Definition
Simple Bone Cyst
- solitary cavity containing clear fluid
- originating in the metaphysis of growing children
- adjacent to the metaphyseal aspect of the growth plate.
Etiology
? blockage in venous drainage
Epidemiology
Peak age 9 (3-14)
Male:female 2:1
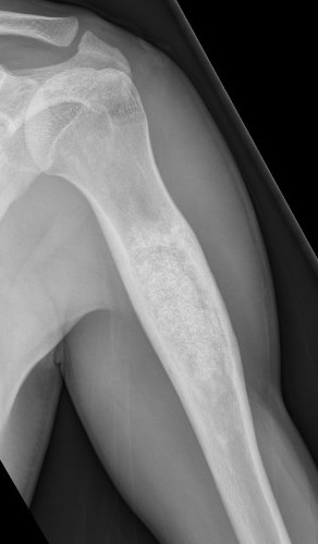
Location
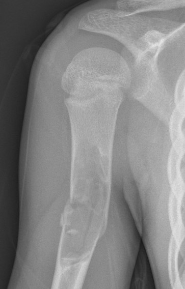
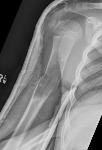
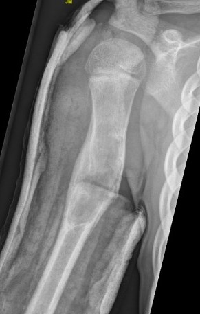
90% humerus and femur
Proximal metaphysis where growth is greatest
Can occur in calcaneum
Types


Active - adjacent to growth plate / physis
Latent - separated from physis by normal bone
Clinical
Asymptomatic
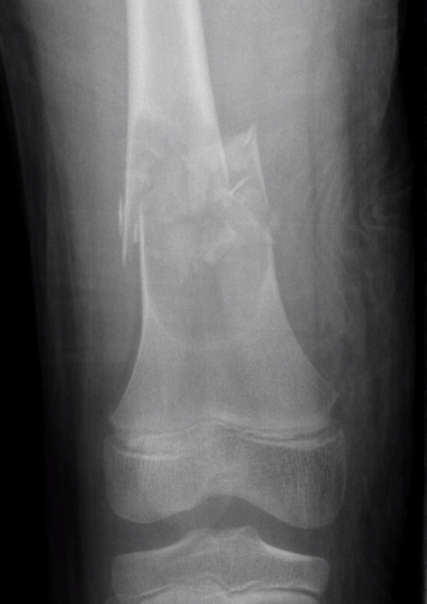
Pain caused by pathological fracture
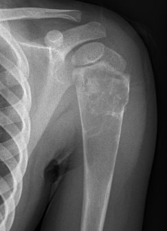
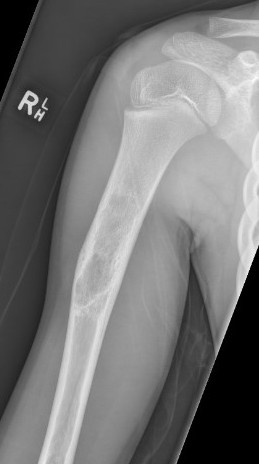
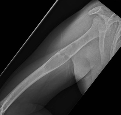
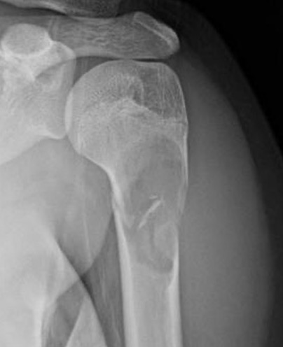
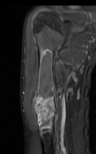
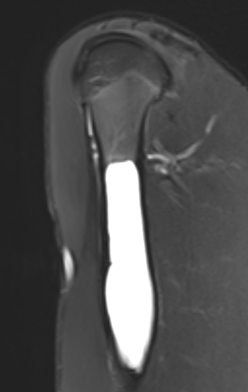
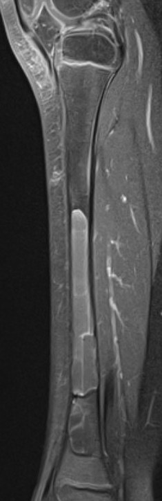
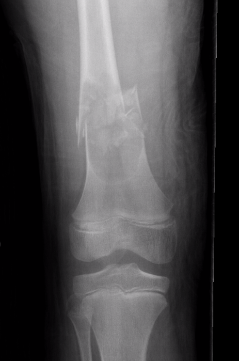
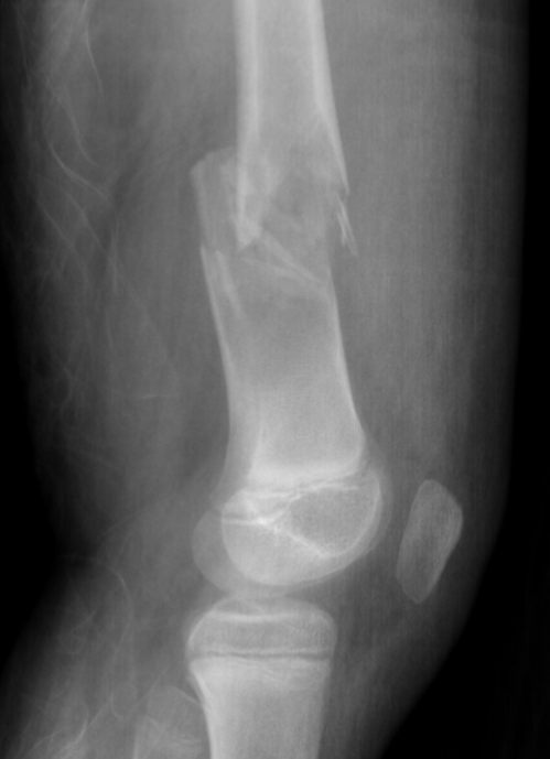
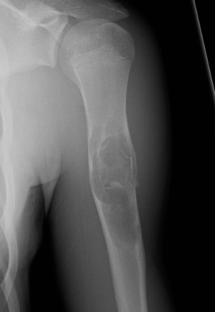
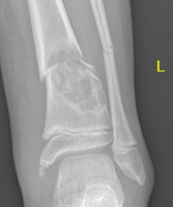
X-ray


Well-defined lucency
- thin sclerotic rim
- usually central
- thinned cortex with slight expansion
- thin internal septa
- can be multi-loculated
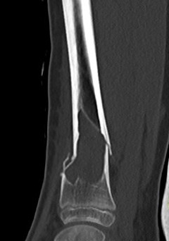
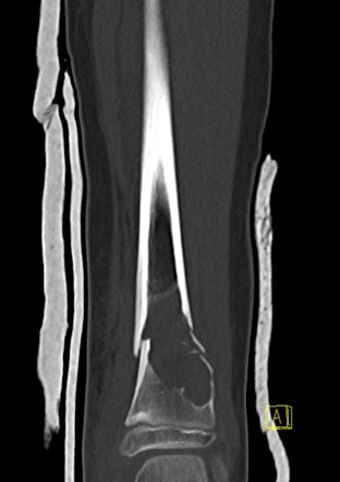
Fallen-Leaf (AKA fallen-fragment)
- with pathological fracture
- indicates that the lesion has no matrix and is fluid filled

Fallen leaf sign
DDx ABC
ABC
- eccentric (v central)
- width > physis
- can be very difficult to tell
- requires biopsy
MRI





Gruenewald et al Br J Radiol 2023
- 36 patients with UBC or ABC
- fluid fluid levels / septation seen in both
- arterial feeders on MRA helped differentiate some ABC's
CT



Pathology
https://www.pathologyoutlines.com/topic/bonesolitarybonecyst.html
Fluids
- contain high levels of prostaglandins
- contain high levels of alkaline phosphatase
Gross
Cyst
- large intramedullary cavity
- lined with membrane
- contains clear fluid compared with ABC
- can have septations
Histology
Thin fibrous layer of connective tissue
- cells resembles synovial cells
- few multinucleated giant cells
Natural History
Urakawa et al BMC Musculoskeletal Dis 2014
- 60 patients with pathological fractures of UBC
- 30% healing rate following fracture and nonoperative care
- 56 patients with fracture of humerus UBC
- overall healing rate 66%
- diaphyseal / latent lesions and older patients more likely to heal
Management
Fracture
1. Humerus
Typically treat nonoperatively
Obtain union
Consider further intervention when fracture heals and UBC persists



2. Femur
Want to prevent fracture and avoid morbidity / deformity



Options
Observe
Percutaneous treatment
- cortisone
- bone marrow aspirate / demineralized bone graft
Curettage and bone graft
ORIF
Results
Kadhim et al J Child Orthop 2014
- systematic review of 62 articles and 3200 UBC
- healing rates
- nonoperative treatment 64%
- methylprednisone injection 77%
- bone marrow injection 78%
- bone marrow with demineralized bone matrix injection 99%
- surgical curettage with bone graft 90%
- flexible IM nails without curettage 99%
- decompression with cannulated screws 89%
Aspiration and injection cortisone
Technique
Inject methylprednisolone
- steroid blocks PGE
Results
Pavone et al Eur J Orthop Surg Traumatol 2014
- 23 UBC treated with serial injections of methyprednisolone
- good results in 19/23
- refracture in 4/23
- minor skin discoloration in 3 patients
Bone marrow aspirate +/- demineralized bone matrix
Technique
GA / Aspirate from bone marrow
- inject into cyst under image intensifier
Results
- RCT of bone marrow aspirate v methylpred in 77 patients followed for 2 years
- 42% in the methylpred group healed
- 23% in the bone marrow group healed
D'Amato et al Acta Orthop Traumatol Turc 2020
- 24 patients treated with bone marrow concentrate and demineralized bone graft
- 29 had three injections of methylpred
- 83% healing with BMC / demineralized bone graft
- 59% healing with methylpred
Curettage + bone graft
Bone graft
- allograft
- bioceramics
Care with active lesions as don't want to injure growth plate




Bone graft with silicone bone substitute (BonAlive)


Results
- 21 proximal humeral cysts
- treated with curettage / allograft / bone marrow aspirate
- 75% union rate with one surgical procedure
- 95% with two surgical procedures
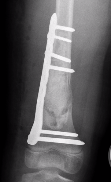
ORIF and bone graft
Indication
- fracture
- weight bearing bone




Surgical cyst drainage using implants
Concept
- venous hypertension cause of cyst
- if allow cyst to drain, will heal
Options
- cannulated screws in calcaneum
- flexible nails humerus
- intramedullary nail femur


Results
Erol et al J Paediatr Orthop B 2017
- humeral simple bone cysts
- 37 curettage and bone graft
- 16 had addition of flexible nails
- 76% healing curettage and bone graft
- 100% healing with flexible nails
ORIF + fibular strut allograft


Jamshidi et al Int Orthop 2018
- 14 cases humerus UBC
- treated with locking plate + fibular allograft
- complete healing in 10, partial healing in 4

