


Definition
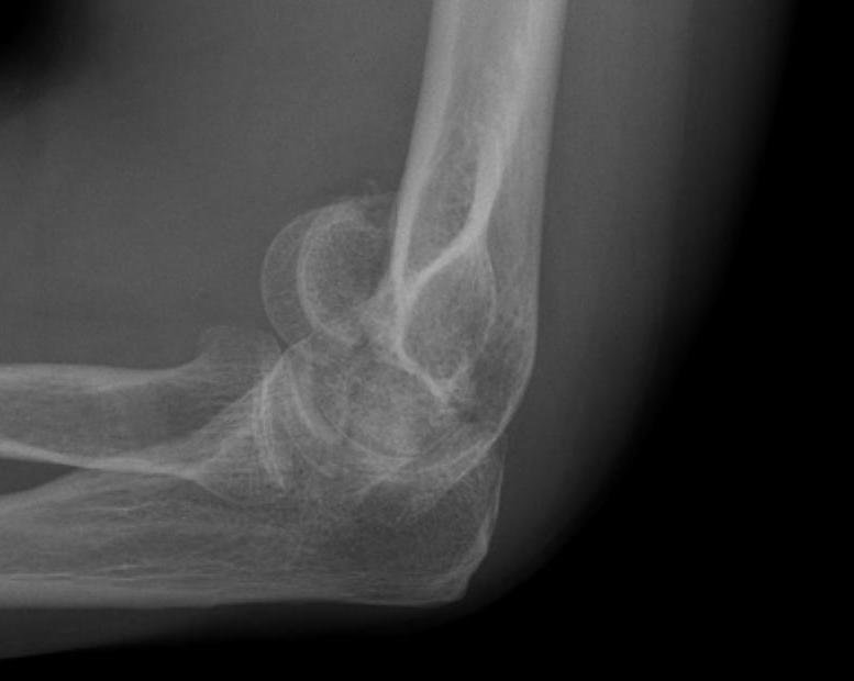
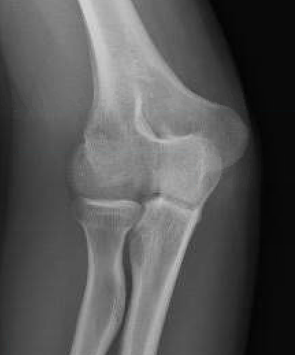
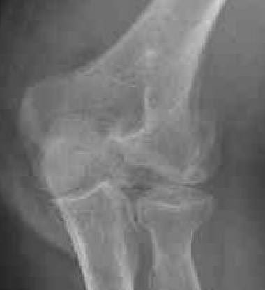
Coronal shear fracture of the distal humerus
Capitellum +/- trochlea
Mechanism
FOOSH
Bryan & Morrey Classification
| Type I | Type II |
|---|---|
|
Large osseous fracture of the capitellum
|
Articular cartilage injury with little bone |
|
Hanh Steinthal fracture
|
Kocher Lorenz fracture |
| ORIF | Typically remove |
![]() |
![]() |
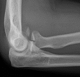
Dubberly Classification
| Type I | Type Ii | Type III |
|---|---|---|
|
Capitellar fracture
|
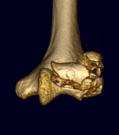
Capitellum + trochlea fracture In one piece Double arc sign seen on xray |
Capitellum + trochlea fractures In two separate pieces |
![]() |
![]() |
![]() |
![]() |
![]() |
![]() |
![]() |
Double arc sign on xray |
![]() |
Concomitant injuries
Radial head
- 79 capitellar fractures
- 24% had a radial head fracture as well
LCL
- 27 capitellum fractures treated with surgery
- 41% had associated LCL injuries
- 7/11 LCL injuries were avulsion fractures of the lateral epicondyle



Capitellum fracture with radial head fracture


Capitellum fracture with radial head dislocation due to LCL injury
Operative management
Indication
Displaced fractures
- block flexion
- disrupt articular surface
Approaches
| Lateral approach | Anterolateral approach | Posterior trans-olecranon approach |
|---|---|---|
|
Workhorse Dubberly Type I / II |
Difficult / comminuted fractures Dubberly Type II / III Increased trochlea exposure |
Difficult / comminuted fractures Dubberly Type II / III Increased trochlea exposure |
|
Kocher approach - between aconeus and ECU Hotchkiss approach - split the EDC Kaplan approach - between EDC and ECRB +/- Lateral epicondyle osteotomy to improve visualization |
Between biceps / brachialis and brachioradialis Need to identify and protect radial nerve |
Olecranon osteotomy |
| AO surgery reference lateral approach elbow | AO surgery reference anterolateral approach capitellum | |
| Surgical technique article |
Fixation
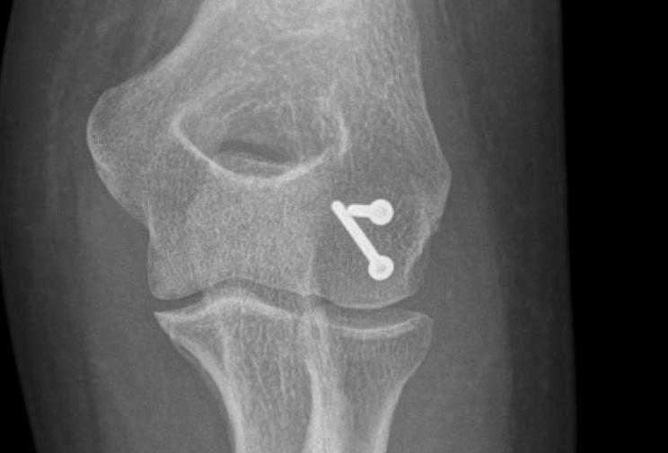
Headless compression screws AP / PA
Posterolateral plate
Lateral approach and ORIF
Technique
AO surgery reference capitellum fracture ORIF
Vumedi capitellum fracture fixation with AP screws video
Vumedi capitellum fracture fixation with PA screws video
Arm on side table with tourniquet
- lateral approach centered on lateral epicondyle
- split extensor muscle
- open capsule and identify capitellum fracture
- reduce fracture
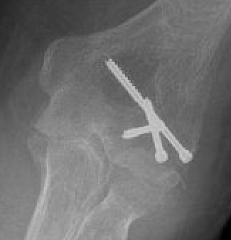
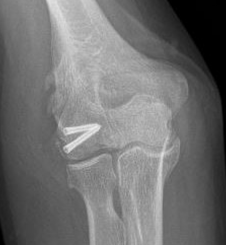
Usually AP headless compression screws (violates articular surface)
- +/- PA screws (risk AVN)
- +/- excise isolated cartilage lesions
- +/- postero-lateral plate
AP v PA screws
Heller et al J Hand Surg Am 2025
- systematic review of AP v PA screws capitellum fixation
- higher AVN with PA screws (29% vs 11%)
- higher revision fixation with AP screws (7 v 3%)
- higher heterotopic ossification with AP screws (22 v 7%)


ORIF with AP screws




ORIF Type II with screws



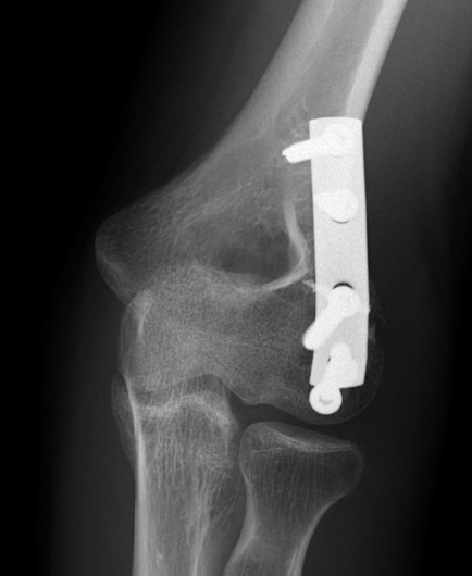
ORIF with PA screws and posterolateral plate



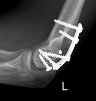
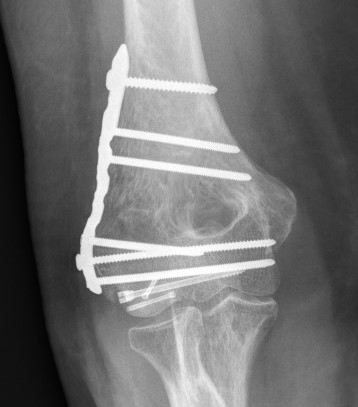
Large capitellum fracture / lateral column ORIF with plate and screws



Comminuted coronal shear fracture in elderly patient treated with distal humerus replacement
Results
Outcomes
Lari et al Orthop Res Rev 2024
- systematic review of 41 studies and 700 patients
- mean extension loss 5 degrees, pronation 75 degrees, supination 75 degrees
- complications 20%
- reoperation 8%
- implant removal 10%
- stiff elbows 6%
- nerve palsies 2%, non-union 1.5%, infection 1%
Heller et al J Hand Surg Am 2025
- systematic review of complications after capitellum fixation
- elbow pain 21%
- radiocapitellar arthritis 19%
- hardware removal 17%
- HO 13%









