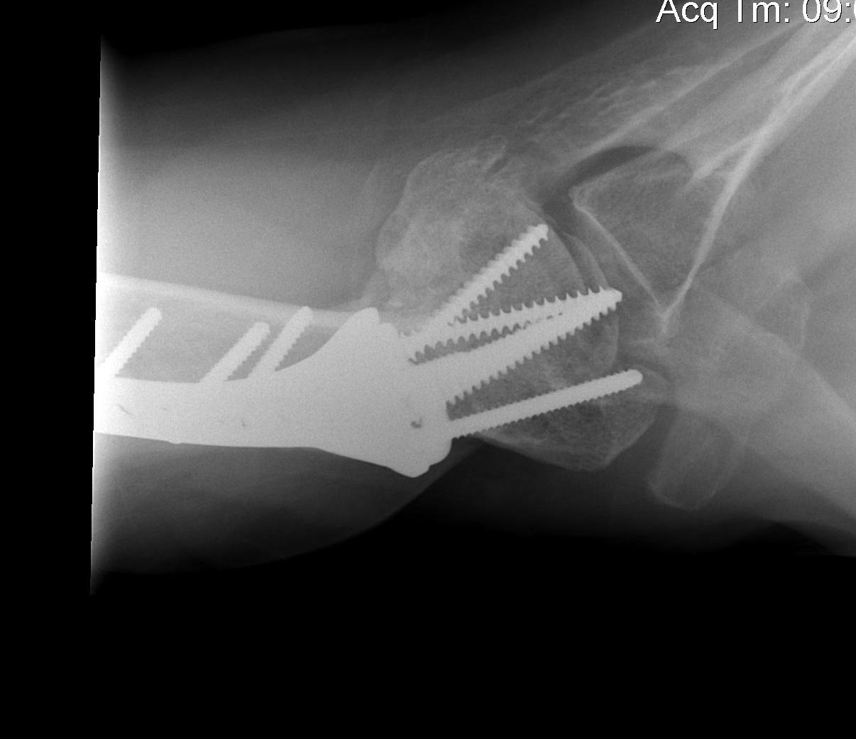
proximal humerus fracture Background ORIF with locking plate Arthroplasty Greater tuberosity fractures Lesser tuberosity fractures / avulsions Book traversal links for Proximal humerus fractures ‹ Pectoralis Major Tears Up Background ›