

Epidemiology
Incidence 2 - 4%
- more common in girls
- high incidence of positive family history
Pathology
Metatarsus primus varus / adductus
- TMT joint obliquity
- often primary deformity
Increased interphalangeal angle
Ligamentous laxity / joint hypermobility
Increased DMAA with congruent joint
Examination
Ligamentous laxity - Beighton's score
TMTJ hypermobility
Neurological examination
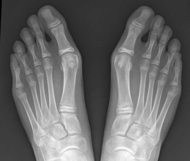
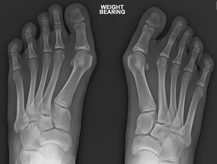
X-ray


Growth plates open
Congruent joint
Increased DMMA
Oblique first TMT joint with metatarsus adductus
Hallux valgus interphalangeus
Management
Nonoperative
Delay any surgery until
- adolescence
- physis closed (but not contra-indicated if open)
Well fitting shoes
Flexible flat foot may benefit from medial arch support
Operative management
Options
Growth modulation
Osteotomy
Lapidus TMT arthrodesis
Cuneiform ostetomy
Growth modulation
Artioli et al J Paediatr Orthop 2023
- systematic review growth modulation juvenile HV
- lateral hemi - epiphysiodesis
- good clinical results
- prevents progression rather than corrects
Osteotomy
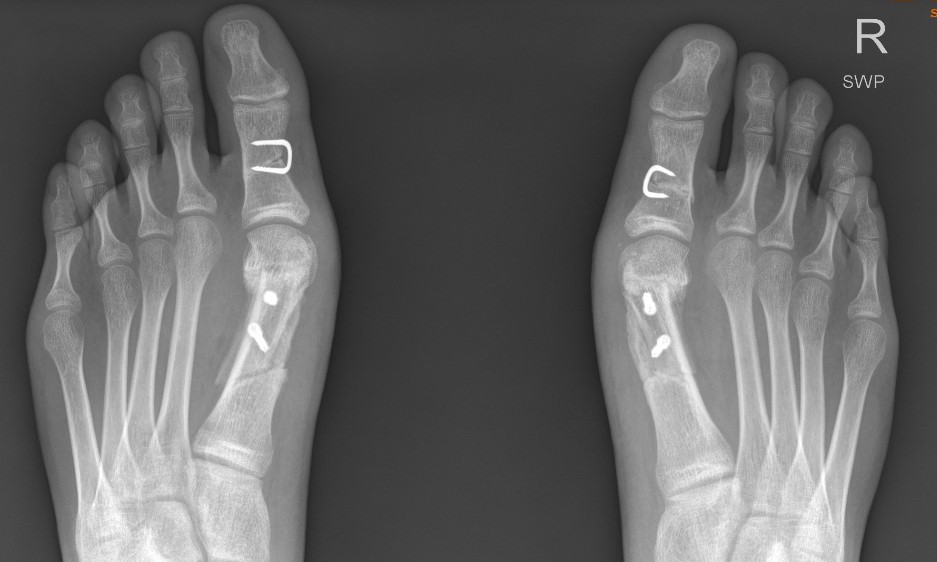
Akin / proximal phalangeal osteotomy - corrects interphalangeal angle
Chevron / Scarf osteotomy
Proximal metatarsal osteotomy
Double osteotomy - proximal and distal

Harb et al J Child Orthop 2015
- systematic review osteotomies for adolescent HV
- 90% good or excellent outcomes
Edmonds et al J Pediatr Orthop 2015
- 106 juvenile HV
- distal osteotomy v proximal osteotomy v double
- distal osteotomy most consistent with lowest overcorrection
- double osteotomy best radiographic correction but highest overcorrection
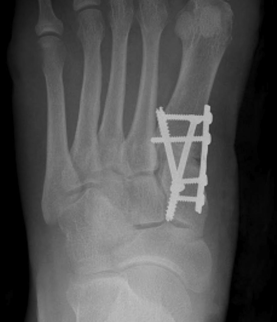
Lapidus procedure
Indications
- hypermobility of the TMT joint
- obliquity of the first TMT joint

1st Cuneiform Opening Wedge Osteotomy
Severe IM angle with open 1st metatarsal epiphysis
- marked M-C joint obliquity with high IM angle
- opening wedge (iliac crest graft)