congruent MTPJ

Background

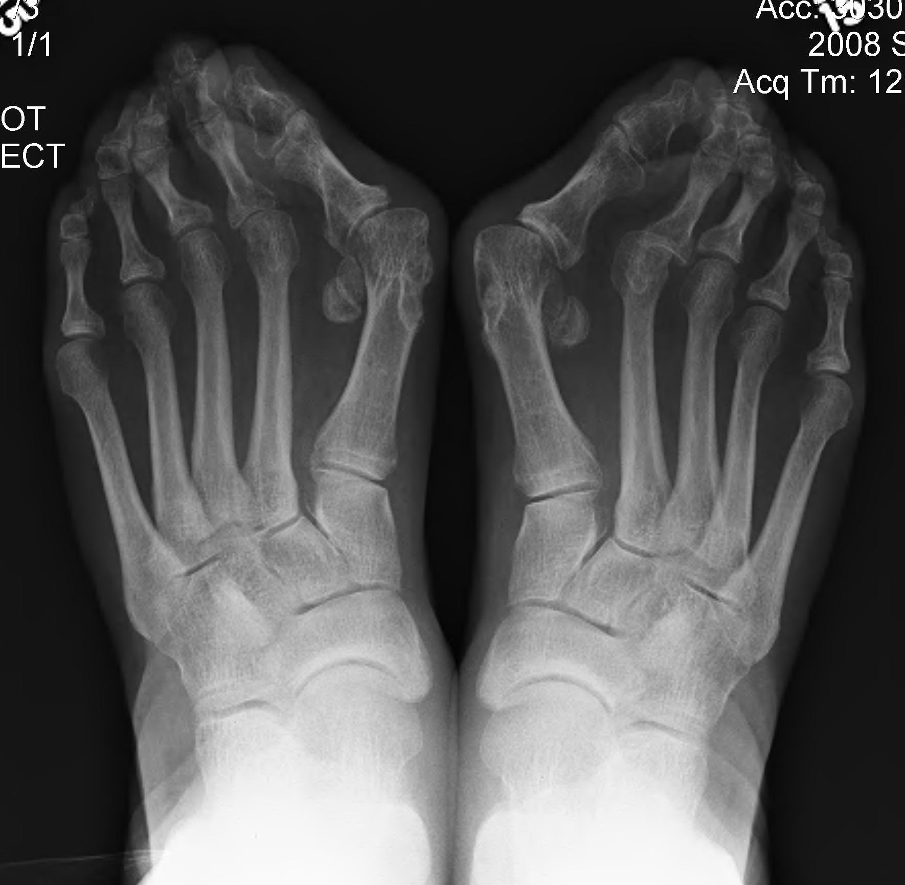
DefinitionHallux Valgus Severe

 

Bunion

- medial prominence of head of 1st MT

 

Hallux Valgus

- medial deviation 1st MT

- lateral deviation of great toe

 

Anatomy

 

Metatarsal head

- has 2 grooves separating ridge (cristae)