Skip to main content
Home
The Bone School
The source for orthopaedic knowledge

Breadcrumb

  1. Home
  2. Lower Limb
  3. Foot and Ankle

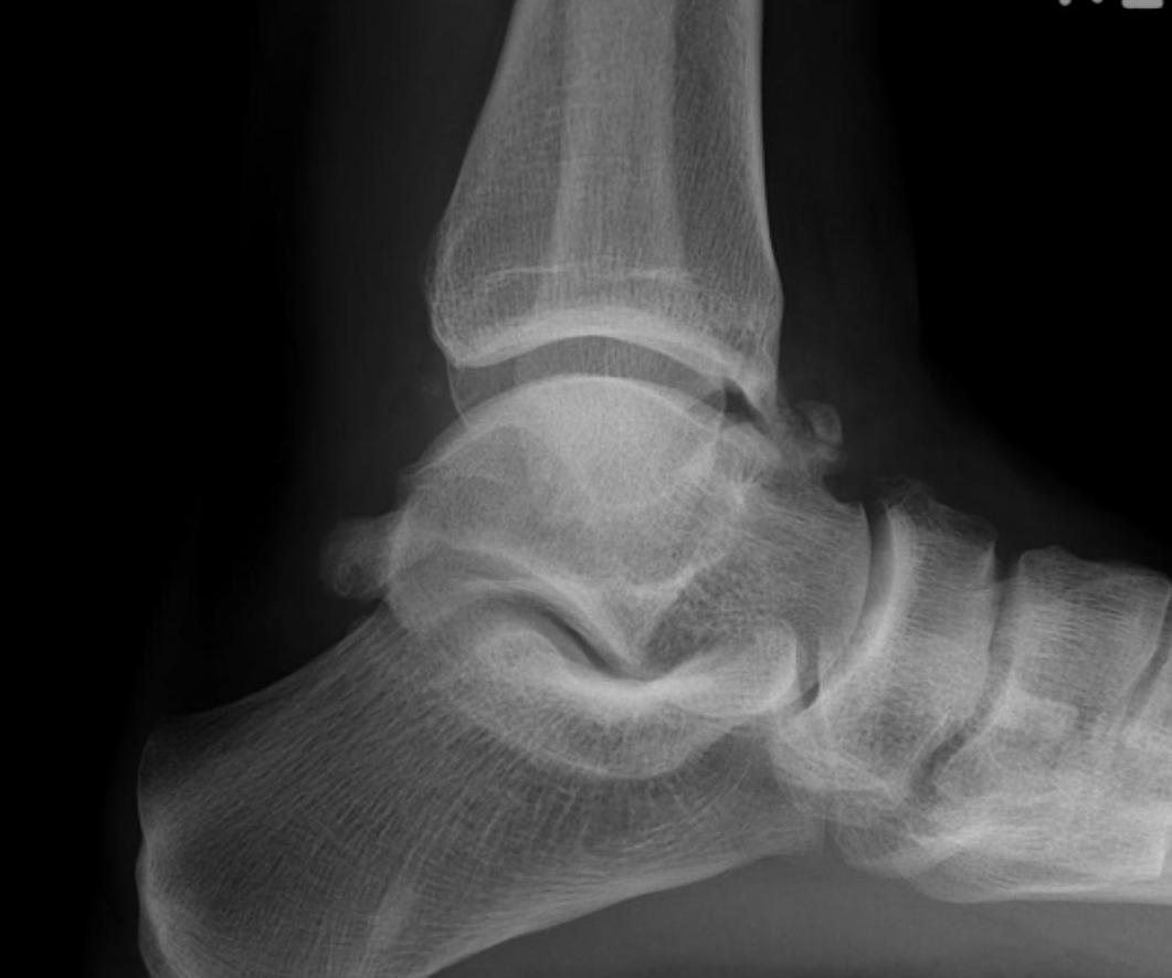
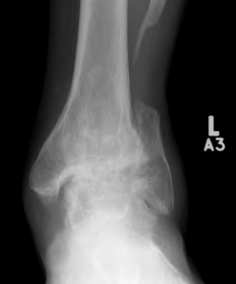
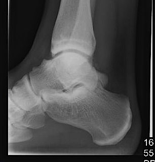
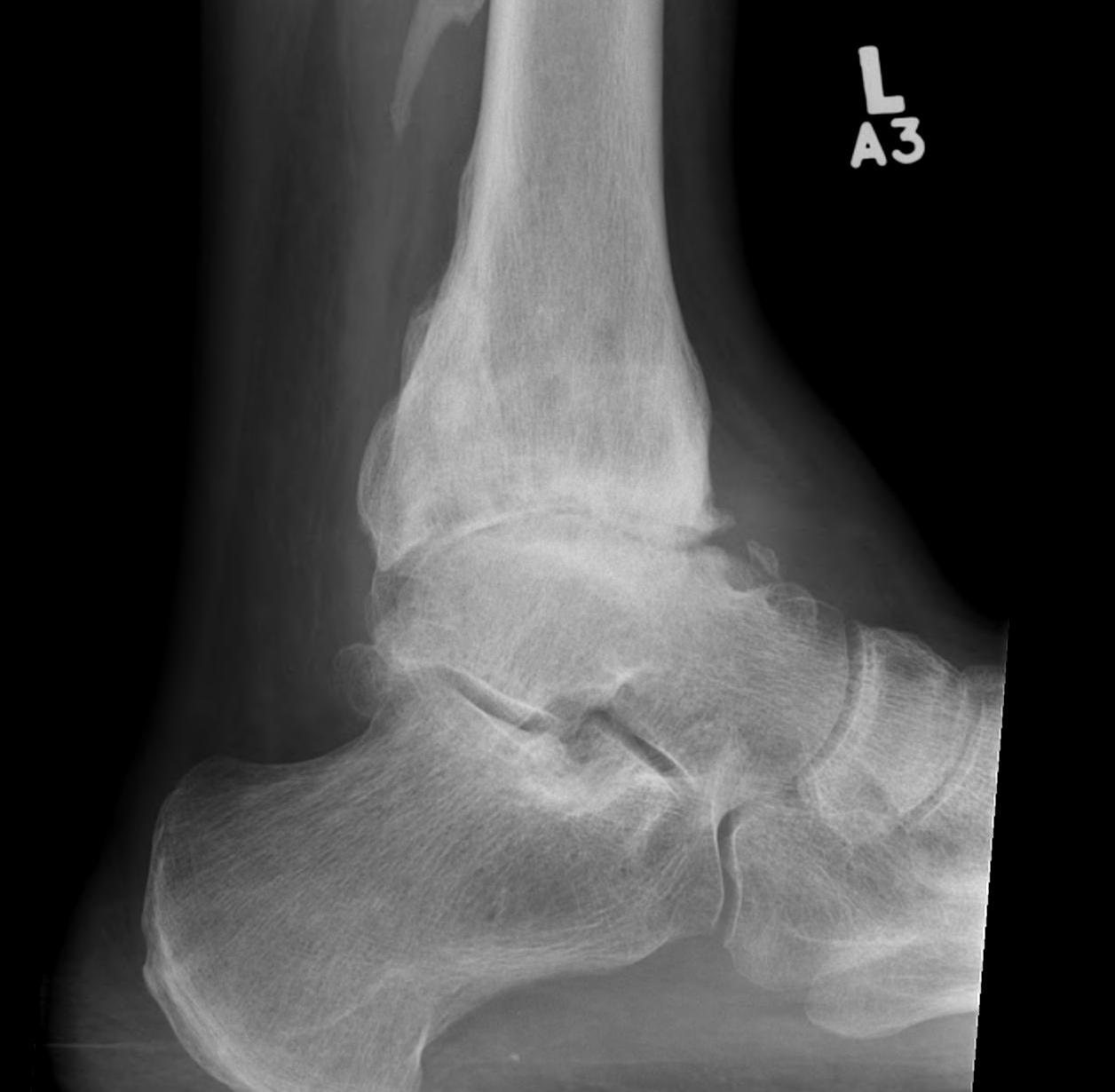
Ankle osteoarthritis

  • Background
  • Ankle Arthrodesis
  • Ankle Arthroplasty

Book traversal links for Ankle osteoarthritis

  • ‹ Posterior impingement
  • Up
  • Background ›

Table Of Contents

  • Welcome to The Bone School
  • Upper Limb
  • Lower Limb
    • Hip
    • Knee
    • Foot and Ankle
      • Achilles tendon
      • Ankle osteochondral lesions
      • Arthroscopy
      • Ankle osteoarthritis
        • Background
        • Ankle Arthrodesis
        • Ankle Arthroplasty
      • Arthrodesis
      • Ankle sprain
      • Cavovarus
      • Diabetic & Charcot Foot
      • Fractures
      • Great Toe
      • Lesser Toes
      • Metatarsalgia
      • Peroneal Tendons
      • Planovalgus Foot
      • Plantar fascia
      • Rheumatoid Foot & Ankle
      • Tarsal Coalition
      • Miscellaneous
      • Tumours
    • Pelvic fractures
    • Acetabular Fractures
    • Femur fractures
    • Tibia fractures
    • Muscle tears
  • Spine
  • Paediatrics
  • Tumour
  • Surgical Approaches
  • Trauma Principles
  • Examinations
  • Imaging
  • DDx
  • Miscellaneous
  • About Us
  • Exam Cases

Search