

British Athletics Muscle Injury Classification (MRI)
| Grade 1 | Grade 2 | Grade 3 | Grade 4 |
|---|---|---|---|
| < 10% CSA | 10 - 50% CSA | > 50% | Complete tears |
| < 5 cm length | 5 - 15 cm in length | > 15 cm long |
A: Myofascial / peripheral aspect of muscle - best prognosis
B: Musculo-tendinous - most common
C: Intra-tendinous - worst prognosis
Grade 2C:
- < 5 cm and < 50% of tendon involvement
Grade 3C:
- > 5cm and > 50% tendon involvement
- loss of straight margins / tendon tension suggesting some loss of tendon integrity
Grade 4B:
- complete musculotendinous tears of the direct / indirect heads
Grade 4C:
- rupture of conjoined tendon
- proximal avulsion direct / indirect heads
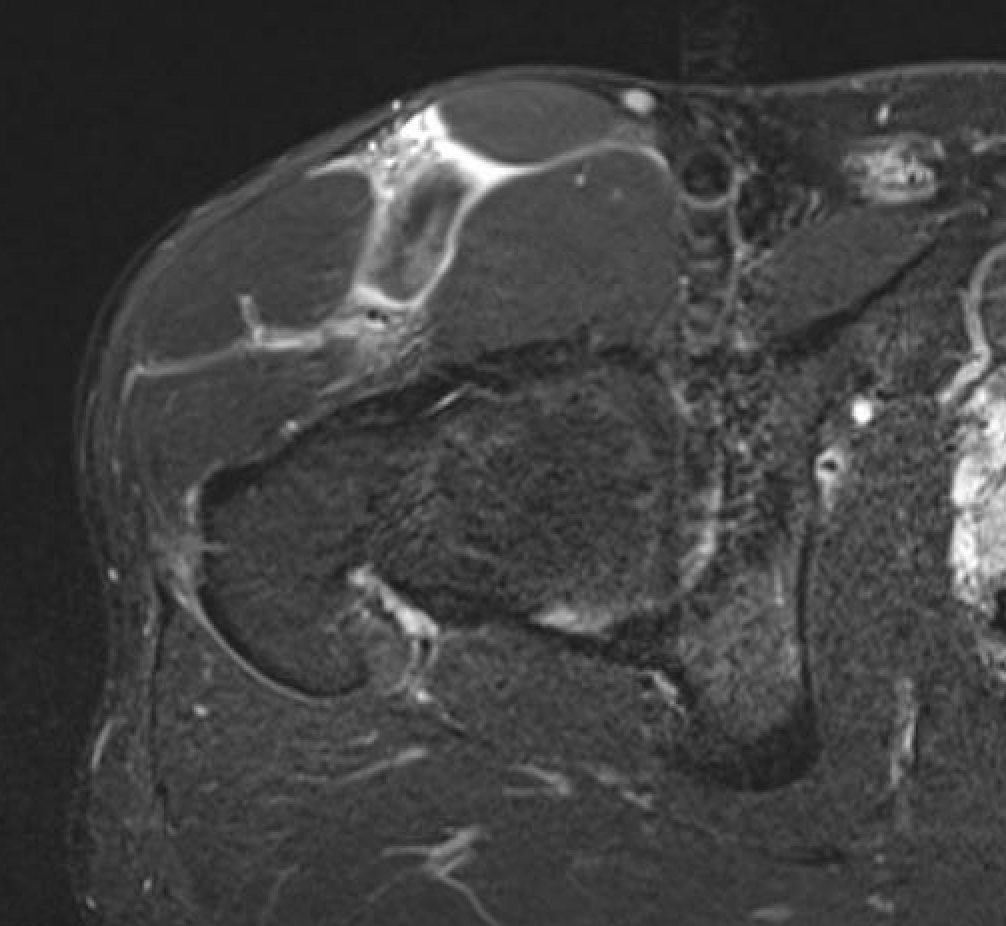
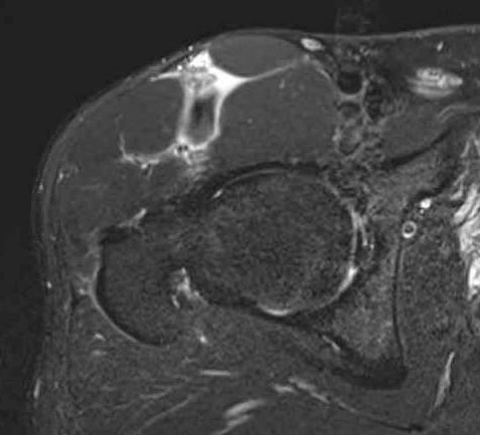
Anatomy Rectus Femoris
Function
- kicking muscle
- forceful knee extension
- flexes the hip and extends the knee
Origin
- direct: AIIS
- indirect: superior acetabular ridge
- fuse to join single tendon
Injury
Rectus femoris at highest risk as it crosses two joints
- vastus lateralis / medialis / intermedius less common
Proximal rectus femoris injuries
- direct / indirect head avulsions
- musculotendinous injuries
- central tendon injuries / degloving / bulls-eye
Muscle injuries
MRI


Grade 1A rectus femoris


Grade 1B rectus femoris


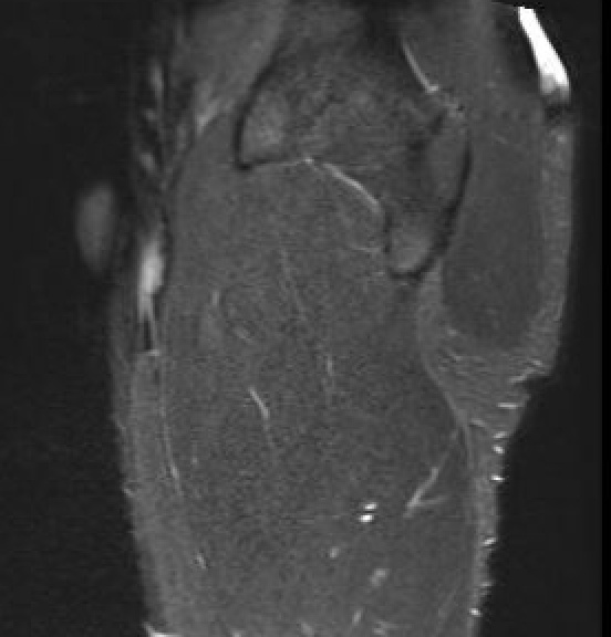
Grade 2B proximal rectus femoris muscle


Grade 3B proximal rectus femoris muscle
Management
Hallen & Ekstrand et al J Sports Sci 2014
Return to play following rectus muscle injuries in professional footballers
Peetrons grading (1 mild, 2 moderate, 3 complete rupture)
| Number | Median RTP | Reinjury % | |
|---|---|---|---|
| Grade 1 | 55 | 12 | 9% |
| Grade 2 | 42 | 22 | 12% |
| Grade 3 | 5 | 67 | 40% |
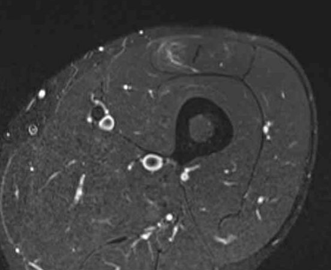
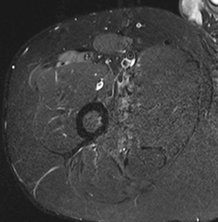
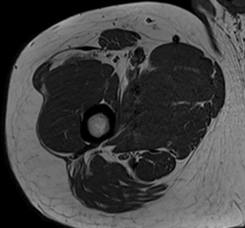
Central tendon injuries
MRI

Normal central tendon



Proximal myotendinous / tendon injuries
MRI


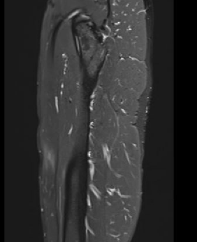
Grade 3C proximal central tendon rectus femoris



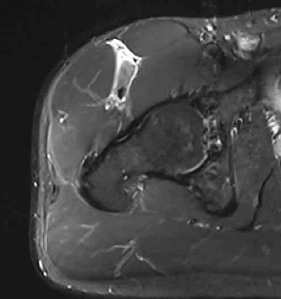
Grade 4C direct head MTPJ rectus femoris



Grade 4C direct head MTPJ rectus femoris



Chronic Grade 4 proximal rectus tear
Grade 4B Rectus femoris musculotendinous injuries
Operative results
- operative treatment of 19 RF injuries
- 100% return to sport in professional soccer players
- 17/19 asymptomatic return
- 2/19 return but with some symptoms
Surgical technique
Vumedi surgical repair grade 4B distal rectus femoris video
Proximal Rectus femoris avulsion
Nonoperative results
- nonoperative management proximal RF avulsion
- 11 cases in NFL athletes
- average RTS 70 days
- 2 recurrent injuries
Operative results
- rectus femoris avulsions in professional soccer
- surgical repair (25) versus tenodesis (30)
- no difference in outcome
- earlier RTS in tenodesis
- reduced recurrence with tendodesis (0 v 16%)
- systematic review of management of RF avulsion in 132 athletes
- operative management: RTS 100%
- nonoperative management: RTS 93%
Surgical technique rectus femoris avulsion repair
Vumedi surgical technique video
Vumedi surgical technique video 2
Arthroscopy techniques surgical repair rectus femoris avulsion PDF
Arthroscopy techniques surgical repair rectus femoris avulsion PDF