

Definition
Bizarre parosteal osteochondromatous proliferation
Overgrowth of the periosteal surface
Epidemiology
Adults in their 20's and 30's
Males:Females 1:1
Site
Most common in the hands followed by the feet
Edoardo et al Acta Med Litu 2022
- systematic review of 322 cases
- 59% hands
- 19% feet
- femur / tibia / fibula
Natural history
Benign but locally aggressive
Grows rapidly
Clinical
Bony mass increasing in size over many weeks or a few months
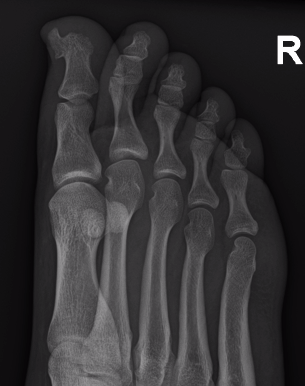
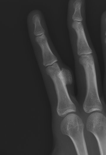
X-ray
Well defined bony mass arising from the surface of the bone
- no medulla




CT
Lesion not continuous with adjacent with cortex
- no medulla
- no cartilage cap
MRI
Typical tumour picture (high SI on T2 / low SI on T1)
No cartilage cap
No periosteal reaction
DDx
Osteochondromas
- cortex and medullary cavity is continuous with the cortex and medullary cavity of the lesion
Myositis ossificans
Parosteal osteosarcoma / chondrosarcoma
Pathology
Gross
- nodular surface covered with glistening cartilage
- bone in the lesion has a distinct blue tint
Histology
Mix of cartilage, bone and fibroblasts
- cartilage hypercellular and chondrocytes enlarged
Management
Wide excision
Recurrence
Edoardo et al Acta Med Litu 2022
- systematic review of 322 cases
- surgical excision in 273
- recurrence rate of 37% (102/273)