

Definition
Chondroid metaplasia of synovium affecting large joints
- form nodules of hyaline cartilage
- break free into joint
Synovial osteochondromatosis
- lesions can mineralize or ossify
Benign
Malignant transformation
Rare case reports of transformation to chondrosarcoma
- 78 cases of synovial chondromatosis
- 5 (6%) incidence of transformation to chondrosarcoma
Epidemiology
Rare lesion
Most common in 20's and 30's
Male:Femal 4:1
Monoarticular
Site
Marked predilection for large joints
- knee 70%
- hip 20%
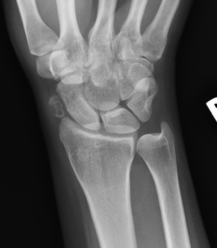
- shoulder > elbow > ankle > wrist
Any synovial lined joint, tendon or bursal cavity
Etiology
Primary
Mesenchymal cells in joint capsule (subsynovial layer) become chondroblasts instead of fibroblasts
- form nests of cartilage
- nests grow & protrude into joint
- covered by synovium
- eventually become pedunculated and connected by synovial stalk
Break off and lie free in joint as cartilaginous loose bodies
- continue to grow in joint secondary to synovial diffusion
Can undergo secondary calcification and ossify
Secondary
Older patient with chondral injury (OA / RA / AVN / Charcot / TB)
- cartilage fragments can seed synovium and continue to grow



Histology
Central necrotic area that may be calcified
- peripheral ring of viable chondrocytes
- disorganized chondrocytes with cellular atypia
- can be difficult to pick from chondrosarcoma
Stages
Phase 1 / Early: Synovitis, no loose bodies
Phase 2 / Transitional: Synovitis & loose bodies
Phase 3 / Late: Loose bodies, no synovitis
Clinical
Pain & swelling
Loss of ROM
Locking symptoms secondary to loose bodies
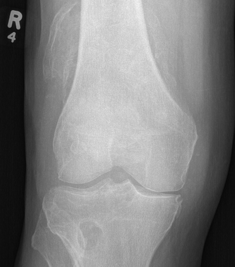
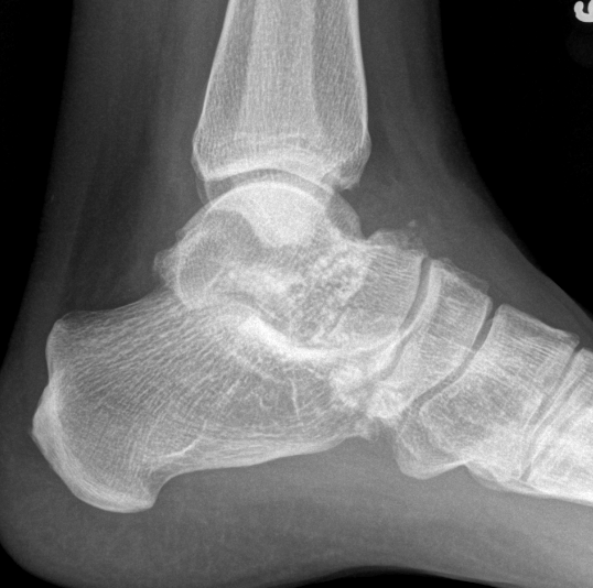
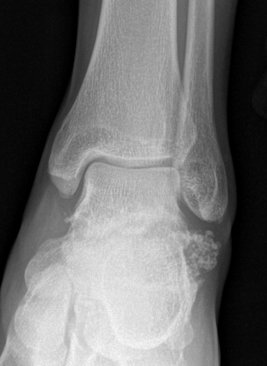
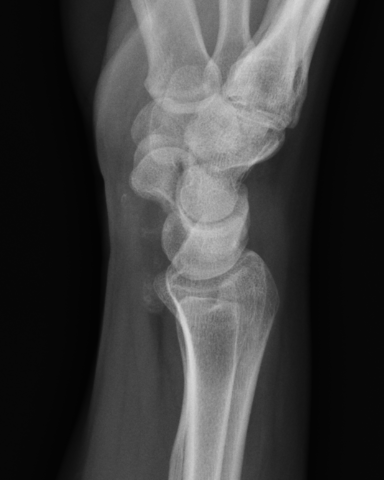
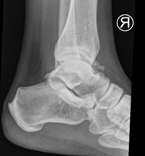
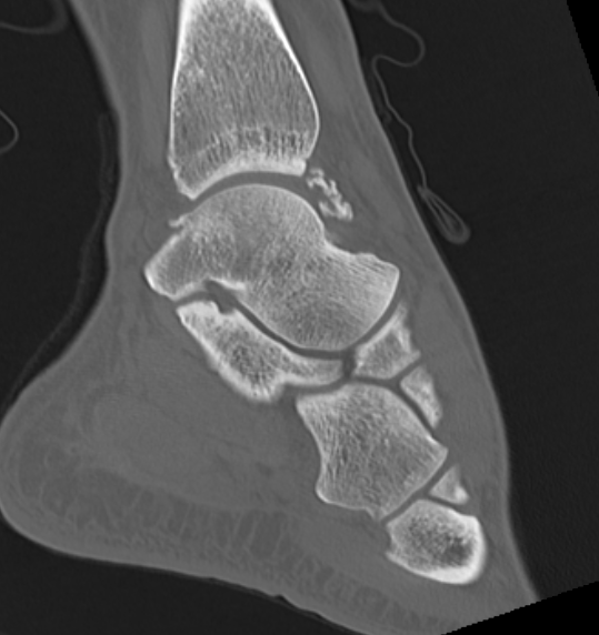
X-ray
Demonstrate calcified lesions / synovial osteochondromatosis






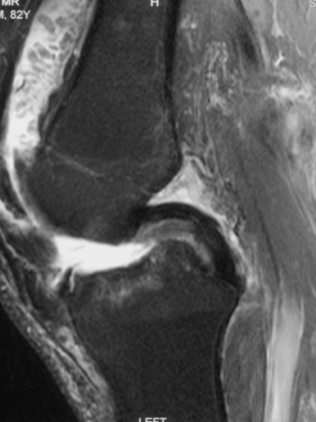
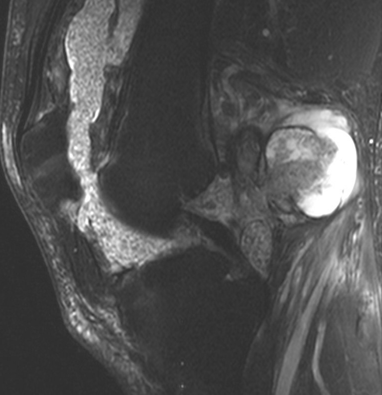
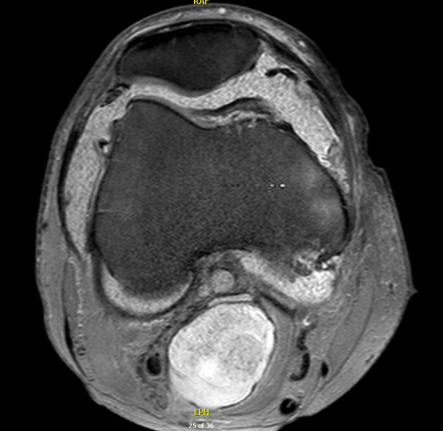
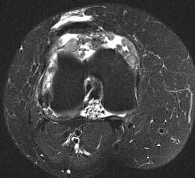
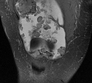
MRI
Synovial Proliferation
Soft tissue lesions same signal intensity as cartilage



Synovial chondromatosis



Synovial osteochondromatosis
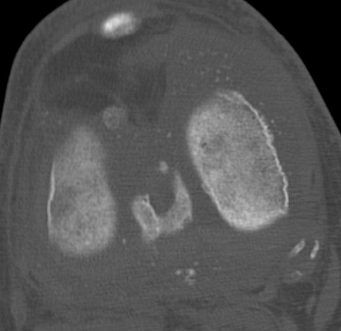
CT
Demonstrate osseous / calcified bodies


Arthroscopy
Synovial proliferation
- localised or generalised
- can see cartilage growing from synovium
Multiple loose bodies +++





Management
Timing
Early surgery to prevent secondary degeneration
Knee
Technique
Vumedi arthroscopy synovial chondromatosis
Surgical technique PDF synovial chondromatosis
Results arthroscopy
Ogilvie-Harris et al Arthroscopy 1994
- 13 patients with generalised disease
- 5 treated with removal loose bodies only: 3/5 recurrences
- 8 with synovectomy: 0/8 recurrences
Results TKA
Houdek et al J Arthroplasty 2017
- 20 patients with synovial chondromatosis undergoing TKA
- 5/20 (25%) had a recurrence: 2 observation, 2 revision TKA, 1 amputation due to chondrosarcoma
- 3/20 (15%) revision TKA for stiffnessness
Hip
Options
Arthroscopic
Open surgical hip dislocation
Arthroscopic technique
Arthroscopic technique PDF hip synovectomy
Vumedi hip arthroscopy synovial chondromatosis
Results arthroscopic synovectomy
- arthroscopic debridement in 111 patients, follow up average 6 years
- 57% good or excellent outcome
- 20% required subsequent repeat arthroscopy
- 38% required subsequent open synovectomy
- 20% went on to require THA
- systematic review of arthroscopic hip debridement
- 14 studies and 197 patients
- 7.1% recurrence rate
- minor complication rate 1%
Results THA
Tibbo et al J Arthroplasty 2018
- 26 patients with synovial chondromatosis THA
- recurrence in 3/26 at mean of 1 year
- 10 year survival 82%
- 15 year survival 64%
Shoulder
Results
Liu et al Clin Orthop Surg 2023
- 28 shoulders with synovial chondromatosis
- involving glenohumeral joint / subacromial space / biceps sheath
- 36% rotator cuff tears
- 7% shoulder OA
- recurrence 3/22 (14%)
- systematic review of 27 articles and 48 patients
- arthroscopic treatment successful in 71%
- treatment failure associated with bicipital tendon sheath involvement
- recurrence rate 15%
Ankle


Bojanic et al Foot Ankle Int 2021
- 17 patients
- 14/17 had anterior and posterior compartment involvement
- 2/17 dissatisfied
- no recurrence