

Definition
Enostosis
Benign sclerotic lesion
Island of mature cortical bone found in the midst of normal cancellous bone
Clinical
Asymptomatic x-ray finding
Need to consider metastatic disease in the differential
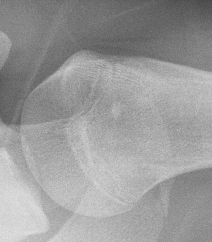
X-ray


Sharply-circumscribed cortical densities
- round or oval in shape with smooth, regular borders
- narrow zone of transition from lesion to cancellous bone
- no evident reaction to the process
Usually < 1 cm in diameter
> 2 cm - giant bone island
CT
Even cortical texture

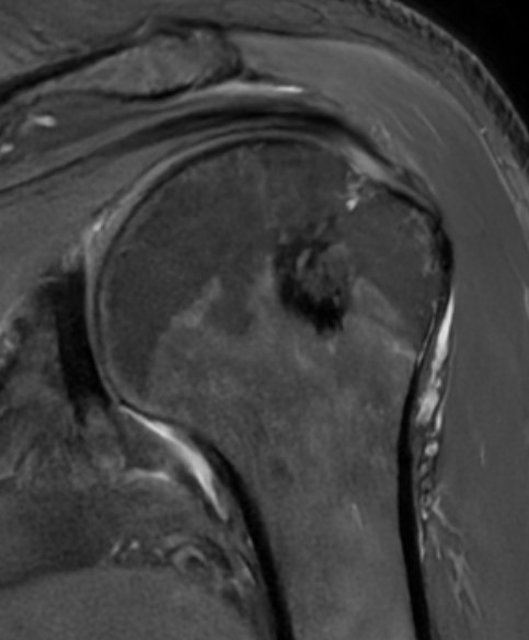
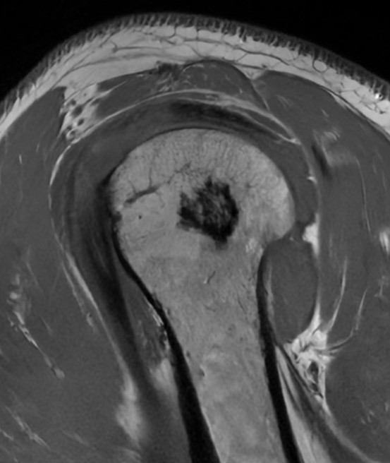
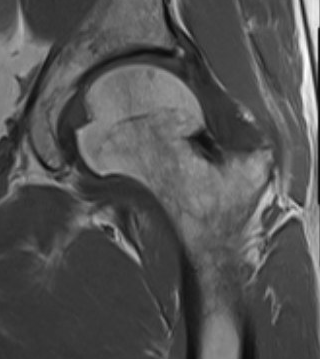
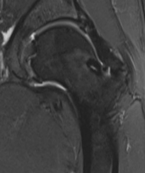
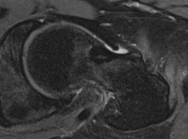
MRI
- Low signal on T1 and T2
- Do not enhance with contrast





Management
Observation
Osteopoikilosis
Rare inherited benign condition characterised by multiple bone islands
AD inheritance, high penetrance
Lesions clustered around joints
- typically arms, legs and pelvis
Malignant transformation extremely rare
Differential diagnosis
- sclerotic metastasis
- osteopoikilosis cold on bone scan