Age of appearance in girls CRITOE
| Center | Simple | Accurate |
| Capitellum | 1 | 1 |
| Radial head | 3 | 5 |
| Internal epicondyle | 5 | 7 |
| Trochlea | 7 |
10 |
| Olecranon | 9 | 10 |
| External epicondyle | 11 | 11 |
Boys on average 2 years later in every center except capitellum
Patel et al Paediatr Radiol 2009
- 412 xrays aged 2 - 17
- all centers both appear and fuse early in girls
- capitellum is the only exception
- order is consistent
- age is somewhat variable


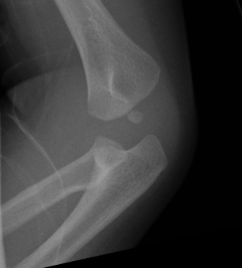
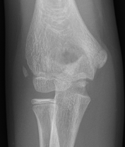
1 year old male: C 5 year old female: CR


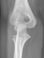
8 year old male: CRIT


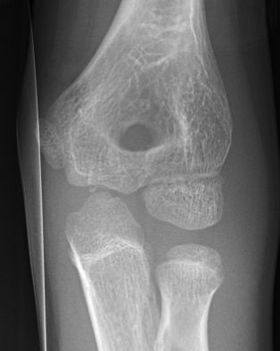
11 year old male: CRITOE
Closure
Capitellum / trochlea / lateral epicondyle
- fuse together age 14
- fuses to metaphysis age 15
Medial epicondyle fuses age 15 girls and 17 in boys