


Definition
Proliferative synovial condition
Characterised by synovial villi with central lipoma
Epidemiology
5th - 6th decade
Males
Clinical



Most common in the knee
Usually monoarticular
Large effusion
Problems
Can lead to early degenerative change
Etiology
Unknown
MRI
Synovial proliferation with signal similar to surrounding fat






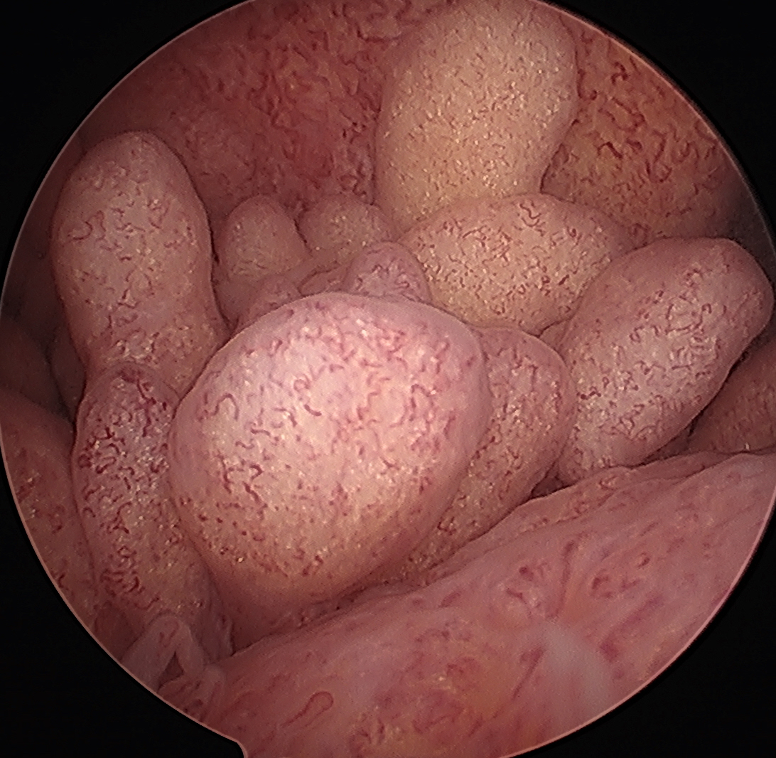
Arthroscopy
Yellow brown polypoid / frond like villous synovitis





Histology
Subsynovial tissue replaced by mature adipocytes
Differential diagnosis
PVNS
Synovial Chondromatosis
Management
Synovectomy
- systematic review of 25 articles
- 71 knees in 65 patients undergoing arthroscopic synovectomy
- 3% recurrence rate
Kalifis et al J Orthop Surg Res 2022
- systematic review of 22 patients in 21 articles
- upper limb lipoma arborescens
- open and arthroscopic synovectomy
- no recurrence