Distal biceps tendon rupture

 

Distal Biceps RuptureDistal Biceps Rupture MRI

 

Epidemiology

 

Dominant arm of middle aged men between 40 and 60

 

Kelly et al Am J Sports Med 2015

- national database study

- mean age 46

- 95% male

- increased with smoking and increased BMI

 

Etiology

 

Usually trauma related

- sporting / weightlifting injury

- resisting heavy extension load

 

Pathology

 

Degenerative changes seen on histology

 

Types

 

Complete

 

Retracted proximally - rupture of lacertus fibrosis

Minimally retracted

 

Partial

- low grade - partial tears of some fibres

- high grade - near complete avulsion of biceps tendon from radial tuberosity

 

History

 

Feel pop / tear at elbow often while lifting heavy object

May be prodromal symptoms of elbow pain due to biceps tendinopathy

 

Examination

 

Acute onset pain

- distal swelling +/- bruising bruising

Reverse popeye - biceps muscle bulge proximally

 

distal biceps

Acute distal biceps rupture with bruising

 

Distal biceps rupture

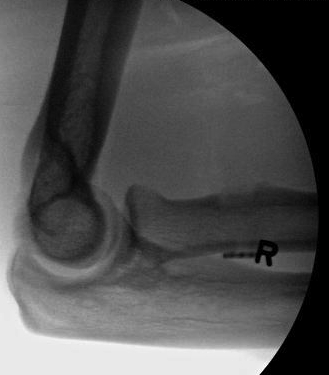
Acute right sided distal biceps rupture

 

Distal Biceps RuptureDistal bicep rupture

Chronic distal biceps rupture

 

Distal Biceps Rupture 2Distal biceps 1Distal biceps 2

Chronic distal biceps rupture

 

Hook test

- attempt to hook finger about biceps tendon, from a lateral to medial direction

- can get a false positive from the lacertus if hook from medial to lateral

- unable to palpate biceps tendon

 

Biceps Tendon Hook Test

 

Luokkala et al, Shoulder Elbow 2020

- sensitivity in acute complete tears: 78%

- much lower in partial tears: 30%

 

X-ray

 

Usually normal

Rarely see bony avulsion from radial tuberosity

 

Ultrasound

 

Confirm full thickness tears

 

Lobo et al AJR Am J Roentgenol 2013

- ultrasound diagnosis distal biceps injury

- complete tear: sensitivity 97%, specificity 100%, accuracy 98%

 

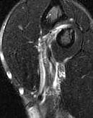
MRI

 

Confirm diagnosis

 

A.  Complete tear / retracted

 

Best seen on sagittal MRI

 

Distal biceps rupture MRIDistal biceps rupture MRI

Sagittal MRI - distal biceps retracted into arm

 

Distal Biceps Rupture MRI

Sagittal MRI - distal biceps retracted into arm

 

DB 1DB 2

Coronal MRI with 2 cm retracted distal biceps tendon

 

B.  Partial tear

 

Best evaluated on the axial view

- absence of low signal intensity biceps tendon insertion onto tuberosity

- present of soft tissue edema

 

MRI Biceps Partial TearBiceps Partial tear

 

Management

 

Non-operative

 

Indication for complete tears

 

Elderly patients who do not require full strength and endurance

Chronic tears

 

Results

 

Morrey et al JBJS Am 1985

 - 40% loss of supination strength

 - 30% loss of flexion strength

 

Looney et al JSES 2022

- systematic review of operative versus nonoperative management

- 62 studies with 2481 cases

- improved flexion and supination strength with operative management

- improved flexion and supination endurance with operative management

- improved outcome scores with operative management

 

Operative

 

Indication

 

Young active patients with recent rupture 

- may be more difficult with chronic tears

 

Options

 

One incision

- single anterior incision

- use suture anchors / endobutton to fix to tuberosity through this incision

 

Biceps Suture Anchor Repair

 

Two incision Boyd and Anderson

- anterior incision to retrieve tendon

- posterior incision to attach tendon to radial tuberosity

 

Results

 

Single versus double incision

 

Grewal et al JBJS Am 2012

- RCT single incision with 2 suture anchors versus 2 incision with drill holes

- no difference in outcomes except 10% increased flexion strength with 2 incision

- increased injury to lateral cutaneous nerve of the forearm with single incision

 

Dunphy et al Am J Sports Med 2017

- retrospective cohort of 784 repairs

- higher posterior interosseous nerve palsy with two incision (3.4% vs 0.8%)

- higher heterotopic bone formation with two incision (7.6% vs 2.7%)

- higher reoperation with two incision (8.3% vs 2.3%)

- higher LCNF and superficial radial nerve with single incision

 

One incision suture anchor versus cortical button

 

Return to sport

 

McGinniss et al JSES 2021

- 35 NFL players with distal biceps repairs

- high rate of return to play at previous performance level

 

Anatomy

 

anatomyAnatomy

 

One incision technique with endobutton

 

Vumedi Arthrex Adjustable button technique

 

Vumedi Endobutton technique

 

Set up

- supine, arm board, tourniquet

 

Incision

- proximal Henry approach to proximal radius

- protect lateral cutaneous nerve of the forearm

- divide fascia

- mobile wad medially

- divide recurrent leash if needed

- supinate forearm

- reflect supinator muscle laterally

- identify bicipital tuberosity

- can place hohmann retractors medially but not laterally as they can injure PIN

 

Prepare radial tuberosity

- forearm fully supinated to protect PIN

- pass guide wire through both cortices centred in tuberosity

- pass cannulated 4.5 endobutton drill

- use burr or ACL drill 8 mm to open volar cortex only to take biceps tendon

 

Find biceps tendon

- an additional proximal incision can help with retracted biceps

- divide fascia

- blunt dissect and deliver tendon into proximal wound

- whip stitch with high strength suture to endobutton

- enter lateral aspect tendon proximally and suture down to distal aspect

- pass around middle two holes of endobutton

- back up medial aspect and tie

- leave 2 mm space between endobutton and distal end of tendon

- allows space for dorsal cortex of radius

 

Distal Biceps Repair IncisionDistal Biceps Tendon with Endobutton

 

Tunnel distal biceps tendon to radial tuberosity

- find pathway with blunt dissection

- pass beath pin through tuberosity and skin with endobutton passing sutures

- pass and flip endobutton

- can check using image intensifier

 

Distal Biceps Endobutton RepairDistal Biceps Endobutton RepairDistal Biceps Repair Final

 

Two incision Technique

 

Vumedi Two Incision technique

 

AO surgery foundation technique

 

Technique

 

Anterior

- Henry approach

- maximally pronate forearm

- hug border of radius with curved hemostat

- avoid periosteum of ulna to prevent synostosis

- palpate tip dorsally in extensor mass

- dissect down to radius

 

Posterior

- Thompson's approach

- line from lateral epicondyle to lister's tubercle

- between EDC and ECU

- expose and split supinator

 

Repair

- performed through bone tunnels

 

Post operative management

 

Bergman et al JBJS AM 2021

- RCT of early mobilization versus 6 weeks immobilization

- 83 patients treated with suture button followed for 12 months

- trend towards better ROM with early mobilization

- better QuickDASH scores over time with early mobilization

 

Partial Tears

 

Bauer et al JSES 2018

- 74 patients with partial distal biceps tears

- 34/61 (55%) treated nonoperatively went on to have surgery

- high grade partial tears (>50%) on MRI more likely to need surgery

 

Biceps Partial TearBiceps Partial Tear 2

 

Chronic Tears

 

Issue

 

> 3 weeks old

- harder to repair

- associated with higher complication rates

- have to repair in significant position of flexion

 

> 6 - 8 weeks

- tendon involutes into biceps

- need either hamstring autograft or allograft reconstruction

 

Technique

 

Vumedi allograft distal biceps reconstruction

 

Incision

- S shaped, proximal medial and lateral distal

- identify and protect the brachial artery and medial nerve in the proximal approach

- identify the radial tuberosity through the lateral distal approach

 

Biceps Approach

 

Graft options

 

Hamstring allograft

Tibialis anterior or posterior allograft

Tendoachilles allograft with bone block removed

 

Technique

 

Secure to radial tuberosity with endobutton first

- approach and mobilize biceps muscle

- brachial artery is directly medial

- then weave graft through distal biceps muscle belly

- pulvertaft

 

Single incision allograft reconstructionTwo incision allograft reconstruction

 

Results

 

Hendy et al JSES Int 2020

- compared 46 allograft distal biceps reconstructions to primary repair

- no difference in functional outcome at mean 5 years

 

Complications of distal biceps repair

 

Amarasooriya et al Am J Sports Med 2020

- systematic review of complications after distal biceps repair

- 1.6% PIN injury

- 1.4% median nerve injury

- 1.4% re-rupture

- 9.2% lateral cutaneous nerve injury

- 0.1% synostosis / brachial artery injury / compartment syndrome / radial fracture

 

PIN Palsy

 

Nigro et al JSES 2013

- 230 patients

- 3.2% developed postoperative PIN palsy

- all 9 resolved at average of 86 days (range, 41 - 145)

 

Reichert et al Med Sci Monit 2018

- 7 cases of PIN palsy with no recovery after 3 months

- 5 demonstrated nerve entrapment by scar or by biceps

- 2 demonstrated PIN division secondary to drill

 

Failure fixation

 

Distal biceps fixation failure