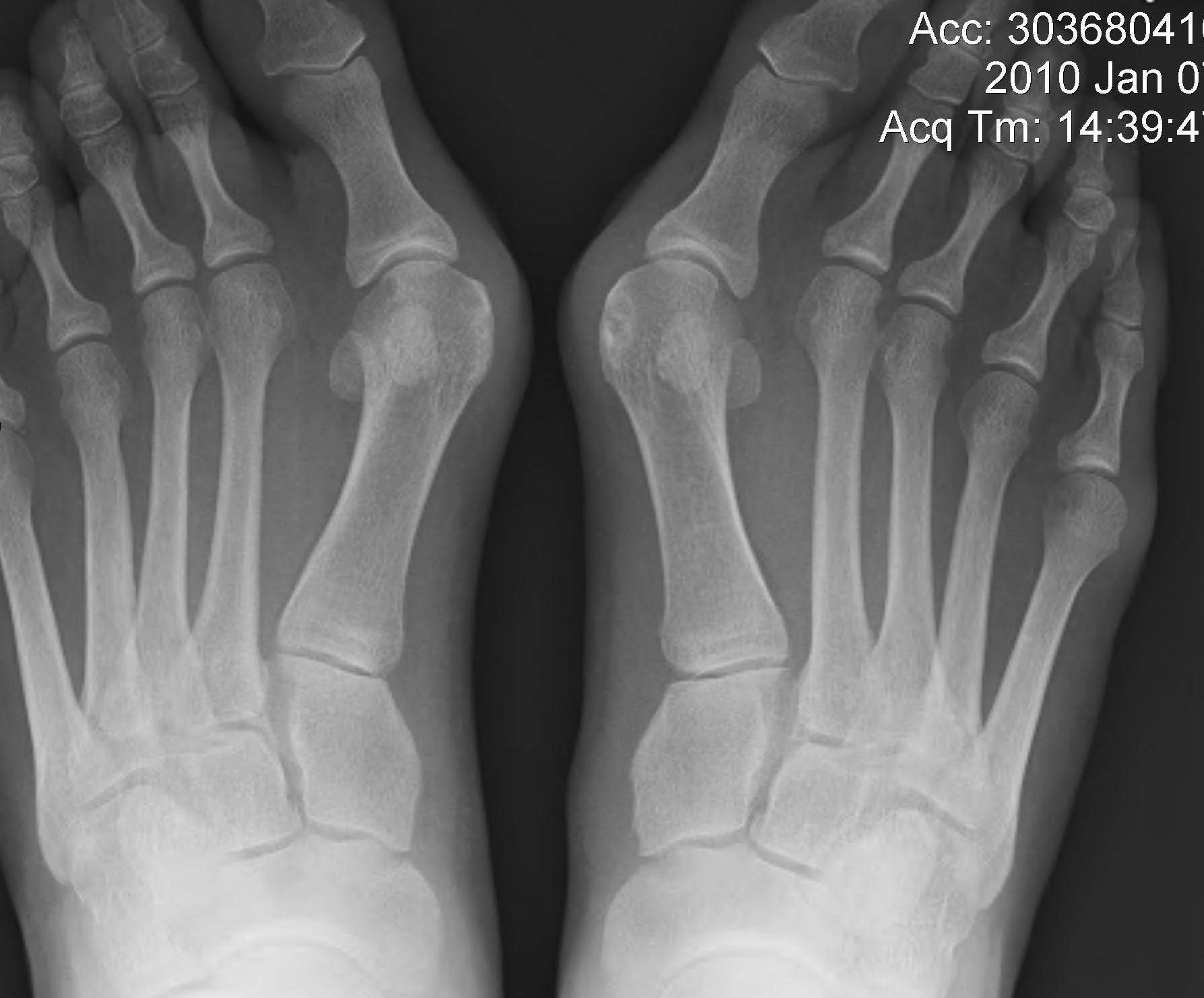
Juvenile Hallux Valgus
Epidemiology
More common in girls
High incidence of positive family history (75%)
Can be associated with mild CP
Pathology

Congruent joint
- 50% compared with 9% in adult HV
Metatarsus primus varus
More common in girls
High incidence of positive family history (75%)
Can be associated with mild CP

Congruent joint
- 50% compared with 9% in adult HV
Metatarsus primus varus