Lesser tuberosity fractures / avulsions

LTLTLT

 

Injury patterns

 

Isolated lesser tuberosity fractures in adults 

- can be isolated

- often associated with posterior shoulder dislocation

 

Lesser tuberosity avulsions in adolescents

- skeletally immature

- avulsion of the lesser tuberosity apophysis

 

LTLTLT

Posterior shoulder dislocations and lesser tuberosity avulsions

 

LTLT

Isolated lesser tuberosity avulsion

 

Lesser tuberosity avulsions in adolescents / skeletally immature

 

Definition

 

Traumatic avulsion of the lesser tuberosity and subscapularis insertion

- frequently missed on xray

- delayed presentation

 

Epidemiology

 

Vavken et al Arthoscopy 2016

- systematic review of 60 patients

- mean age 13

- sensitivity of xray 16%

- sensitivity of MRI 95%

- 17% successfully treated nonoperatively

 

Presentation

 

Previous history of trauma

Anterior shoulder pain

Subscapularis weakness

 

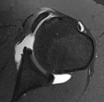
MRI

 

LTLT

 

CT

 

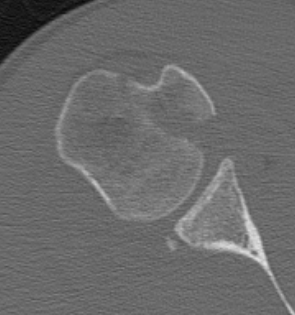
LTLT

Lesser tuberosity can become overgrown

 

Operative management

 

Options

 

Open versus arthroscopic

 

Fixation methods

- screw fixation +/- soft tissue washer

- suture anchor + screws

- double row suture anchor fixation

 

Results

 

Lin et al OSJM 2021

- arthroscopic fixation of 15 lesser tuberosity avulsions

- all patients had full ROM and full strength

 

Technique

 

JSES open fixation lesser tuberosity PDF

 

Vumedi arthroscopic fixation lesser tuberosity video

 

Arthroscopy techniques lesser tuberosity avulsion PDF

 

LTLTLT

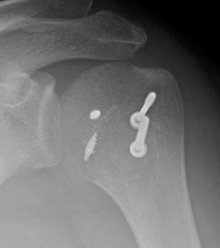
Screw fixation

 

LT ORIFLT ORIF

Screw + soft tissue washer

 

LTLTlt

Medial row anchors and lateral screws for missed lesser tuberosity avulsion in adolescent