

Osteofibrous dysplasia or Adamantinoma? Require adequate biopsy
Osteofibrous dysplasia
Definition
Rare, benign, self-limited fibro-osseous lesion
Anterior cortex of tibial diaphysis +/- fibula
Young child - first two decades of life
Clinical
Swelling
Pain
Anterior bow
Pathological fracture
Incidental finding
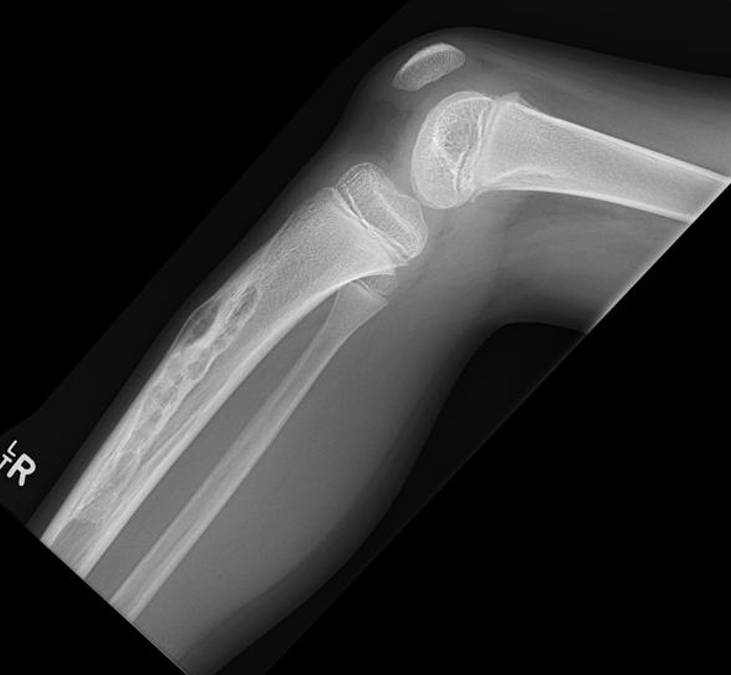
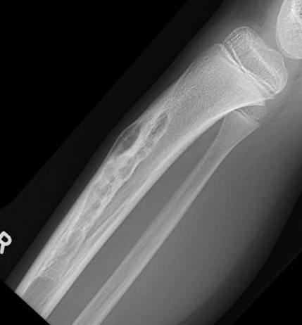
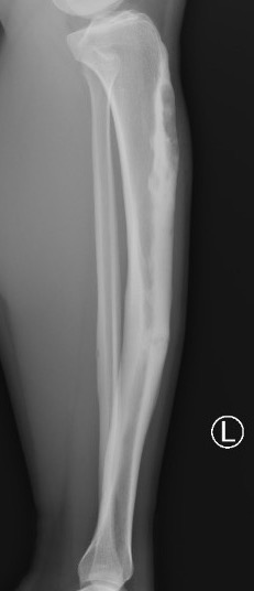
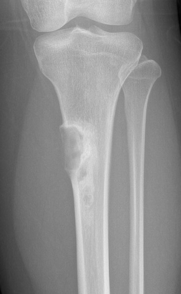
X-ray
Multiple small radiolucent lesions surrounded by sclerosis
Thickened cortex
Doesn't progress on xray


DDx
#Adamantinoma#
FOGMACHINES / Lucent lesion
- Fibrous dyplasia
- Osteofibrous dysplasia / Ossifying fibroma / Osteosarcoma
- Giant cell tumour
- ABC
- Chondrosarcoma
- Infection / osteomyelitis
- Simple bone cyst
Diaphyseal lesion / HALFEE
- Histiocytoma
- Adamantinoma
- Lymphoma
- Fibrous Dysplasia / OsteoFibrous Dyplasia
- Eosinophilic granuloma
- Ewings
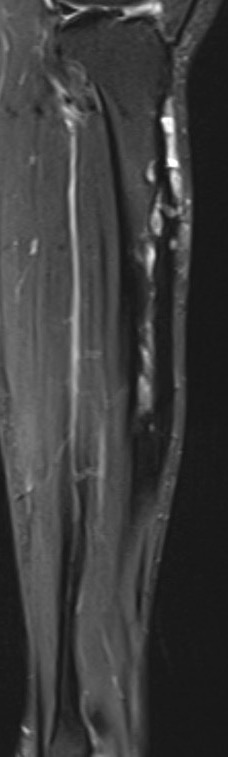
MRI






Biopsy
Exclude adamantinoma
Sampling errors
- need adequate tissue to differentiate between osteo-fibrous dypslasia and adamantinoma
- typically open and extensive biopsy
Natural history
Progression of the lesion halts with skeletal maturity
Management
Observation
Sweet et al Am J Surg Pathol 1992
- 30 cases of osteofibrous dysplasia
- none progressed to adamantinoma
Dala-Ali et al Bone Joint J 2022
- 101 cases of tibial osteofibrous dysplasia in 99 patients
- presented with pain / swelling / fracture
- 40% had radiological deformity (>10 degrees bowing)
- no malignant transformation
Surgery
Indications
- progressive deformity
- fracture



Options
- currettage
- wide excision
Results
Lu et al Orthop Traumatol Surg Res 2023
- osteofibrous dysplasia of the tibia
- 4/6 treated with currettage and allograft had local recurrence
- 1/9 treated with currettage / allograft / elastic nails had local recurrence
- 0/5 treated with wide resection and bone transport had local recurrence
- longer healing rates and increased complications with bone transport
Adamantinoma


Biopsy proven adamantinoma
Definition
Rare low-grade malignant tumour
Clusters of epithelial cells surrounded by bland spindle cell osteofibrous component
Epidemiology
Usually second or third decade of life
Site
90% diaphysis of tibia
Mandible
Symptoms
Swelling
Pain
Pathological fracture
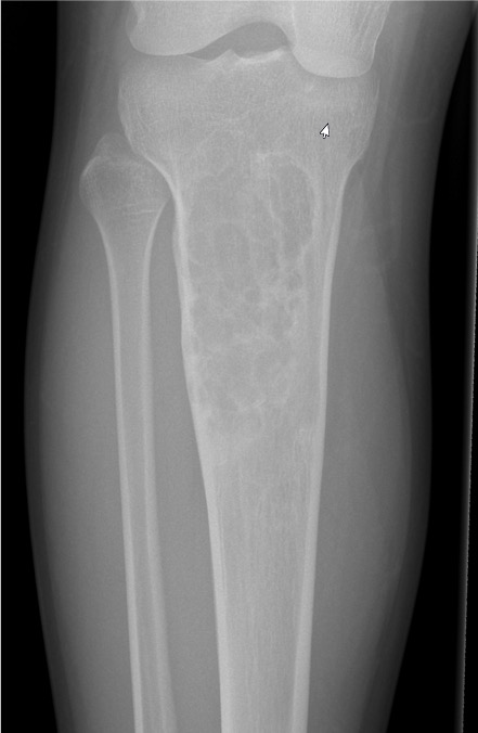
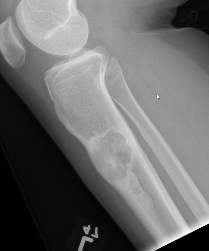
X-ray
Most common anterior cortex of tibia
Soap-bubble appearance
Eccentrically located
- well circumscribed
- slightly expansile
- cortical thickening
- little or no periosteal reaction
MRI
Khanna et al Skeletal Radiol 2008
- 24 cases of OFD / adamantinoma
- adamantinomas tend to be larger / cortical destruction / complete marrow involvement
DDx
#Osteofibrous Dysplasia#
FOGMACHINES / Lucent lesion
- Fibrous dyplasia
- Osteofibrous dysplasia / Ossifying fibroma / Osteosarcoma
- Giant cell tumour
- ABC
- Chondrosarcoma
- Infection / osteomyelitis
- Simple bone cyst
Diaphyseal lesion / HALFEE
- Histiocytoma
- Adamantinoma
- Lymphoma
- Fibrous Dysplasia / OsteoFibrous Dyplasia
- Eosinophilic granuloma
- Ewings
Pathology
Two distinctly different components / biphasic
1. Epithelial origin
- composed of squamous cells and epithelial pearls
2. Mesenchymal origin
- composed of immature mesenchymal cells and spicules of dysplastic bone
Natural History
- 190 cases of adamantinoma
- 16% pathological fracture
- local recurrence after wide resection 24%
- metastatic disease in 18%
Management
Wide excision
Chemo and radiotherapy ineffective
Wide resection
- address bone loss
- vascularised fibular graft / allograft / bone transport / prosthesis
Prognosis
- multicentred retrospective review of 70 cases
- average age 31, more common in males
- wide operative margins associated with lower recurrence rates
- 87% 10 year survival
- 92 cases of adamantinoma
- 5 year survival 99%
- 10 year survival 92%