

Definition
Bunion - medial prominence of head of 1st MT
Hallux Valgus - medial deviation 1st metatarsal with lateral deviation of great toe
Epidemiology
Nix et al J Foot Ankle Res 2010
- systematic review of 500,000 patients
- age 18 - 65: 23%
- age > 65: 36%
- more common females
1. Adolescent form - usually bilateral
2. Adult form ~ 50's
- strongly familial
- more common in females
Anatomy
| Metatarsal head | Sesamoid | Plantar plate | Collateral ligaments |
|---|---|---|---|
|
2 grooves Separating ridge |
In each tendon of FHB
Attached to P1 - no attachment to MT head - abductor hallucis medial - adductor hallucis lateral - sesamoid ligaments to plantar plate
FHL passes between the sesamoids |
Abductor hallucis medial Adductor hallucis lateral Attached to capsule |
Head of MT Base of P1 Insert into sesamoids |
Blood supply
| Lateral | Medial | Dorsolateral |
|---|---|---|
|
First plantar MT artery - runs in the 1st intermetatarsal space - lateral Cervical branch - enters plantar surface at base of neck - supply major part of head
Care not to strip under neck in surgery |
Medial plantar artery |
Small branch from dorsalis pedis - penetrates the dorso-lateral capsule - near margin of articular cartilage - not big enough to provide sole supply - can be sacrificed if needed |
Etiology
Likely multifactorial
| Shoe Wearing | Hereditary | Ligamentous Laxity | Anatomical factors | Pathological Conditions |
|---|---|---|---|---|
|
Tight toed shoes Uncommon in unshod |
AD Incomplete penetrance |
1st TMT - excessive mobility
1st MTPJ - laxity of medial capsule |
Metatarsus primus varus - especially adolescent variety
TMTJ - hypermobile - medially slanted |
Rheumatoid arthritis
Neurological conditions i.e. cerebral palsy
|
History
Pain - over medial eminence & metatarsalgia under lesser toes
Shoe problems - wide foot, difficulty fitting shoes
Secondary deformity of lesser toes - hammer deformity of the second toe causes shoe wear issues
Cosmetic appearance
Examination



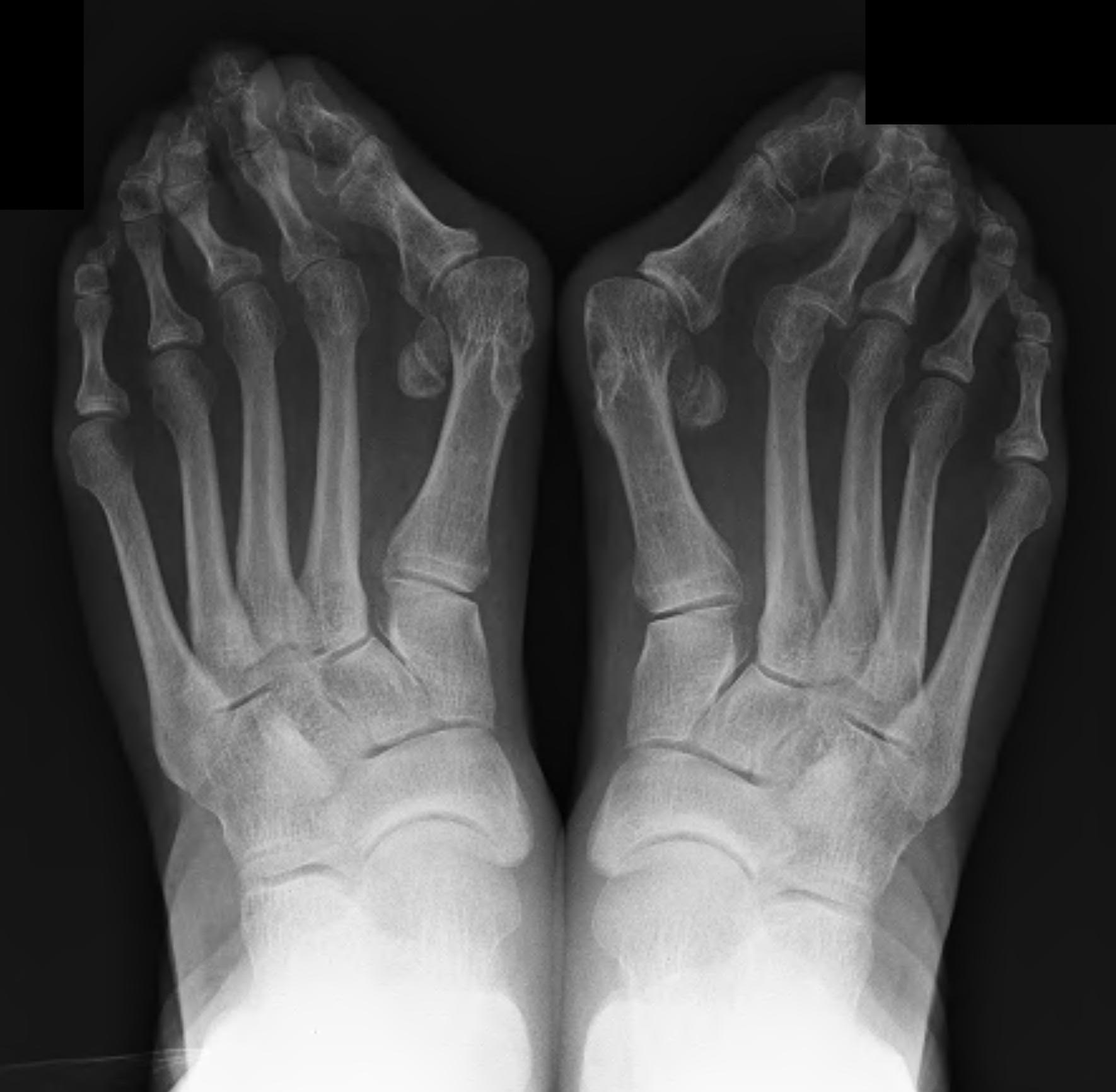
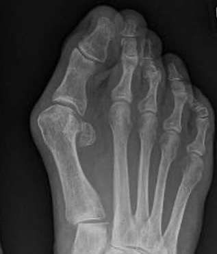
Great toe
- lateral deviation of the great toe
- medial deviation of the first metatarsal
- hallux pronation
- prominent mediation eminence
Lesser toes
- overriding of the second toe
- lesser toe hammer & claw
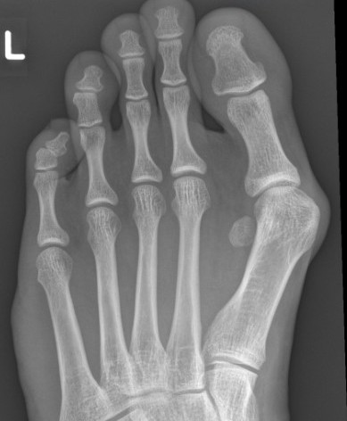
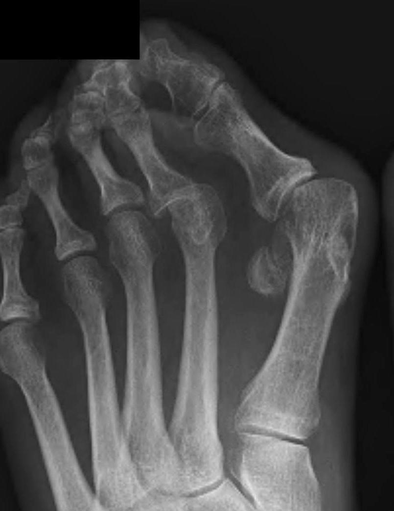
Weight Bearing AP X-ray
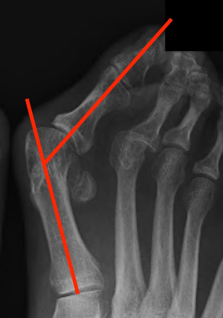
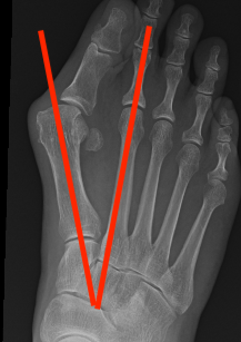
Angles
| HVA | DMAA | IMA | HVI |
|---|---|---|---|
|
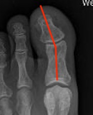
HVA - hallux valgus angle - metatarsophalangeal angle (MTPA)
Normal < 15o |
Distal metatarsal articular angle
Normal < 15o |
Intermetatarsal angle
Normal < 9o |
Hallux valgus interphalangeus
Normal <10o |
![]() |
![]() |
![]() |
![]() |
Other
| Joint congruence | Sesamoid subluxation | TMT joint obliquity |
|---|---|---|
|
Dots on articular surfaces - metatarsal head - base P1 |
Amount of lateral sesamoid uncovered |
|
![]() |
![]() |
![]() |
Mann Classification
1. Congruent
2. Incongruent - mild / moderate / severe
3. Degenerative
Incongruent
| Mild | Moderate | Severe |
|---|---|---|
|
HVA < 30° IMA < 15° Lateral sesamoid < 50% uncovered |
HVA 30 - 40° IMA 15 - 20o Lateral sesamoid 50 - 75% uncovered |
HVA > 40° IMA > 20° Lateral sesamoid > 75% uncovered |
|
|
![]() |
![]() |

Hallux valgus with early degeneration
Pathology
A. Congruent MTP joint
Cause
- increased DMAA
- hallux valgus interphalangeus
MTPJ stable and in joint
- no need for distal soft tissue release
B. Incongruent MTP joint

Subluxated MTPJ
- attenuation of medial joint capsule
- metatarsal head subluxates medially
- sesamoids held in place by adductor hallucis & transverse metatarsal ligament
- adductor hallucis pronates the great toe
- appearance of lateral migration of sesamoids
- however sesamoids maintain constant distance from second MT
Lesser toes
- great toe drifts laterally
- lateral toes become crowded
- great toe often drifts under 2nd toe - claw or hammer toe
- hammer toe increases weight bearing through MT head - metatarsalgia
Non operative management
| Shoe wear | Insoles | Toe spacers |
|---|---|---|
| Extra wide / large toe box | Premetatarsal dome for metatarsalgia | ![]() |









