

Definition
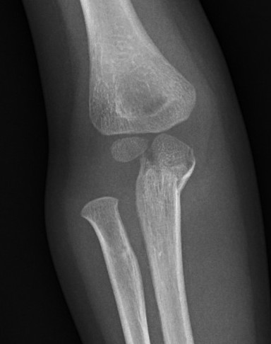
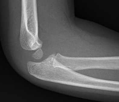
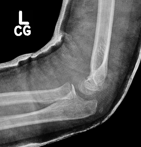
Fracture or plastic malformation of proximal ulna with dislocation of radial head
Radio-capitellar line disrupted on xray
Bado Classification
Type I 60% - radial head anterior


Associated with PIN palsy
Immobilize in flexion and supination
- pronation tends to sublux both DRUJ & PRUJ
Type II 15% - radial head posterior
Associated with ulna nerve palsy
Commonest in adults
Immobilize in extension and pronation
Type III 20% - radial head lateral


Immobilize in flexion and supination
Type IV 5% - anterior with radial shaft fracture
Acute Management
Manipulation under anaesthesia



Reduce ulna
- traction with pressure on radial head
Cast 4 - 6 weeks
- Bado I long arm cast in flexion and supination
- Bado II long arm cast in extension and pronation
- weekly xrays initially to ensure maintenance of reduction




Results
Foran et al J Paediatr Orthop 2017
- 94 patients mean age 5.5 years
- 83% managed successfully with cast
- 16/94 (17%) not able to be reduced closed
- 7/94 (9.6%) lost position in first three weeks
- increasing angle of ulna associated with need for surgery
- all managed with IM nail
Failed closed reduction
Stepwise algorithm
A. Ensure ulna fracture out to length / stabilise with K wire / IM nail / plate
B. Plastic deformity of ulna may need to perform osteotomy to reduce radial head
C. May require open approach to radial head with relocation
D. Radial head remains unstable - repair annular ligament or stabilise with strip of triceps fascia
Late presentation / Chronic Monteggia
Pathology
Ulna heals in angular position
- annular ligament may also block reduction
- radial head can become malformed over longer periods of dislocation
Langenberg et al Should Elbow 2020
- case series of 10 patients with chronic Monteggia
- open reduction radial head
- opening wedge osteotomy of the ulna
- annular ligament repair +/- reconstruction with strip of triceps fascia
- ROM improved 30 degrees
- recommend no surgery if radial HEAD is deformed on CT
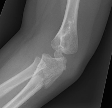
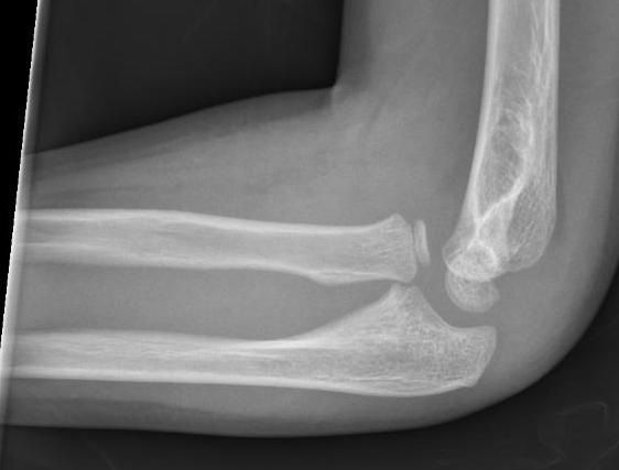
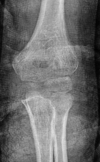
Case 1. Missed Monteggia, injury 6 months ago




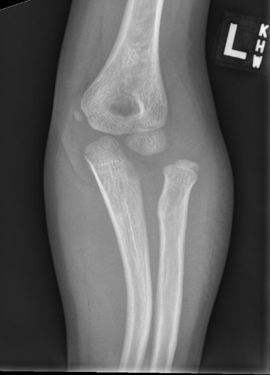
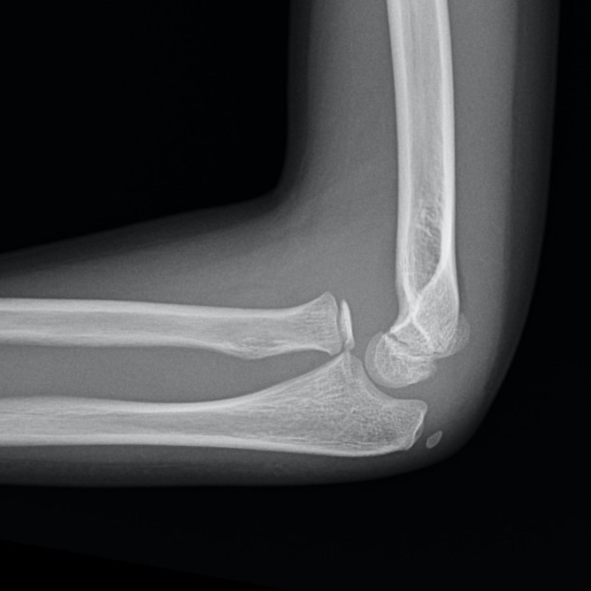
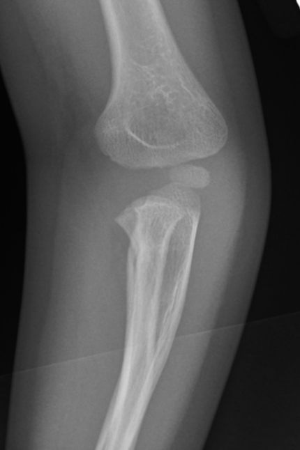
Case 2. Chronic Monteggia with deformed radial head



Complications
PIN palsy - original injury
HO - late operation
Radio-ulna synostosis - fractures at same level
Loss of ROM - usually from delayed treatment or chronic injuries