lateral
Approach
Options
Direct Lateral - transgluteal
Postero-lateral (AKA posterior) - release short external rotators
Direct Anterior
Results
Gait / outcomes
Meermans et al Bone Joint J 2017
- systematic review of 42 studies comparing Direct Anterior / Posterior / Lateral
Arthroscopic Screw in Situ
Medial femoral condyle
Technique
Arthroscope in lateral portal
Clear fat pad
Ensure can see entire dimensions of OCD

If fragment is displaced, reduce and pin with accessory K wire
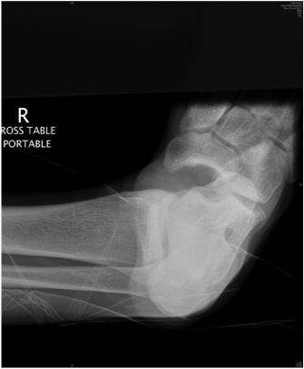
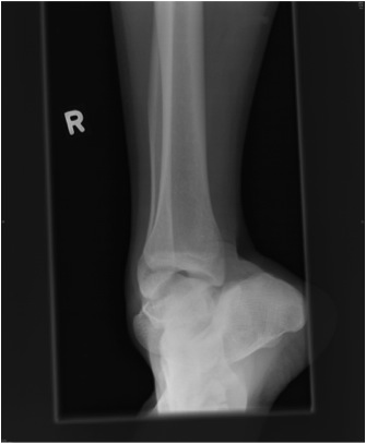
Subtalar Dislocation
Epidemiology
Rare
Types
Medial
- 80%
- calcaneum dislocated medially
Lateral
- 20%
- higher energy injury


Knee
Approaches
Medial Parapatellar
Medial
Lateral
Posterior
Modified Posterior
Medial Parapatellar Approach
Indications
Synovectomy
Patellectomy
TKR
Technique
Monteggia
Definition
Fracture / plastic malformation of proximal ulna with dislocation of radial head
Xray
Radio-capitellar line disrupted

