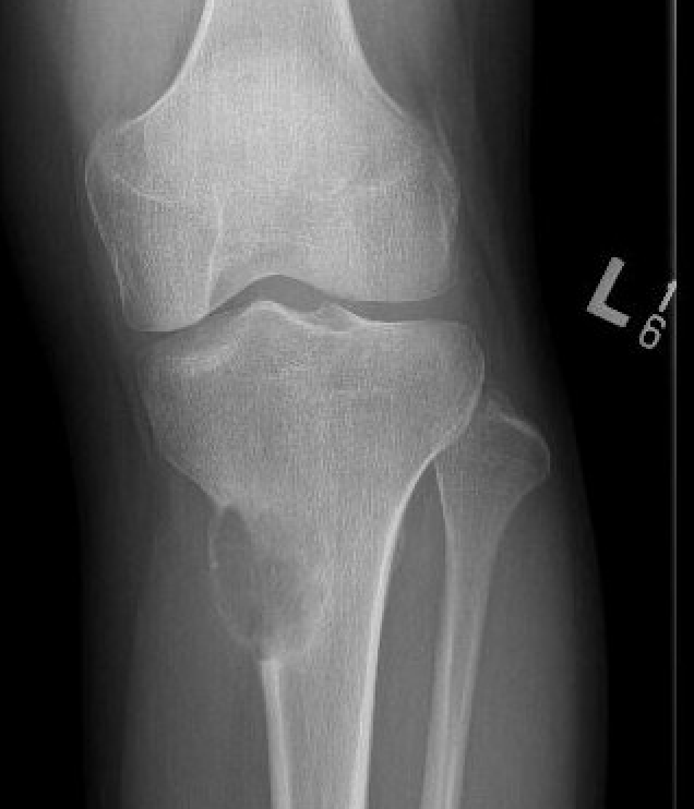
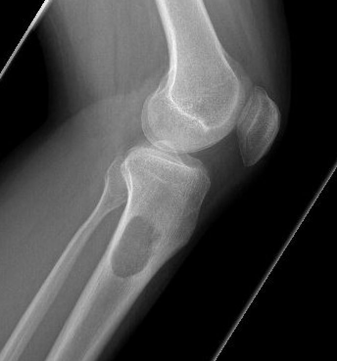
- proximal tibia
- distal femur
Clinical
Pain
Swelling
X-ray
Eccentrically located lucency in the metaphysis
- well-defined sclerotic margin
- local expansion but cortex intact
DDx
ABC
Non ossifying fibroma
Fibrous Dysplasia
Histology
Benign elements - hyaline cartilage / myxoid tissue / fibrous tissue
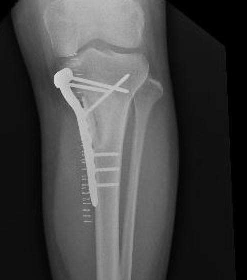
Management
Intra-lesional curettage & bone grafting / cement
Recurrence common (25%)
Treat recurrence with wide resection

