Definition
Forced hyper-extension injury to 1st MTP joint
Injury to the plantar plate
Turf Toe - flexible shoes / playing on artificial turf
Anatomy

| Plantar plate | Attachments |
Tibial / fibula sesamoid phalangeal ligaments |
Inter-sesamoid ligament |
|---|---|---|---|
|
Thickening of plantar capsule Strongest stabilizer of the 1st MTPJ |
Distal to P1 Proximal to metatarsal Sesamoids embedded in plate proximally FHB attached to sesamoids |
Plantar plate thickened laterally At insertion to sesamoids |
Plantar plate thin centrally FHL runs here |
Etiology
NFL / soccer / gymnastics / basketball
- artificial turf
- reduced incidence due to developments in artificial turf (thicker / sand)
Symptoms
Swelling 1st MTPJ
Pain with agility / running
Examination
Point tender over plantar plate
Pain with dorsflexion of the 1st MTPJ
Vertical Lachman test
- stabilize metatarsal
- translate P1
- compare to other side
- typically there is no vertical translation
Anderson Grading
Grade 1: Mild sprain
- can weight bear
- normal ROM
Grade 2: Partial tear plantar plate
- difficulty weight bearing
- restricted ROM
Grade 3: Complete tear plantar plate / capsule
- significant bruising and swelling
- vertical instability of the 1st MTPJ
- +/-proximal migration sesamoids
Xray
Bilateral weight bearing xrays
Proximal migration of the sesamoids associated with Grade 3 complete tear

Grade 3 plantar plate injury without proximal migration sesamoids
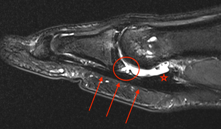
MRI
Sagittal images


Distal avulsion of plantar plate (circle). Star - plantar plate. Arrows - flexor tendon


Complete plantar plate avulsion
Management
Non operative
Indications
Grade 1 / Grade 2
| Grade 1 | Grade 2 |
|---|---|
|
Symptoms - minimal swelling / ecchymosis |
Symptoms - tender / swelling / ecchymosis |
|
Management - RTP 1 - 2 weeks - as symptoms resolve |
Management - RTP 4 - 6 weeks - taping toe / stiff soled shoes to prevent hyper-extension |
Results
Nery et al Foot Ankle Surg 2020
- 8 patients grade 2 treated nonoperatively: 20% did not return to sport
Grade 3 Turf Toe
Symptoms
Marked pain / swelling / ecchymosis / marked decrease ROM
+/- sesamoid retraction
Operative versus non operative management
Nery et al Foot Ankle Surg 2020
- 14 patients grade 3 treated with surgery: 29% did not return to sport
Lindsay et al Foot Ankle Orthop 2020
- 53 NFL players with high grade Turf Toe
- 28 non operative: 100% RTP but only 78% at previous level
- 25 operative: 80% RTP
- longer RTP with operative
Nonoperative
Walking boot / cast for 6 weeks
- tape - prevent extension
Taping toe / stiff soled shoes to prevent extension for 6 weeks
Operative management
Indications
Complete plantar plate tear
Vertical instability
Traumatic hallux valgus
Sesamoid retraction
Displaced sesamoid fracture
Chondral injury
Large capsular avulsion
Failed non operative management
Open technique
Medial incision +/- 1st webspace incision
Plantar plate tears
- distal
- repair if distal tissue
- otherwise drill holes through P1 / suture anchors
Proximal sleeve avulsions
- repair to sesamoid
Sesamoid fracture - ORIF
Arthroscopic technique
Results
Smith et al Foot Ankle Int 2018
- 15 grade 3 injuries, average age 19
- 11 patients had complete rupture of both tibial & fibular phalangeal sesamoid ligaments
- 4 had diastasis of bipartite sesamoid
- 8 MCL and 5 LCL ligaments
- primary ligament repair
- sesamoid injuries - excision and advancement of plantar plate
- abductor hallucis advancement for tibial sesamoid resection
- 11/14 RTP
- 3/14 did not RTP for reasons unrelated to toe
Chronic turf toe
Can develop osteochondral injuries / OA

