


Definition
Combination of scapular neck fracture and
- ipsilateral clavicle fracture
- ACJ dislocation / CC ligament disruption
- coracoid process fracture
Double disruption of the superior shoulder suspensory complex (SSSC)
Epidemiology
High velocity injuries - MVA, fall from height
Anatomy
Superior shoulder suspensory complex (SSSC)
- osseous-ligamentous ring
- sole articulation of the arm with the axial skeleton
- coracoclavicular ligaments / coracoid process / glenoid process / acromial process / ACJ / lateral clavicle
Floating shoulder
- disrupts the suspensory mechanism of the shoulder
- changes biomechanics
- subacromial pain / impingement
Nonoperative management
Indication
Minimally displaced fractures of clavicle and scapula
Base indications for surgery upon individual fracture configurations
Results
- systematic review of 371 floating shoulders
- nonoperative treatment of minimally or non displaced scapular neck fractures
- displaced scapular neck fractures - fixation of both clavicle and scapular neck
- no difference in outcomes between nonoperative and operative
Operative Management
Indications
Displaced clavicle fractures
Unstable ACJ dislocations
Displaced scapular neck fractures
Options
ORIF clavicle
ORIF scapula
ORIF clavice + scapula
ORIF clavicle
Minimally displaced glenoid fracture







ORIF glenoid and clavicle
Displaced scapular neck
- > 40o angulation
- > 2 cm medial displacement
- glenopolar angle < 22 degrees
www.boneschool.com/scapular-fractures
Gl



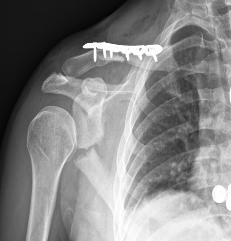
Scapular neck fracture with clavicle fracture



Scapular neck fracture with clavicle fracture



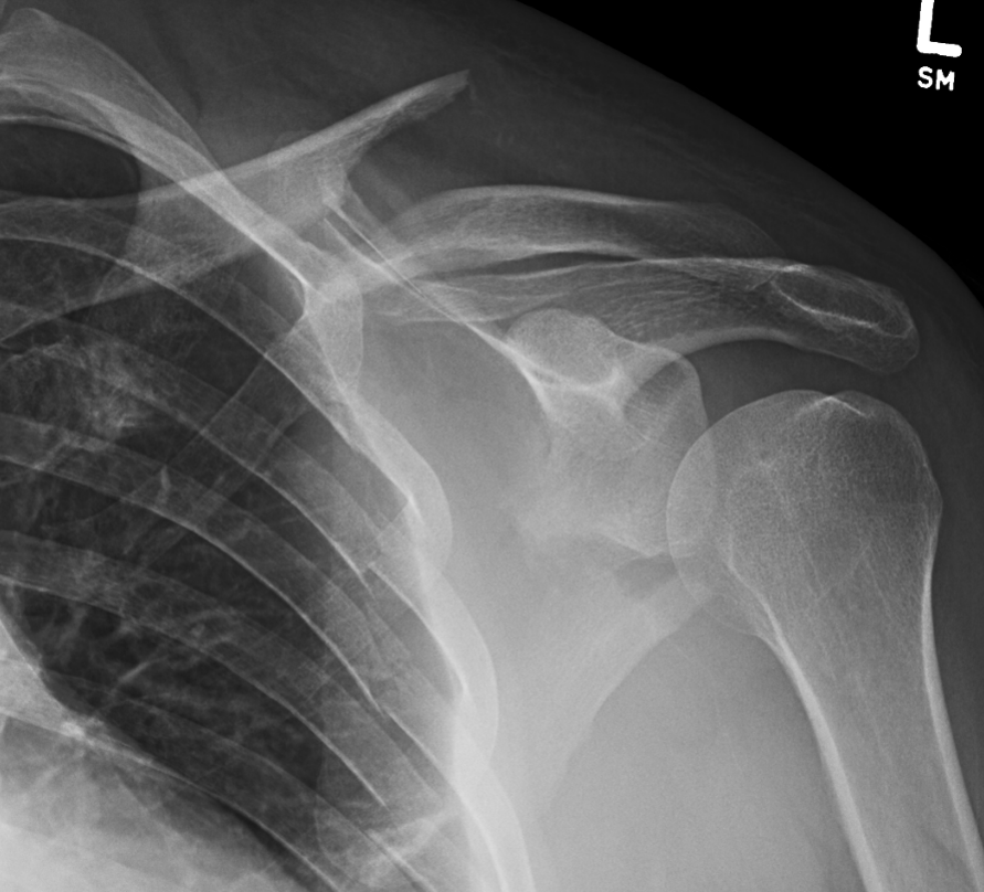
Glenoid fracture + lateral clavicle fracture + acromial fracture



Glenoid fracture + lateral clavicle fracture + acromial fracture