


Definition
Proximal ulna fracture dislocations
- proximal ulna fracture +
- spectrum of other injuries including radial head and coronoid fractures
Simple Monteggia fracture - proximal ulna fracture with posterior radial head dislocation without fracture
Monteggia variant / Complex Monteggia fracture dislocation
- Monteggia fracture + posterior radial head fracture +/- coronoid fracture
Results
Worse outcomes with concomitant radial head fractures and large coronoid fractures
- systematic review of trans-olecranon fracture dislocations
- Monteggia fractures: 11% complications, 18% reoperations
- Monteggia variant injuries: 25% complications, 13% reoperations
- Monteggia with Type III / basilar coronoid: 40% complications, 25% reoperations
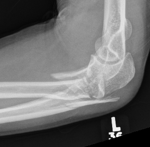
Simple Monteggia fracture - dislocations
Definition
Proximal ulna / olecranon fracture
- posterior radial head dislocation most common in adults
- no fractures
Classification
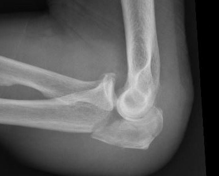
Bado Type II most common in adults with posterior radial head dislocation


Bado type I Bado type II
Associated injuries
LCL avulsions
PIN injury
Technique
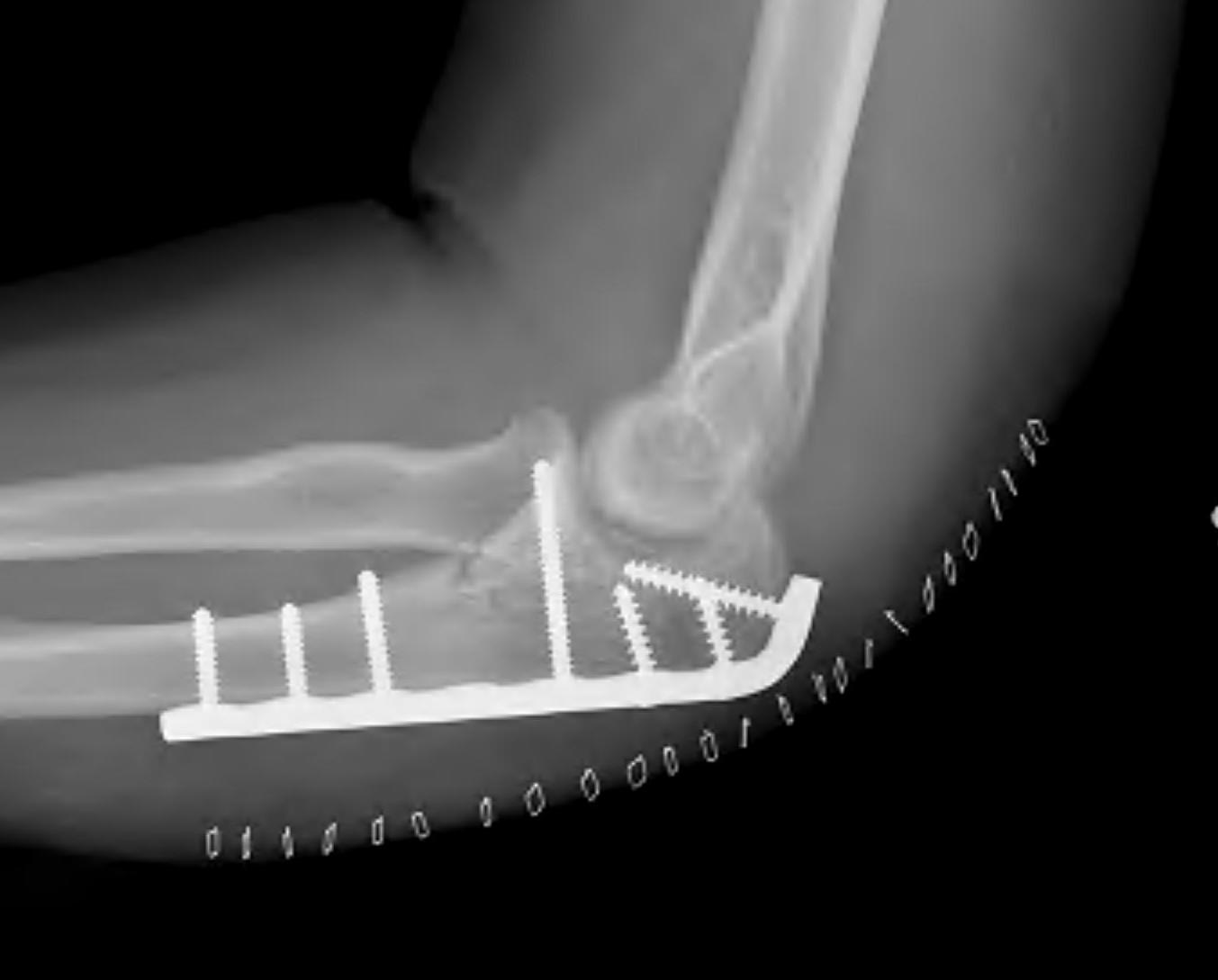
ORIF olecranon with plate +/- LCL repair
- posterior approach and plate olecranon
- reassess stability
- +/- Kocher approach to LCL and common extensor origin if continued instability









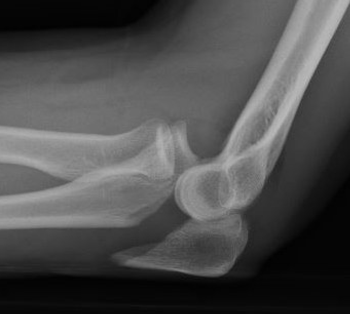
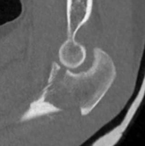
Ongoing anterior radial head dislocation after olecranon plating, treated with lateral approach and open reduction
Monteggia variant
Definition
Elbow dislocation + olecranon fracture + radial head/neck fracture +/- coronoid fracture


Technique
Vumedi olecranon fracture with radial neck fracture ORIF video
Vumedi olecranon fracture with RHA + coronoid process fixation video
Universal posterior approach
Identify olecranon fracture
- isolate and protect ulna nerve
- dissection out medial and lateral proximal ulna
- reduce and plate olecranon
+/- medial approach for coronoid pocess
- FCU split or elevate entire flexor pronator mass
- identify coronoid process
- small - lasso suture through olecranon
- large - lag screws / buttress plate
Lateral Kocher approach
- +/- ORIF /replace radial head
- +/- repair / reconstruct LCL
+/- hinged fixator




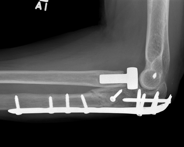
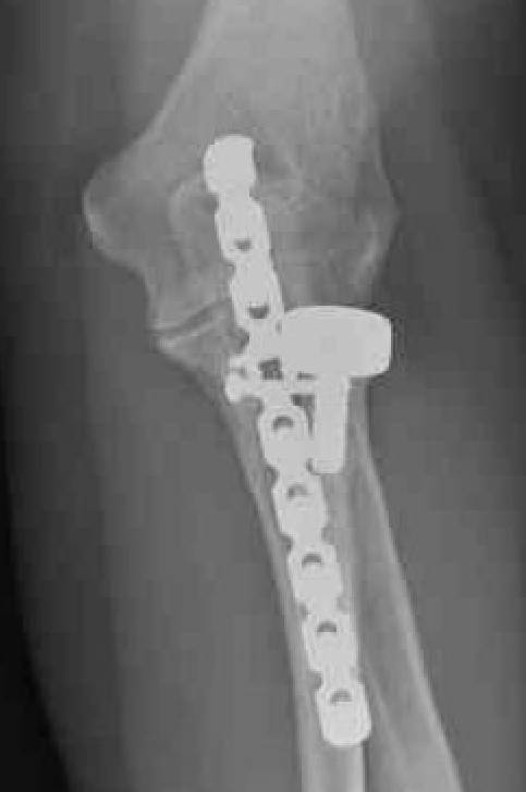
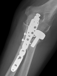
Olecranon plate + ORIF Type II coronoid process + radial head replacement




Olecranon plate with radial head replacement



Olecranon plate with radial head replacement + LCL repair




Olecranon plate + medial coronoid buttress plate + radial head replacement
Results
- systematic review of 117 posterior trans-olecranon fracture dislocations
- 85% coronoid process and 87% radial head fractures
- 5% LCL injuries
- 66% good or excellent results
- HO 7%, arthritis 28%
- systematic review of 105 trans-olecranon fracture dislocations
- plates used in 88%
- heterotopic ossification 22% (23/105) of cases
- nerve damage 18%
- osteoarthritis 14%
Complications
Recurrent instability




Complex proximal ulna fracture with radial head replacement subluxation
Infection

