


Epidemiology
Rare < 1% of all tendon injuries
Tom et al Clin J Sports Med 2014
- systematic review
- most common between ages 30 - 50
- 2x common in males
Anatomy
Footprint - dome shaped insertion over olecranon
Mechanism
Eccentric contraction - weight lifting, athletes
Direct blow
Medical morbidity
- diabetes
- chronic renal failure
- rheumatoid arthritis
- corticosteroids
- anabolic steroids
Examination
Tender to insertion triceps tendon
Weakness of elbow extension
Palpable tendon gap
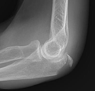
Xray
Olecranon avulsion



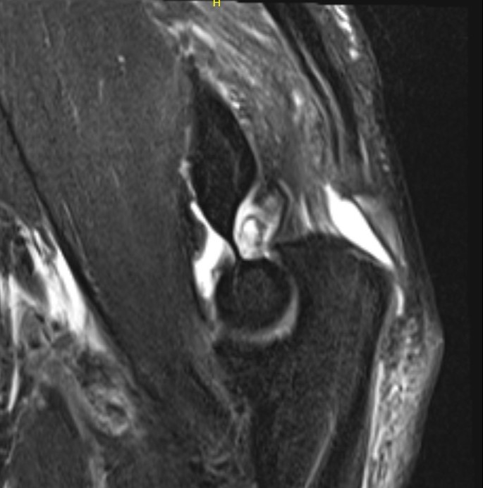
MRI



Operative management
Repair Options
Transosseous sutures
Suture anchors
Anatomic repair
- suture bridge / double row
- two proximal suture anchors
- distal knotless anchors / tranosseous fixation
- restore triceps footprint



Anatomic triceps repair with proximal suture anchors and double row transosseous repair
Surgical technique PDF anatomic repair
Results
- 48 acute triceps rupture repaired acutely in military populations
- 6/48 (13%) traumatic rerupture rate at 4 months post surgery
Mirzayan et al Am J Sports Med 2018
- 184 triceps repair < 90 days post injury
- mean age 49
- higher failure rate for transosseous repairs (7%) versus anatomic repairs (0%)
- Systematic review
- 89% returned to preinjury level of function
- 6% re-rupture rate
Triceps tendon reconstruction
Vumedi triceps tendon reconstruction