


Definition
Melorheostosis - greek for "limb flowing bone formation"
Rare sclerosing bone dysplasia
Usually affects lower limb
Epidemiology
1: 1 000 000
Can be asymptomatic - 50% of persons affected will develop the symptoms by 20 years of age
Etiology
Random somatic mutations of the MAP2K1 gene
Clinical
Pain
Joint contractures - secondary to extraosseous bone formation
Leg length discrepancy due to growth plate involvement
Soft tissue masses
Nerve compression
- 23 cases of melorheostosis
- average age at first presentation 36 (range, 3 - 68)
- female:male 4:1
- 33% single bone, 67% multiple bones
- lower limb (67%), upper limb (33%), spine (17%), head (8%)
- pain (83%), deformity (54%), limitation of movement (46%), numbness (38%), and weakness (25%).
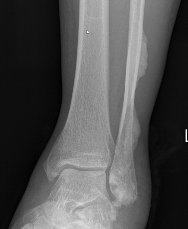
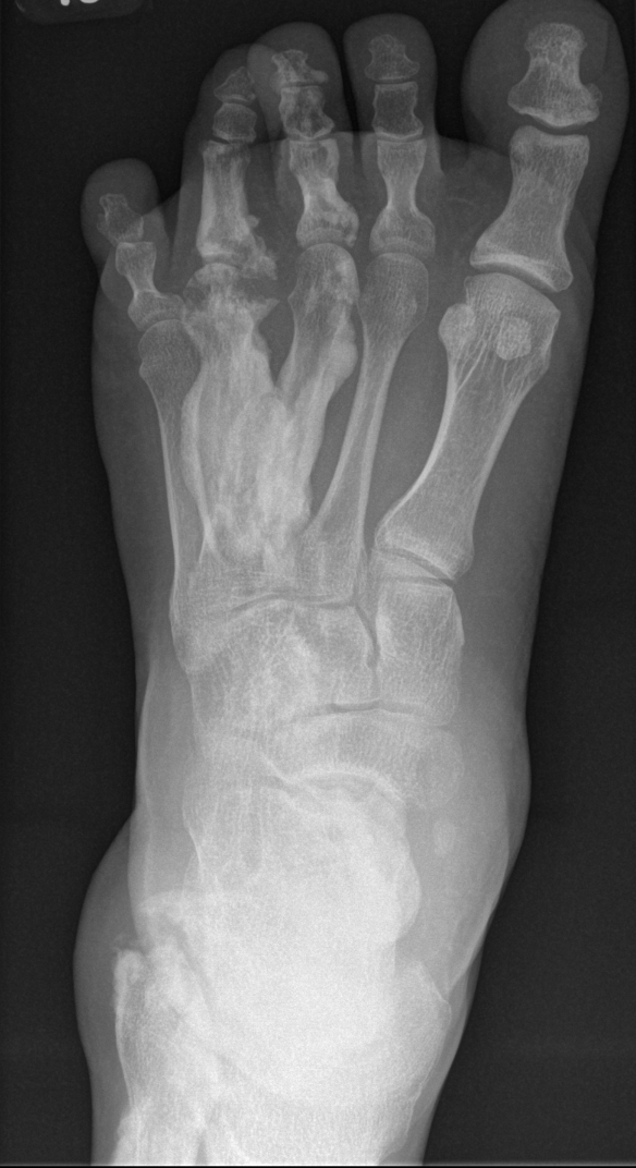
X-ray
Sclerotic lesions of bones
- undulating cortical hyperostosis
- look like wax dripping down the side of a candle




Histology
Periosteal bone formation with dense cortical bone
Marked endosteal sclerosis with marrow fibrosis
Natural history
The clinical course is slowly progressive
Isolated cases of malignancy have been reported
Management
Nonoperative
Pain management
Bisphosphonates
Operative
Joint contracture release
Excision soft tissue tumours
Nerve release
Epiphysiodesis for growth-related abnormalities