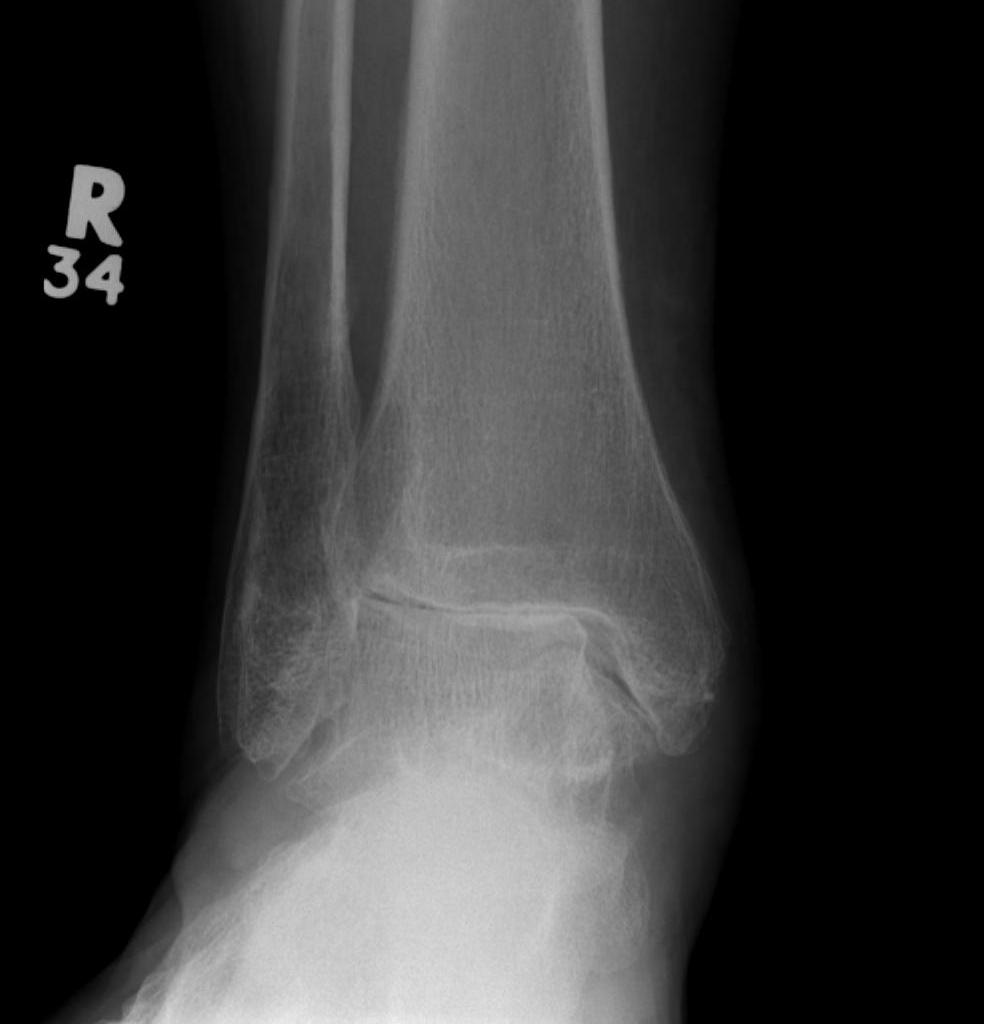
Bimalleolar and Trimalleolar Fractures
| Bimalleolar fractures | Trimalleolar fractures |
|---|---|
|
Fibular + medial malleolus Fibular + posterior malleolus |
Fibular + Medial malleolus + Posterior malleolus Anterior impingement
Definition
Impingement between anterior distal tibial osteophyte and sulcus of the talus in dorsiflexion
Epidemiology
Seen in athletes with repetitive dorsiflexion Football / soccer / ballet / gymnasts
Pathology
Anterior osteophytes Soft tissue impingement - scar tissue in anterolateral gutter from recurrent ankle sprains Bassett's ligament - thickened fascicle of the AITFL
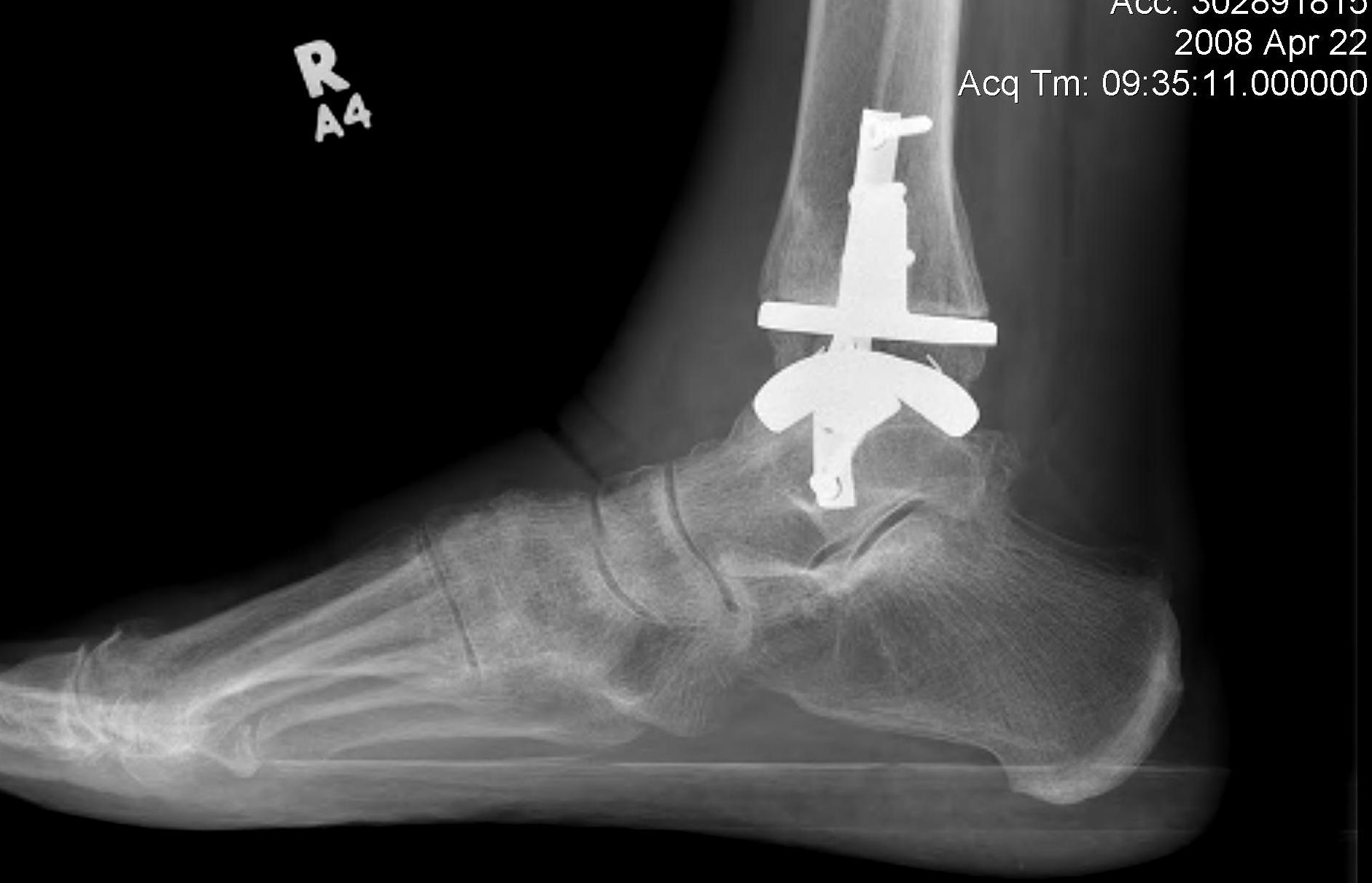
Ankle ArthrodesisResults
90% fusion rates
Lose
Disadvantages of Arthrodesis
Non union rates up to 12% Decreased gait speed Poor mobility over uneven surfaces Ankle Arthroplasty
History
First generation (late 70s early 80s)
Results PVNSDefinition
Pigmented Villo-Nodular Synovitis - benign inflammatory process that arises in synovial tissues - contains significant amounts of hemosiderin
Epidemiology
Age: 20 - 50 Sex: M > F
Types
A. Diffuse - throughout joint synovium - more difficult to treat / excise fully
Synovial Osteochondromatosis
Definition
Chondroid Metaplasia of synovium affecting large joints
Nodules of hyaline cartilage - formed in the subsynovial layer of joint capsules
Epidemiology
Rare lesion Most common in 20's and 30's Sex: M > F (2:1) Monoarticular
Site
Multiple Hereditary ExostosisAKA
Diaphyseal Aclasis / Multiple Osteochondromas
Definition
Heritable skeletal dysplasia
Epidemiology
AD with variable penetrance (96%)
Malignant Transformation
Incidence of malignant transformation much higher - 10% overall - 1 % / year
Chondrosarcoma (CS) > Osteosarcoma (OS)
Foot & Ankle ExamLook
Aids Shoes - raises / wear patterns Stigmata generalised disease Hands - RA, CMT
Front
Knee alignment Forefoot - Hallux & Lesser toes Scars Circulatory changes
Medial Side
Turn affected side away & ask to step foot forward Flexed attitude of knee Medial arch - planus / cavus
|



