Definition
Impingement between anterior distal tibial osteophyte and sulcus of the talus in dorsiflexion
Epidemiology
Seen in athletes with repetitive dorsiflexion
Football / soccer / ballet / gymnasts
Pathology
Anterior osteophytes
Soft tissue impingement - scar tissue in anterolateral gutter from recurrent ankle sprains
Bassett's ligament - thickened fascicle of the AITFL
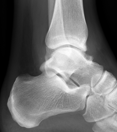
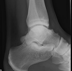
Xray



Anterior tibial and talus spurs with normal joint space
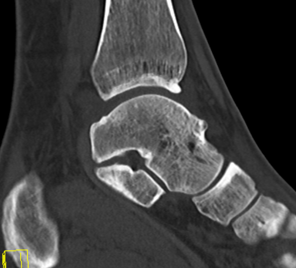
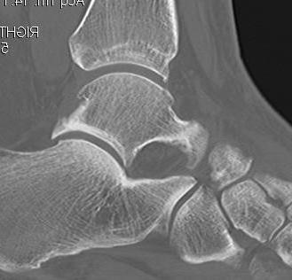
CT


Anterior tibial and talus spurs with normal joint space
MRI




Operative Management
Arthroscopic debridement
Indications
Painful and limited ankle dorsiflexion
Anterior osteophytes
Preserved tibiotalar cartilage
Technique
Vumedi anterior bony impingement video
Vumedi anterior bony impingement video


Results
- systematic review of 28 articles and 1500 patients
- arthroscopic debridement of anterolateral and anteromedial impingement
- success rate 80%
- complication rate 4% (mild nerve injury, superficial infection)
- 67 patients with 2 year follow up
- no joint space narrowing: 90% good results
- joint space narrowing: 50% good results