technique
Galeazzi fractures


Definition
Fracture of the radial shaft with disruption to the distal radio-ulna joint (DRUJ)
External fixation
Indications
Coracoid process fractures
Scapular process fractures
Types
Coracoid process
Scapula spine
Acromial fractures
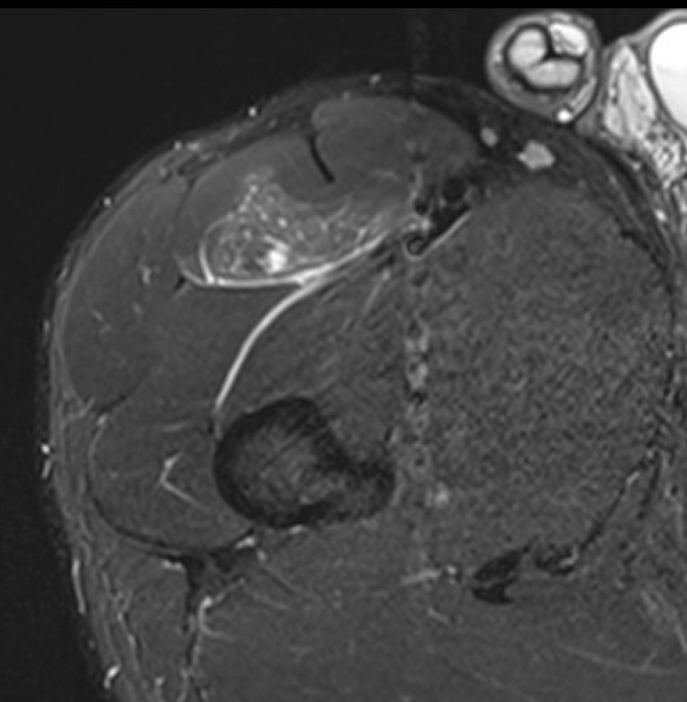
Quadriceps muscle tears


British Athletics Muscle Injury Classification (MRI)


