Coronoid process fractures

 

coronoidcoronoidcoronoid

 

Anatomy

 

Critical for Ulno-humeral stability

 

Coronoid process

- provides anterior buttress to ulno-humeral joint

- anterior capsule and brachialis attach to coronoid

- anterior band of the MCL attaches to coronoid distally and medially on sublime tubercle

 

Mechanism

 

Typically associated with elbow dislocations

 

coronoid pCoronoid p

 

Regan and Morrey classification of transverse coronoid fractures

 

Elbow stability related to size of coronoid fragment

 

Coronoid Process Classification

 

Type I Type II Type II
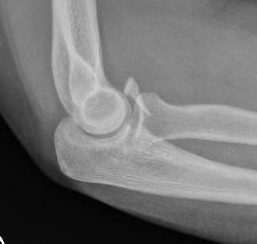
Small coronoid process fracture 50% of coronoid process > 50% coronoid process
Usually stable

Capsular attachment

Elbow unstable

 

Capsule + MCL attachment

Elbow unstable

 

Coronoid Fracture Type 1 coronoid Type 3 Coronoid Fracture
coronoid coronoid coronoid

 

O'Driscoll classification anteromedial coronoid facet fractures

 

Type I Type II Type III
Transverse fractures Anteromedial facet fractures Basilar fractures
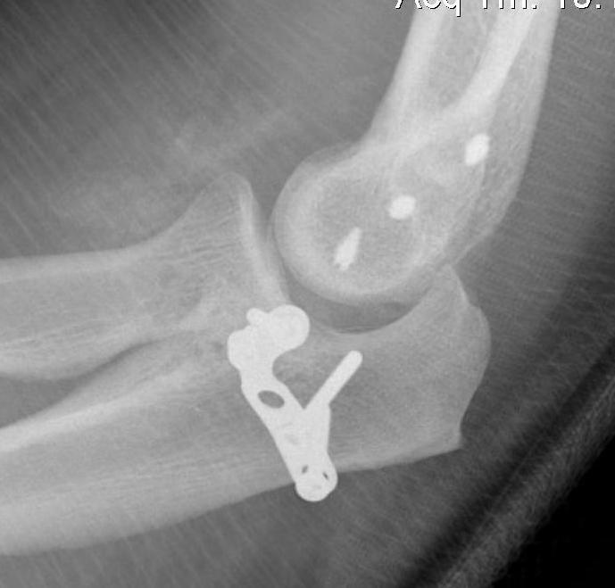
Lasso suture fixation

Lasso suture fixation - small

Medial buttress plate - large

Dorsal +/- medial plate
coronoid coronoid coron

 

Anteromedial coronoid facet fragment

- associated with varus posteromedial rotational force

- associated with tear of lateral ulna collateral ligament (LUCL)

 

Lanzerath et al JSES 2021

- systematic review of anteromedial coronoid facet fractures

- 6% Type I, 62% Type II, 32% Type III

- 73% fixed with buttress plate

- 70% LUCL fixation

 

Operative Management

 

Approach

 

Skin incisions

1. Medial - for medial approach to coronoid

2. Lateral - for radial head / coronoid / LUCL

3. Universal posterior and make medial and lateral skin flaps - for medial and lateral approach

 

Approach options for coronoid fixation

- radial head arthroplasty - lateral approach through radial head

- olecranon fracture - through fracture bed

- medial approach - coronoid fixation without radial head fracture

 

Medial approach to coronoid fracture

 

coronoid pcoronoid p

 

AO surgery reference medial approach to coronoid

 

Vumedi Hotchkiss over the top coronoid fixation video

 

Vumedi FCU split coronoid fixation video

 

Vumedi Hotchkiss over the top coronoid fixation video

 

Vumedi medial approach to coronoid + lasso fixation + plate video

 

Hotchkiss over the top FCU split Taylor and Scham

 

Split flexor pronator mass

- interval between FCU and palmaris longus

- elevate pronator teres / FCR / palmaris longus

- +/- detach from medial epicondyle

- open capsule

- detach brachialis from anterior coronoid process

 

 

Dissect out ulna nerve

- follow into FCU

- open two heads of FCU

- elevate flexor pronator mass off capsule

 

Elevate entire flexor - pronator mass

- subperiosteal elevation from ulna

- posterior to anterior

 

Access to tip of coronoid Access to anteromedial facet Access to base of coronoid

 

Fixation

 

AO surgery reference coronoid fixation

 

Lasso Suture bone + capsule - pass through drill holes in ulna and tie over button

Screw fixation - AP or PA

Buttress plate - medial approach to anteromedial fragment

 

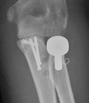
Unrepairable  - reconstruct with radial head / iliac crest / allograft

 

Medartis radial head and neck plating system

 

Acumed coronoid plating system

 

coronoidcoronoid

Approach through radial head, suture fixation and repair over button

 

coronoidcoronoid process

Medial approach and screw fixation

 

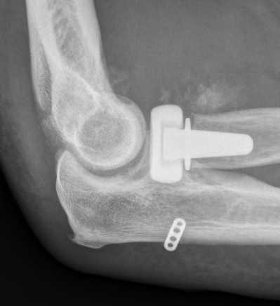
coronoidCoronoid Buttress Plate AP

Medial approach and buttress plate with LCL repair

 

buttress plate

Universal posterior approach with radial head replacement and medial approach with medial buttress plate

 

coroncorocoronoid

Medial approach and buttress plate for basilar fracture with olecranon fracture