Incidence
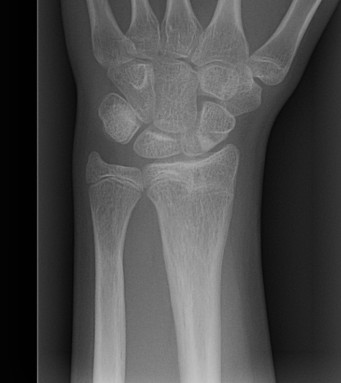
Metaphyseal > physeal / SH2
Aetiology
FOOSH
Operative Management
Indications
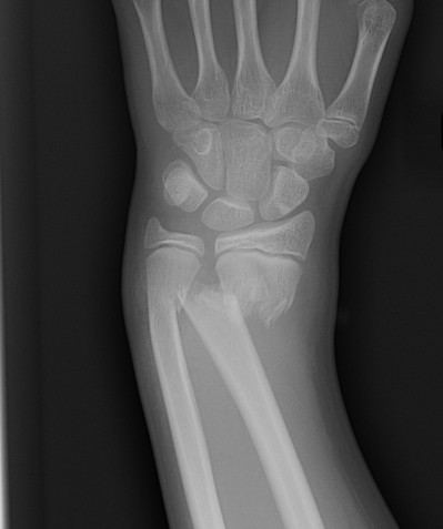
Visible deformity
> 20o angulation
Options
MUA
MUA + K wire stabilisation
Indications K wire
Remanipulation of metaphyseal fracture
Instability
Associated with supracondylar fracture
Technique
Avoid physis if able in metaphyseal fracture
- dorsal Kapaji technique
- can use this technique laterally
Mercer Rang Remodelling Rules
Best if
- young age (won't remodel much if > 11 years)
- short distance from fracture to physis
- direction of angulation in plane of motion of joint
Won't correct rotation
Rang distal radius remodelling
- < 5 - 25-35°
- 4 - 9 - 20-25
- 10-12 - < 15°
Rotational malalignment
- best way to determine proximally is radial tuberosity
- prominent towards the ulna with supination and disappears with pronation
- at same time radial styloid distal will be prominent with supination
Remanipulation
Never for physeal injuries
Up to 3/52 for metaphyseal injuries
Complications
Growth arrest
SHII DR
- around 1%
- need to warn parents to represent if child develops angular deformity
Do not MUA or repeat MUA after 1 week
- only reinjure growth plate
- will remodel extremely well
- if severe, simply plan for osteotomy later if required
Physeal injuries distal ulna
- high incidence of growth arrest
Metaphyseal Radius
- incidence growth arrest also 1%



